Skip to main content

Integrin alpha E/CD103 Antibody (SN62-06)

Novus Biologicals, part of Bio-Techne | Catalog # NBP2-67663

Recombinant Monoclonal Antibody.
Novus Biologicals, part of Bio-Techne
Catalog #
Availability
Size / Price
Qty
Loading...
NBP2-67663

Key Product Details

Validated by

Biological Validation

Species Reactivity

Human

Applications

Immunohistochemistry, Immunohistochemistry-Paraffin

Label

Unconjugated

Antibody Source

Recombinant Monoclonal Rabbit IgG Clone # SN62-06 expressed in HEK293

Concentration

1 mg/ml

Product Specifications

Immunogen

Synthetic peptide within Human Integrin alpha E/CD103 aa 1-50 / 1,179. (SwissProt: P38570 Human)

Localization

Membrane.

Clonality

Monoclonal

Host

Rabbit

Isotype

IgG

Description

Novus Biologicals Rabbit Integrin alpha E/CD103 Antibody (SN62-06) (NBP2-67663) is a recombinant monoclonal antibody validated for use in IHC. All Novus Biologicals antibodies are covered by our 100% guarantee.

Scientific Data Images for Integrin alpha E/CD103 Antibody (SN62-06)

Immunohistochemistry-Paraffin: Integrin alpha E/CD103 Antibody (SN62-06) [NBP2-67663]

Immunohistochemistry-Paraffin: Integrin alpha E/CD103 Antibody (SN62-06) [NBP2-67663]

Immunohistochemistry-Paraffin: Integrin alpha E/CD103 Antibody (SN62-06) [NBP2-67663] - Analysis of paraffin-embedded human small intestine tissue using anti-Integrin alpha E antibody. The section was pre-treated using heat mediated antigen retrieval with Tris-EDTA buffer (pH 9.0) for 20 minutes.The tissues were blocked in 1% BSA for 30 minutes at room temperature, washed with ddH2O and PBS, and then probed with the primary antibody (1/400) for 30 minutes at room temperature. The detection was performed using an HRP conjugated compact polymer system. DAB was used as the chromogen. Tissues were counterstained with hematoxylin and mounted with DPX.
Immunohistochemistry-Paraffin: Integrin alpha E/CD103 Antibody (SN62-06) [NBP2-67663]

Immunohistochemistry-Paraffin: Integrin alpha E/CD103 Antibody (SN62-06) [NBP2-67663]

Immunohistochemistry-Paraffin: Integrin alpha E/CD103 Antibody (SN62-06) [NBP2-67663] - Analysis of paraffin-embedded human tonsil tissue using anti-Integrin alpha E antibody. Counter stained with hematoxylin.
Immunohistochemistry-Paraffin: Integrin alpha E/CD103 Antibody (SN62-06) [NBP2-67663]

Immunohistochemistry-Paraffin: Integrin alpha E/CD103 Antibody (SN62-06) [NBP2-67663]

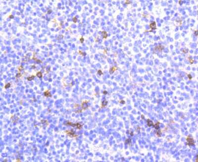
Immunohistochemistry-Paraffin: Integrin alpha E/CD103 Antibody (SN62-06) [NBP2-67663] - Analysis of paraffin-embedded human lymph node tissue using anti-Integrin alpha E/CD103 antibody. The section was pre-treated using heat mediated antigen retrieval with Tris-EDTA buffer (pH 9.0) for 20 minutes. The tissues were blocked in 1% BSA for 30 minutes at room temperature, washed with ddH2O and PBS, and then probed with the primary antibody (1/400) for 30 minutes at room temperature. The detection was performed using an HRP conjugated compact polymer system. DAB was used as the chromogen. Tissues were counterstained with hematoxylin and mounted with DPX.

Applications for Integrin alpha E/CD103 Antibody (SN62-06)

Application
Recommended Usage

Immunohistochemistry-Paraffin

1:50-1:400

Formulation, Preparation, and Storage

Purification

Protein A purified

Formulation

TBS (pH7.4), 0.05% BSA, 40% Glycerol

Preservative

0.05% Sodium Azide

Concentration

1 mg/ml

Shipping

The product is shipped with polar packs. Upon receipt, store it immediately at the temperature recommended below.

Stability & Storage

Store at 4C short term. Aliquot and store at -20C long term. Avoid freeze-thaw cycles.

Background: Integrin alpha E/CD103

CD103 is a member of the integrin series of adhesion molecules. This antigen defines a developmentally important subset of T cells, namely mucosal T cells including all IEL (intraepithelial lymphocytes) and approx. 20% of lamina propria T cells. Expression of CD103 is more restricted outside these mucosal organs, appearing at lower levels on T cell subsets of the lymph node, dendritic epidermis and periphery. In non-epithelial CD103+ T cells there is a bias toward expression on CD8+.cells.

Alternate Names

CD103, HUMINAE, ITGAE

Gene Symbol

ITGAE

Additional Integrin alpha E/CD103 Products

Product Documents for Integrin alpha E/CD103 Antibody (SN62-06)

Certificate of Analysis

To download a Certificate of Analysis, please enter a lot number in the search box below.

Product Specific Notices for Integrin alpha E/CD103 Antibody (SN62-06)

This product is for research use only and is not approved for use in humans or in clinical diagnosis. Primary Antibodies are guaranteed for 1 year from date of receipt.

Loading...
Loading...
Loading...
Loading...