Influenza A H5N1 Hemagglutinin Antibody (1D10) - (A/Hatay/2004) - Azide and BSA Free
Novus Biologicals, part of Bio-Techne | Catalog # NBP3-13516
Key Product Details
Species Reactivity
Virus
Applications
Western Blot, Immunocytochemistry/ Immunofluorescence
Label
Unconjugated
Antibody Source
Monoclonal Mouse Clone # 1D10
Format
Azide and BSA Free
Concentration
Concentrations vary lot to lot. See vial label for concentration. If unlisted please contact technical services.
Product Specifications
Immunogen
The immunogen used to generate this antibody corresponds to Influenza A virus H5N1 HA (Hemagglutinin). (Influenza A virus (A/Hatay/2004/(H5N1))) The exact sequence is proprietary.
Reactivity Notes
Avian Influenza A virus
Clonality
Monoclonal
Host
Mouse
Description
Centrifuge briefly prior to opening.
Scientific Data Images
Western Blot: Influenza A H5N1 Hemagglutinin Antibody (1D10)(A/Hatay/2004) [NBP3-13516]
Western Blot: Influenza A H5N1 Hemagglutinin Antibody (1D10) [NBP3-13516] - Non-transfected (-) and transfected (+) 293T whole cell extracts (30 ug) were separated by 10% SDS-PAGE, and the membrane was blotted with Influenza A virus H5N1 HA (Hemagglutinin) antibody [1D10] (NBP3-13516) diluted at 1:500.Immunocytochemistry/ Immunofluorescence: Influenza A H5N1 Hemagglutinin Antibody (1D10) - (A/Hatay/2004) [NBP3-13516]
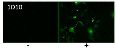
Immunocytochemistry/Immunofluorescence: Influenza A H5N1 Hemagglutinin Antibody (1D10) [NBP3-13516] - ICC/IF analysis of cos-7 cell untransfected (-) and transfected with full-length H5 Hatay/2004 (+) using NBP3-13516 Influenza A virus H5N1 HA (Hemagglutinin) antibody [1D10].Western Blot: Influenza A H5N1 Hemagglutinin Antibody (1D10)(A/Hatay/2004) [NBP3-13516]
Western Blot: Influenza A H5N1 Hemagglutinin Antibody (1D10) [NBP3-13516] - WB analysis of 293T cell lysates untransfected (-) and transfected with full-length H5 Hatay/2004 (+) and full-length H5 VN/04 (#) using NBP3-13516 Influenza A virus H5N1 HA (Hemagglutinin) antibody [1D10].Applications
Application
Recommended Usage
Immunocytochemistry/ Immunofluorescence
Optimal dilutions of this antibody should be experimentally determined.
Western Blot
Optimal dilutions of this antibody should be experimentally determined.
Formulation, Preparation, and Storage
Purification
Protein G purified
Formulation
PBS
Format
Azide and BSA Free
Preservative
No Preservative
Concentration
Concentrations vary lot to lot. See vial label for concentration. If unlisted please contact technical services.
Shipping
The product is shipped with polar packs. Upon receipt, store it immediately at the temperature recommended below.
Stability & Storage
Store at 4C short term. Aliquot and store at -20C long term. Avoid freeze-thaw cycles.
Background: Influenza A H5N1 Hemagglutinin
Additional Influenza A H5N1 Hemagglutinin Products
Product Specific Notices
This product is for research use only and is not approved for use in humans or in clinical diagnosis. Primary Antibodies are guaranteed for 1 year from date of receipt.
Loading...
Loading...
Loading...
Loading...