Skip to main content

Inorganic Pyrophosphatase/PPA1 Antibody - BSA Free

Novus Biologicals, part of Bio-Techne | Catalog # NBP1-87788

Novus Biologicals, part of Bio-Techne
Catalog #
Availability
Size / Price
Qty
Loading...
NBP1-87788
NBP1-87788-25ul

Key Product Details

Species Reactivity

Validated:

Human

Predicted:

Mouse (95%), Rat (91%). Backed by our 100% Guarantee.

Applications

Immunohistochemistry, Immunohistochemistry-Paraffin, Western Blot

Label

Unconjugated

Antibody Source

Polyclonal Rabbit IgG

Format

BSA Free

Concentration

Concentrations vary lot to lot. See vial label for concentration. If unlisted please contact technical services.

Product Specifications

Immunogen

This antibody was developed against Recombinant Protein corresponding to amino acids: GFSTEERAAPFSLEYRVFLKNEKGQYISPFHDIPIYADKDVFHMVVEVPRWSNAK

Clonality

Polyclonal

Host

Rabbit

Isotype

IgG

Description

Novus Biologicals Rabbit Inorganic Pyrophosphatase/PPA1 Antibody - BSA Free (NBP1-87788) is a polyclonal antibody validated for use in IHC and WB. All Novus Biologicals antibodies are covered by our 100% guarantee.

Scientific Data Images for Inorganic Pyrophosphatase/PPA1 Antibody - BSA Free

Inorganic Pyrophosphatase/PPA1 Antibody

Western Blot: Inorganic Pyrophosphatase/PPA1 Antibody [NBP1-87788] -

Western Blot: Inorganic Pyrophosphatase/PPA1 Antibody [NBP1-87788] -Analysis in human cell line U-251 MG.
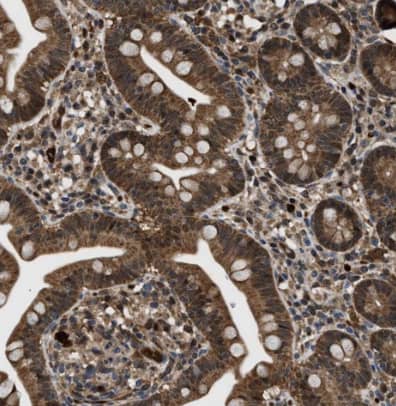
Inorganic Pyrophosphatase/PPA1 Antibody

Immunohistochemistry-Paraffin: Inorganic Pyrophosphatase/PPA1 Antibody [NBP1-87788] -

Immunohistochemistry-Paraffin: Inorganic Pyrophosphatase/PPA1 Antibody [NBP1-87788] -Staining of human small intestine shows strong cytoplasmic positivity in glandular cells.
Inorganic Pyrophosphatase/PPA1 Antibody

Immunohistochemistry-Paraffin: Inorganic Pyrophosphatase/PPA1 Antibody [NBP1-87788] -

Immunohistochemistry-Paraffin: Inorganic Pyrophosphatase/PPA1 Antibody [NBP1-87788] -Staining of human lymph node shows strong cytoplasmic positivity in non-germinal center cells.

Applications for Inorganic Pyrophosphatase/PPA1 Antibody - BSA Free

Application
Recommended Usage

Immunohistochemistry

1:200 - 1:500

Immunohistochemistry-Paraffin

1:200 - 1:500

Western Blot

0.04-0.4 ug/ml
Application Notes
For IHC-Paraffin, HIER pH 6 retrieval is recommended.

Formulation, Preparation, and Storage

Purification

Immunogen affinity purified

Formulation

PBS (pH 7.2) and 40% Glycerol

Format

BSA Free

Preservative

0.02% Sodium Azide

Concentration

Concentrations vary lot to lot. See vial label for concentration. If unlisted please contact technical services.

Shipping

The product is shipped with polar packs. Upon receipt, store it immediately at the temperature recommended below.

Stability & Storage

Store at 4C short term. Aliquot and store at -20C long term. Avoid freeze-thaw cycles.

Background: Inorganic Pyrophosphatase/PPA1

Pyrophosphatase is encoded by this gene is a member of the inorganic pyrophosphatase (PPase) family. PPases catalyze the hydrolysis of pyrophosphate to inorganic phosphate, which is important for the phosphate metabolism of cells. Studies of a similar protein in bovine suggested a cytoplasmic localization of this enzyme.

Alternate Names

IOPPP, IPP1, PP1, PPase, SID6-8061

Gene Symbol

PPA1

Additional Inorganic Pyrophosphatase/PPA1 Products

Product Documents for Inorganic Pyrophosphatase/PPA1 Antibody - BSA Free

Certificate of Analysis

To download a Certificate of Analysis, please enter a lot number in the search box below.

Product Specific Notices for Inorganic Pyrophosphatase/PPA1 Antibody - BSA Free

This product is for research use only and is not approved for use in humans or in clinical diagnosis. Primary Antibodies are guaranteed for 1 year from date of receipt.

Loading...
Loading...
Loading...
Loading...