Skip to main content

Indoleamine 2,3-dioxygenase/IDO Antibody

Novus Biologicals, part of Bio-Techne | Catalog # NB100-2459

Novus Biologicals, part of Bio-Techne
Catalog #
Availability
Size / Price
Qty
Loading...
NB100-2459

Key Product Details

Species Reactivity

Validated:

Human

Predicted:

Canine (100%), Mouse (100%), Rat (100%). Backed by our 100% Guarantee.

Applications

Immunohistochemistry, Immunohistochemistry-Paraffin, Western Blot, Peptide ELISA

Label

Unconjugated

Antibody Source

Polyclonal Goat IgG

Concentration

0.5 mg/ml

Product Specifications

Immunogen

Peptide with sequence CVLANWKKKDPNK corresponding to internal region according to NP_002155.1.

Clonality

Polyclonal

Host

Goat

Isotype

IgG

Description

Novus Biologicals Goat Indoleamine 2,3-dioxygenase/IDO Antibody (NB100-2459) is a polyclonal antibody validated for use in IHC, WB and ELISA. Anti-Indoleamine 2,3-dioxygenase/IDO Antibody: Cited in 1 publication. All Novus Biologicals antibodies are covered by our 100% guarantee.

Scientific Data Images for Indoleamine 2,3-dioxygenase/IDO Antibody

Western Blot: Indoleamine 2,3-dioxygenase/IDO Antibody [NB100-2459]

Western Blot: Indoleamine 2,3-dioxygenase/IDO Antibody [NB100-2459]

Western Blot: Indoleamine 2,3-dioxygenase/IDO Antibody [NB100-2459] - (0.5ug/ml) staining of Human Lymph Node (A), Spleen (B) and Placenta (C) lysates (35ug protein in RIPA buffer). Detected by chemiluminescence.
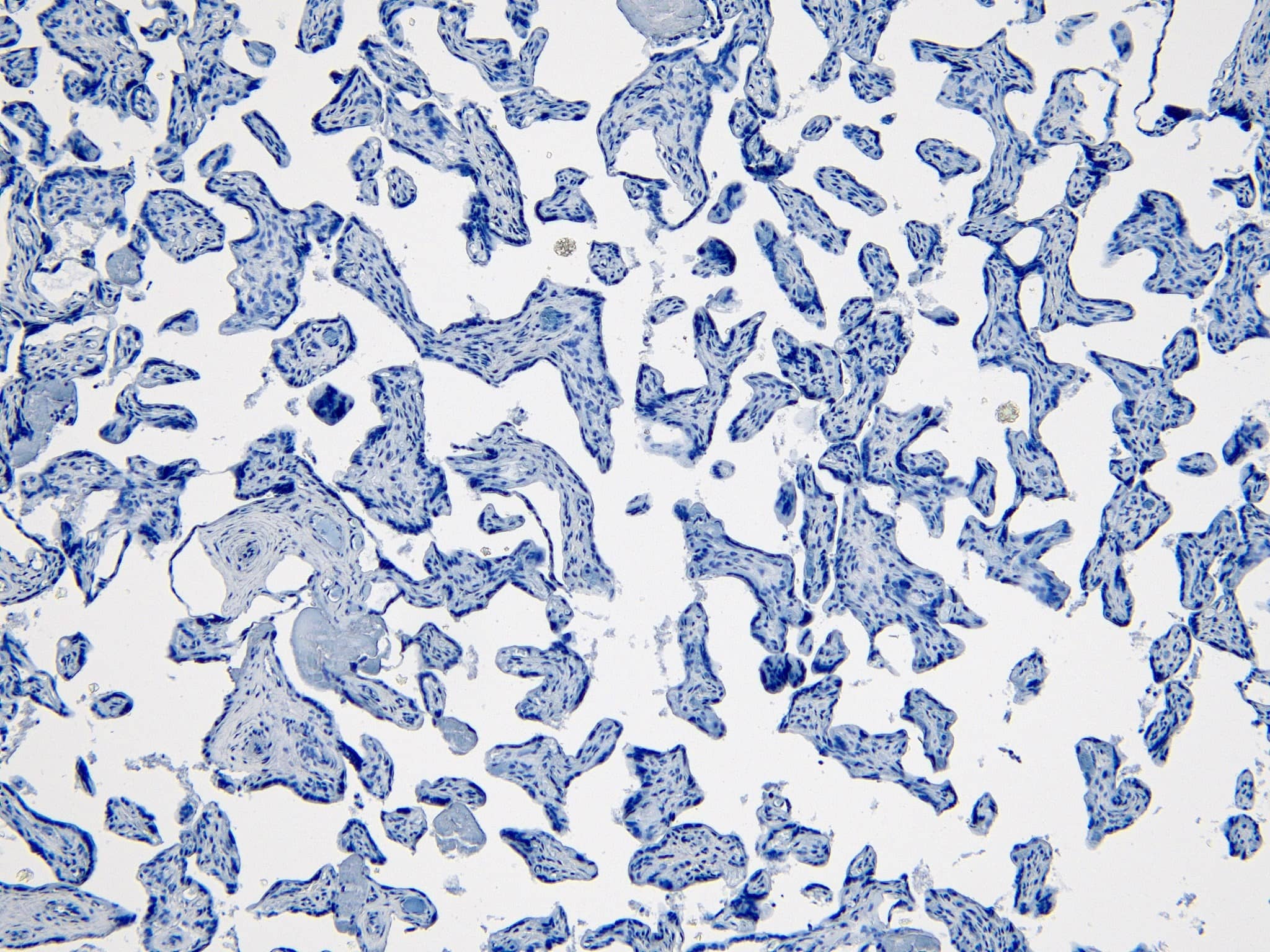
Immunohistochemistry-Paraffin: Indoleamine 2,3-dioxygenase/IDO Antibody [NB100-2459]

Immunohistochemistry-Paraffin: Indoleamine 2,3-dioxygenase/IDO Antibody [NB100-2459]

Immunohistochemistry-Paraffin: Indoleamine 2,3-dioxygenase/IDO Antibody [NB100-2459] - Negative Control showing staining of paraffin embedded Human Placenta, with no primary antibody.
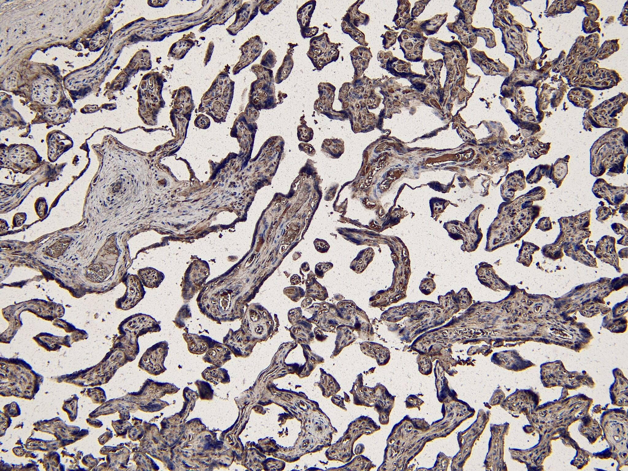
Immunohistochemistry-Paraffin: Indoleamine 2,3-dioxygenase/IDO Antibody [NB100-2459]

Immunohistochemistry-Paraffin: Indoleamine 2,3-dioxygenase/IDO Antibody [NB100-2459]

Immunohistochemistry-Paraffin: Indoleamine 2,3-dioxygenase/IDO Antibody [NB100-2459] - (6ug/ml) staining of paraffin embedded Human Placenta. Heat induced antigen retrieval with citrate buffer pH 6, HRP-staining.

Applications for Indoleamine 2,3-dioxygenase/IDO Antibody

Application
Recommended Usage

Immunohistochemistry

4 - 6 ug/ml

Immunohistochemistry-Paraffin

4-6 ug/ml

Peptide ELISA

detection limit 1:8000

Western Blot

0.5 - 1.5 ug/ml
Application Notes
Western blot: Approx 50kDa band observed in Human Lymph Node, Spleen and Placenta lysates (calculated MW of 45.3kDa according to NP_002155.1).Primary incubation was 1 hour. Preliminary testing was unsuccessful on Mouse and Rat for this particular batch.
IHC-P: Human colon shows textured staining in the cytoplasm of absorptive cells. Data obtained from a previous batch (different goat).

Formulation, Preparation, and Storage

Purification

Immunogen affinity purified

Formulation

Tris saline (20 mM Tris pH 7.3, 150 mM NaCl), 0.5% BSA

Preservative

0.02% Sodium Azide

Concentration

0.5 mg/ml

Shipping

The product is shipped with polar packs. Upon receipt, store it immediately at the temperature recommended below.

Stability & Storage

Store at -20C. Avoid freeze-thaw cycles.

Background: Indoleamine 2,3-dioxygenase/IDO

Gamma-interferon (IFNG; MIM 147570) has an antiproliferative effect on many tumor cells and inhibits intracellular pathogens such as Toxoplasma and Chlamydia, at least partly because of the induction of indoleamine 2,3-dioxygenase (INDO; EC 1.13.11.42). This enzyme catalyzes the degradation of the essential amino acid L-tryptophan to N-formylkynurenine.[supplied by OMIM]

Alternate Names

3dioxygenase, IDO, IDO1, INDO, Indoleamine 2

Entrez Gene IDs

3620 (Human)

Gene Symbol

IDO1

Additional Indoleamine 2,3-dioxygenase/IDO Products

Product Documents for Indoleamine 2,3-dioxygenase/IDO Antibody

Certificate of Analysis

To download a Certificate of Analysis, please enter a lot number in the search box below.

Product Specific Notices for Indoleamine 2,3-dioxygenase/IDO Antibody

This product is for research use only and is not approved for use in humans or in clinical diagnosis. Primary Antibodies are guaranteed for 1 year from date of receipt.

Loading...
Loading...
Loading...
Loading...
Loading...