Skip to main content

IMP5 Antibody - BSA Free

Novus Biologicals, part of Bio-Techne | Catalog # NBP3-46481

Novus Biologicals, part of Bio-Techne
Catalog #
Availability
Size / Price
Qty
Loading...
NBP3-46481

Key Product Details

Species Reactivity

Human

Applications

ELISA, Immunohistochemistry, Western Blot

Label

Unconjugated

Antibody Source

Polyclonal Rabbit IgG

Format

BSA Free

Concentration

Please see the vial label for concentration. If unlisted please contact technical services.

Product Specifications

Immunogen

intramembrane protease 5. (Uniprot# Q8IUH8)

Clonality

Polyclonal

Host

Rabbit

Isotype

IgG

Theoretical MW

74 kDa.
Disclaimer note: The observed molecular weight of the protein may vary from the listed predicted molecular weight due to post translational modifications, post translation cleavages, relative charges, and other experimental factors.

Description

Novus Biologicals Rabbit IMP5 Antibody - BSA Free (NBP3-46481) is a polyclonal antibody validated for use in IHC, WB and ELISA. All Novus Biologicals antibodies are covered by our 100% guarantee.

Scientific Data Images for IMP5 Antibody - BSA Free

IMP5 Antibody - BSA Free

Western Blot: IMP5 Antibody - BSA Free [NBP3-46481] -

Western Blot: IMP5 Antibody - BSA Free [NBP3-46481] - HEK-293 cells were subjected to SDS PAGE followed by western blot with (IMP5 antibody) at dilution of 1:500
IMP5 Antibody - BSA Free

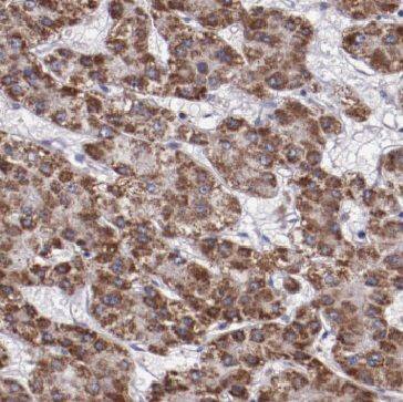
Immunohistochemistry: IMP5 Antibody - BSA Free [NBP3-46481] -

Immunohistochemistry: IMP5 Antibody - BSA Free [NBP3-46481] - Immunohistochemistry of paraffin-embedded human liver cancer tissue slide using (IMP5 Antibody) at dilution of 1:50

Applications for IMP5 Antibody - BSA Free

Application
Recommended Usage

Immunohistochemistry

1:20-1:200

Western Blot

1:500-1:2000

Formulation, Preparation, and Storage

Purification

Immunogen affinity purified

Formulation

PBS, 50% Glycerol, pH (7.3)

Format

BSA Free

Preservative

0.02% Sodium Azide

Concentration

Please see the vial label for concentration. If unlisted please contact technical services.

Shipping

The product is shipped with polar packs. Upon receipt, store it immediately at the temperature recommended below.

Stability & Storage

Store at -20C. Avoid freeze-thaw cycles.

Background: IMP5

IMP5 is a protein that functions as an intramembrane-cleaving aspartic protease, and may have the ability to cleave type II membrance signal peptides in the membrane's hydrophobic plane, and is encoded by a gene made up of 684 amino acids and a mass of approximately 74.5 kDa. Current studies are being done on several diseases and disorders relating to this protein, including suprenuclear palsy, Parkinson's disease, and malaria. IMP5 has also been shown to have interactions with BAP1, TAF1D, and DTNBP1.

Alternate Names

EC 3.4.23, EC 3.4.23.-, IMP-5, intramembrane protease 5, signal peptide peptidase-like 2C, SPPL2c, SPP-like 2C

Gene Symbol

SPPL2C

Additional IMP5 Products

Product Documents for IMP5 Antibody - BSA Free

Certificate of Analysis

To download a Certificate of Analysis, please enter a lot number in the search box below.

Product Specific Notices for IMP5 Antibody - BSA Free

This product is for research use only and is not approved for use in humans or in clinical diagnosis. Primary Antibodies are guaranteed for 1 year from date of receipt.

Loading...
Loading...
Loading...
Loading...