Skip to main content

Integrin alpha 3/CD49c Antibody - BSA Free

Novus Biologicals, part of Bio-Techne | Catalog # NBP2-48514

Novus Biologicals, part of Bio-Techne
Catalog #
Availability
Size / Price
Qty
Loading...
NBP2-48514-25ul
NBP2-48514

Key Product Details

Validated by

Orthogonal Validation

Species Reactivity

Human, Rat

Applications

Immunohistochemistry, Immunohistochemistry-Paraffin, Western Blot

Label

Unconjugated

Antibody Source

Polyclonal Rabbit IgG

Format

BSA Free

Concentration

Concentrations vary lot to lot. See vial label for concentration. If unlisted please contact technical services.

Product Specifications

Immunogen

This antibody was developed against a recombinant protein corresponding to amino acids: AQALENHTEVQFQKECGPDNKCESNLQMRAAFVSEQQQKLSRLQYSRDVRKLLLSINVTNTRTSERSGEDAHEALLTLVVPPALLLSSVRPPGACQANETIFCELGNPFKRNQRMELLIAFEVIGV

Reactivity Notes

Mouse (84%).

Clonality

Polyclonal

Host

Rabbit

Isotype

IgG

Description

Novus Biologicals Rabbit Integrin alpha 3/CD49c Antibody - BSA Free (NBP2-48514) is a polyclonal antibody validated for use in IHC and WB. Anti-Integrin alpha 3/CD49c Antibody: Cited in 1 publication. All Novus Biologicals antibodies are covered by our 100% guarantee.

Scientific Data Images for Integrin alpha 3/CD49c Antibody - BSA Free

Immunohistochemistry-Paraffin: Integrin alpha 3/CD49c Antibody [NBP2-48514]

Immunohistochemistry-Paraffin: Integrin alpha 3/CD49c Antibody [NBP2-48514]

Immunohistochemistry-Paraffin: Integrin alpha 3/CD49c Antibody [NBP2-48514] - Staining in human lung and skeletal muscle tissues . Corresponding ITGA3 RNA-seq data are presented for the same tissues.
Western Blot: Integrin alpha 3/CD49c Antibody [NBP2-48514]

Western Blot: Integrin alpha 3/CD49c Antibody [NBP2-48514]

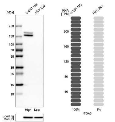
Western Blot: Integrin alpha 3/CD49c Antibody [NBP2-48514] - Analysis in human cell lines U-251MG and HEK293 using anti-ITGA3 antibody. Corresponding ITGA3 RNA-seq data are presented for the same cell lines. Loading control: anti-HSP90B1.
Western Blot: Integrin alpha 3/CD49c Antibody [NBP2-48514]

Western Blot: Integrin alpha 3/CD49c Antibody [NBP2-48514]

Western Blot: Integrin alpha 3/CD49c Antibody [NBP2-48514] - Analysis in control (vector only transfected HEK293T lysate) and ITGA3 over-expression lysate (Co-expressed with a C-terminal myc-DDK tag (3.1 kDa) in mammalian HEK293T cells).

Applications for Integrin alpha 3/CD49c Antibody - BSA Free

Application
Recommended Usage

Immunohistochemistry

1:50 - 1:200

Immunohistochemistry-Paraffin

1:50 - 1:200

Western Blot

0.04-0.4 ug/ml
Application Notes
For IHC-Paraffin, HIER pH 6 retrieval is recommended.

Formulation, Preparation, and Storage

Purification

Affinity purified

Formulation

PBS (pH 7.2) and 40% Glycerol

Format

BSA Free

Preservative

0.02% Sodium Azide

Concentration

Concentrations vary lot to lot. See vial label for concentration. If unlisted please contact technical services.

Shipping

The product is shipped with polar packs. Upon receipt, store it immediately at the temperature recommended below.

Stability & Storage

Store at 4C short term. Aliquot and store at -20C long term. Avoid freeze-thaw cycles.

Background: Integrin alpha 3/CD49c

Integrins are heterodimeric integral membrane proteins composed of an alpha chain and a beta chain. Alpha chain 3 undergoes post-translational cleavage in the extracellular domain to yield disulfide-linked light and heavy chains that join with beta 1 to form an integrin that interacts with many extracellular-matrix proteins. The alpha 3 beta 1 integrin is known variously as: very late (activation) antigen 3 (VLA3), very common antigen 2 (VCA2), extracellular matrix receptor 1 (ECMR1), and galactoprotein b3 (GAPB3).

Alternate Names

CD49c, ITGA3

Gene Symbol

ITGA3

Additional Integrin alpha 3/CD49c Products

Product Documents for Integrin alpha 3/CD49c Antibody - BSA Free

Certificate of Analysis

To download a Certificate of Analysis, please enter a lot number in the search box below.

Product Specific Notices for Integrin alpha 3/CD49c Antibody - BSA Free

This product is for research use only and is not approved for use in humans or in clinical diagnosis. Primary Antibodies are guaranteed for 1 year from date of receipt.

Loading...
Loading...
Loading...
Loading...