Importin-13 Antibody - BSA Free
Novus Biologicals, part of Bio-Techne | Catalog # NBP1-31508
Key Product Details
Species Reactivity
Validated:
Human, Rat
Cited:
Human, Mouse
Predicted:
Bovine (100%), Mouse (100%). Backed by our 100% Guarantee.
Applications
Validated:
Immunohistochemistry, Immunohistochemistry-Paraffin, Western Blot, Immunoprecipitation
Cited:
Western Blot
Label
Unconjugated
Antibody Source
Polyclonal Rabbit IgG
Format
BSA Free
Concentration
Concentrations vary lot to lot. See vial label for concentration. If unlisted please contact technical services.
Product Specifications
Immunogen
Carrier-protein conjugated synthetic peptide encompassing a sequence within the C-terminus region of human Importin-13. The exact sequence is proprietary.
Localization
Cytoplasm, Nucleus
Clonality
Polyclonal
Host
Rabbit
Isotype
IgG
Theoretical MW
108 kDa.
Disclaimer note: The observed molecular weight of the protein may vary from the listed predicted molecular weight due to post translational modifications, post translation cleavages, relative charges, and other experimental factors.
Disclaimer note: The observed molecular weight of the protein may vary from the listed predicted molecular weight due to post translational modifications, post translation cleavages, relative charges, and other experimental factors.
Scientific Data Images for Importin-13 Antibody - BSA Free
Western Blot: Importin-13 Antibody [NBP1-31508]
Western Blot: Importin-13 Antibody [NBP1-31508] - A. 30 ug PC-12 whole cell lysate/extract B. 30 ug Rat2 whole cell lysate/extract 7.5 % SDS-PAGE Importin 13 antibody [C3], C-term dilution: 1:1000Immunohistochemistry-Paraffin: Importin-13 Antibody [NBP1-31508]
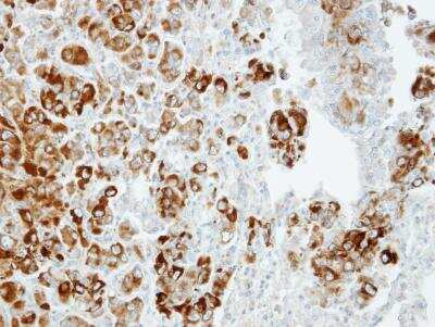
Immunohistochemistry-Paraffin: Importin-13 Antibody [NBP1-31508] - CL1-5 xenograft, using Importin 13 antibody at 1:100 dilution. Antigen Retrieval: Trilogy™ (EDTA based, pH 8.0) buffer, 15min.Western Blot: Importin-13 Antibody [NBP1-31508]
Western Blot: Importin-13 Antibody [NBP1-31508] - IPO13 was immunoprecipitated from 1mg of Hela whole cell lysate using 10 ug of anti-IPO13 antibody. The precipitated IPO13 was detected by antibody diluted at 1:1000.Applications for Importin-13 Antibody - BSA Free
Application
Recommended Usage
Immunohistochemistry
1:100-1:1000
Immunohistochemistry-Paraffin
1:100-1:1000
Immunoprecipitation
1:100-1:500
Western Blot
1:500-1:3000
Formulation, Preparation, and Storage
Purification
Antigen Affinity-purified
Formulation
0.1M Tris, 0.1M Glycine, 10% Glycerol
Format
BSA Free
Preservative
0.01% Thimerosal
Concentration
Concentrations vary lot to lot. See vial label for concentration. If unlisted please contact technical services.
Shipping
The product is shipped with polar packs. Upon receipt, store it immediately at the temperature recommended below.
Stability & Storage
Aliquot and store at -20C or -80C. Avoid freeze-thaw cycles.
Background: Importin-13
Alternate Names
Imp13, importin 13, importin-13, Kap13, karyopherin 13, Karyopherin-13, KIAA0724karyopherin-13, LGL2, Ran binding protein 13, Ran-binding protein 13, RanBP13, RANBP13late gestation lung 2
Entrez Gene IDs
9670 (Human)
Gene Symbol
IPO13
UniProt
Additional Importin-13 Products
Product Documents for Importin-13 Antibody - BSA Free
Product Specific Notices for Importin-13 Antibody - BSA Free
This product is for research use only and is not approved for use in humans or in clinical diagnosis. Primary Antibodies are guaranteed for 1 year from date of receipt.
Loading...
Loading...
Loading...
Loading...
⚠ WARNING: This product can expose you to chemicals including mercury, which is known to the State of California to cause reproductive toxicity with developmental effects. For more information go to www.P65Warnings.ca.gov.