Skip to main content

Importin 11 Antibody - BSA Free

Novus Biologicals, part of Bio-Techne | Catalog # NBP2-49505

Novus Biologicals, part of Bio-Techne
Catalog #
Availability
Size / Price
Qty
Loading...
NBP2-49505-25ul
NBP2-49505

Key Product Details

Validated by

Orthogonal Validation

Species Reactivity

Validated:

Human

Predicted:

Mouse (94%). Backed by our 100% Guarantee.

Applications

Immunohistochemistry, Immunohistochemistry-Paraffin, Western Blot, Immunocytochemistry/ Immunofluorescence

Label

Unconjugated

Antibody Source

Polyclonal Rabbit IgG

Format

BSA Free

Concentration

Concentrations vary lot to lot. See vial label for concentration. If unlisted please contact technical services.

Product Specifications

Immunogen

This antibody was developed against a recombinant protein corresponding to amino acids: QLLGNMIEMWVDRMDNITQPERRKLSALALLSLLPSDNSVIQDKFCGIINISVEGLHDVMTEDPETGTYKDCMLMSHLEEPKVTEDEEPPTEQD

Clonality

Polyclonal

Host

Rabbit

Isotype

IgG

Description

Novus Biologicals Rabbit Importin 11 Antibody - BSA Free (NBP2-49505) is a polyclonal antibody validated for use in IHC, WB and ICC/IF. Anti-Importin 11 Antibody: Cited in 1 publication. All Novus Biologicals antibodies are covered by our 100% guarantee.

Scientific Data Images for Importin 11 Antibody - BSA Free

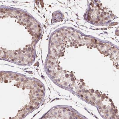
Immunohistochemistry-Paraffin: Importin 11 Antibody [NBP2-49505]

Immunohistochemistry-Paraffin: Importin 11 Antibody [NBP2-49505]

Immunohistochemistry-Paraffin: Importin 11 Antibody [NBP2-49505] - Analysis in human testis and skeletal muscle tissues. Corresponding RNA-seq data are presented for the same tissues.
Western Blot: Importin 11 Antibody [NBP2-49505]

Western Blot: Importin 11 Antibody [NBP2-49505]

Western Blot: Importin 11 Antibody [NBP2-49505] - Lane 1: Marker [kDa] 250, 130, 95, 72, 55, 36, 28, 17, 10Lane 2: Human cell line RT-4 Lane 3: Human cell line U-251 MG
Immunocytochemistry/ Immunofluorescence: Importin 11 Antibody [NBP2-49505]

Immunocytochemistry/ Immunofluorescence: Importin 11 Antibody [NBP2-49505]

Immunocytochemistry/Immunofluorescence: Importin 11 Antibody [NBP2-49505] - Staining of human cell line CACO-2 shows localization to nucleus & nucleoli fibrillar center. Antibody staining is shown in green.

Applications for Importin 11 Antibody - BSA Free

Application
Recommended Usage

Immunocytochemistry/ Immunofluorescence

0.25-2 ug/ml

Immunohistochemistry

1:2500 - 1:5000

Immunohistochemistry-Paraffin

1:2500 - 1:5000

Western Blot

0.04-0.4 ug/ml
Application Notes
For IHC-Paraffin, HIER pH 6 retrieval is recommended. ICC/IF Fixation Permeabilization: Use PFA/Triton X-100.

Formulation, Preparation, and Storage

Purification

Affinity purified

Formulation

PBS (pH 7.2) and 40% Glycerol

Format

BSA Free

Preservative

0.02% Sodium Azide

Concentration

Concentrations vary lot to lot. See vial label for concentration. If unlisted please contact technical services.

Shipping

The product is shipped with polar packs. Upon receipt, store it immediately at the temperature recommended below.

Stability & Storage

Store at 4C short term. Aliquot and store at -20C long term. Avoid freeze-thaw cycles.

Background: Importin 11

Principal Names: Importin-11 (IPO11); Imp11; Ran-binding protein 11 (RanBP11); Official Gene Symbol: IPO11 Gene ID: 51194 (Human) Gene Map Locus: 5q12.1 (Human) Importin-11 is a novel member of Karyopherin family. Karyopherins are transport receptors that mediate the transport of protein and RNA across the nucleus and cytoplasm. Importin-11 consists of an N-terminal Ran-binding domain, a central cargo-binding region and C-terminal region. It interacts with Ran-GTPase and constitutively shuttles between the nucleus and cytoplasm. Reports suggest Importin-11 primarily mediates the transport of ribosomal protein L12 and UbcM2, an E2 ubiquitin-conjugating enzyme.

Alternate Names

Imp11, importin 11, Ran binding protein 11, Ran-binding protein 11, RANBP11, RanBP11importin-11, SLRN

Gene Symbol

IPO11

Additional Importin 11 Products

Product Documents for Importin 11 Antibody - BSA Free

Certificate of Analysis

To download a Certificate of Analysis, please enter a lot number in the search box below.

Product Specific Notices for Importin 11 Antibody - BSA Free

This product is for research use only and is not approved for use in humans or in clinical diagnosis. Primary Antibodies are guaranteed for 1 year from date of receipt.

Loading...
Loading...
Loading...
Loading...