Skip to main content

INO80C Antibody - BSA Free

Novus Biologicals, part of Bio-Techne | Catalog # NBP2-14123

Novus Biologicals, part of Bio-Techne
Catalog #
Availability
Size / Price
Qty
Loading...
NBP2-14123
NBP2-14123-25ul

Key Product Details

Validated by

Orthogonal Validation

Species Reactivity

Human

Applications

Immunohistochemistry, Immunohistochemistry-Paraffin, Immunocytochemistry/ Immunofluorescence, Chromatin Immunoprecipitation-exo-Seq

Label

Unconjugated

Antibody Source

Polyclonal Rabbit IgG

Format

BSA Free

Concentration

Concentrations vary lot to lot. See vial label for concentration. If unlisted please contact technical services.

Product Specifications

Immunogen

This antibody was developed against a recombinant protein corresponding to the amino acids: GYGASKKKKASASSFAQGISMEAMSENKMVPSEFSTGPVEKAAKPLPFKDPNFVHSGHGGAVAGKKNRT

Reactivity Notes

Immunogen displays the following percentage of sequence identity for non-tested species: Mouse (86%), Rat (87%)

Clonality

Polyclonal

Host

Rabbit

Isotype

IgG

Description

Novus Biologicals Rabbit INO80C Antibody - BSA Free (NBP2-14123) is a polyclonal antibody validated for use in IHC and ICC/IF. All Novus Biologicals antibodies are covered by our 100% guarantee.

Scientific Data Images for INO80C Antibody - BSA Free

Immunohistochemistry-Paraffin: INO80C Antibody [NBP2-14123]

Immunohistochemistry-Paraffin: INO80C Antibody [NBP2-14123]

Immunohistochemistry-Paraffin: INO80C Antibody [NBP2-14123] - Staining in human testis and skeletal muscle tissues.. Corresponding INO80C RNA-seq data are presented for the same tissues.
Immunocytochemistry/ Immunofluorescence: INO80C Antibody [NBP2-14123]

Immunocytochemistry/ Immunofluorescence: INO80C Antibody [NBP2-14123]

Immunocytochemistry/Immunofluorescence: INO80C Antibody [NBP2-14123] - Immunofluorescent staining of human cell line U-2 OS shows localization to nucleoli fibrillar center.
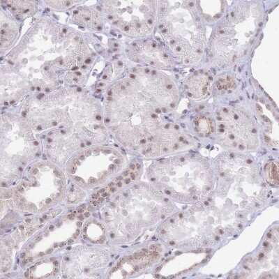
Immunohistochemistry-Paraffin: INO80C Antibody [NBP2-14123]

Immunohistochemistry-Paraffin: INO80C Antibody [NBP2-14123]

Immunohistochemistry-Paraffin: INO80C Antibody [NBP2-14123] - Staining of human kidney shows weak to moderate positivity in cells in tubules.

Applications for INO80C Antibody - BSA Free

Application
Recommended Usage

Chromatin Immunoprecipitation-exo-Seq

1-10ug per reaction

Immunocytochemistry/ Immunofluorescence

0.25-2 ug/ml

Immunohistochemistry

1:200 - 1:500

Immunohistochemistry-Paraffin

1:200-1:500
Application Notes
IHC-Paraffin, HIER pH 6 retrieval is recommended. ICC/IF, Fixation/Permeabilization: PFA/Triton X-100.

Formulation, Preparation, and Storage

Purification

Immunogen affinity purified

Formulation

PBS (pH 7.2) and 40% Glycerol

Format

BSA Free

Preservative

0.02% Sodium Azide

Concentration

Concentrations vary lot to lot. See vial label for concentration. If unlisted please contact technical services.

Shipping

The product is shipped with polar packs. Upon receipt, store it immediately at the temperature recommended below.

Stability & Storage

Store at 4C short term. Aliquot and store at -20C long term. Avoid freeze-thaw cycles.

Background: INO80C

Alternate Names

C18orf37, chromosome 18 open reading frame 37, FLJ38183, hIes6, IES6, IES6 homolog, INO80 complex subunit C

Gene Symbol

INO80C

Additional INO80C Products

Product Documents for INO80C Antibody - BSA Free

Certificate of Analysis

To download a Certificate of Analysis, please enter a lot number in the search box below.

Product Specific Notices for INO80C Antibody - BSA Free

This product is for research use only and is not approved for use in humans or in clinical diagnosis. Primary Antibodies are guaranteed for 1 year from date of receipt.

Loading...
Loading...
Loading...
Loading...