Skip to main content

ILF2 Antibody

Novus Biologicals, part of Bio-Techne | Catalog # NBP1-00204

Novus Biologicals, part of Bio-Techne
Catalog #
Availability
Size / Price
Qty
Loading...
NBP1-00204

Key Product Details

Species Reactivity

Validated:

Human

Predicted:

Canine (100%), Mouse (100%), Rat (100%). Backed by our 100% Guarantee.

Applications

Immunohistochemistry, Immunohistochemistry-Paraffin, Western Blot, Peptide ELISA

Label

Unconjugated

Antibody Source

Polyclonal Goat IgG

Concentration

0.5 mg/ml

Product Specifications

Immunogen

Peptide with sequence C-EKAYEKPPEKKEG corresponding to internal region (near C-Terminus) according to NP_004506.2.

Clonality

Polyclonal

Host

Goat

Isotype

IgG

Description

Novus Biologicals Goat ILF2 Antibody (NBP1-00204) is a polyclonal antibody validated for use in IHC, WB and ELISA. Anti-ILF2 Antibody: Cited in 1 publication. All Novus Biologicals antibodies are covered by our 100% guarantee.

Scientific Data Images for ILF2 Antibody

Western Blot: ILF2 Antibody [NBP1-00204]

Western Blot: ILF2 Antibody [NBP1-00204]

Western Blot: ILF2 Antibody [NBP1-00204] - Analysis of ILF2 in Human Tonsil lysate (35ug protein in RIPA buffer) using this antibody at 0.03ug/ml. Primary incubation was 1 hour. Detected by chemiluminescence.
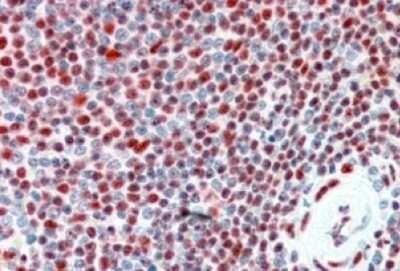
Immunohistochemistry-Paraffin: ILF2 Antibody [NBP1-00204]

Immunohistochemistry-Paraffin: ILF2 Antibody [NBP1-00204]

Immunohistochemistry-Paraffin: ILF2 Antibody [NBP1-00204] - (2.5ug/ml) staining of paraffin embedded Human Spleen. Steamed antigen retrieval with citrate buffer pH 6, AP-staining.

Applications for ILF2 Antibody

Application
Recommended Usage

Immunohistochemistry

3 - 5 ug/ml

Immunohistochemistry-Paraffin

3 - 5 ug/ml

Peptide ELISA

Detection limit 1:4000

Western Blot

0.03 - 0.1 ug/ml
Application Notes
IP: An anonymous customer has reported PAR-CLIP (specific IP procedure) usage is reported in scientific literature (PMID: 20644507). WB: Approx. 43 kDa band observed in human tonsil and thymus lysates (calculated MW of 43.1 kDa band according to NP_004506.2).
IHC-P: Human spleen shows nuclear staining in selected splenocytes.

Formulation, Preparation, and Storage

Purification

Immunogen affinity purified

Formulation

Tris saline (20 mM Tris pH 7.3, 150 mM NaCl), 0.5% BSA

Preservative

0.02% Sodium Azide

Concentration

0.5 mg/ml

Shipping

The product is shipped with polar packs. Upon receipt, store it immediately at the temperature recommended below.

Stability & Storage

Store at -20C. Avoid freeze-thaw cycles.

Background: ILF2

Nuclear factor of activated T-cells (NFAT) is a transcription factor required for T-cell expression of the interleukin 2 gene. NFAT binds to a sequence in the interleukin 2 gene enhancer known as the antigen receptor response element 2. In addition, NFAT can bind RNA and is an essential component for encapsidation and protein priming of hepatitis B viral polymerase. NFAT is a heterodimer of 45 kDa and 90 kDa proteins, the smaller of which is the product of this gene. The encoded protein binds strongly to the 90 kDa protein and stimulates its ability to enhance gene expression. [provided by RefSeq]

Alternate Names

interleukin enhancer binding factor 2, 45kD, interleukin enhancer binding factor 2, 45kDa, interleukin enhancer-binding factor 2, MGC8391, NF45PRO3063, Nuclear factor of activated T-cells 45 kDa, nuclear factor of activated T-cells, 45-kDa

Entrez Gene IDs

3608 (Human); 67781 (Mouse); 310612 (Rat)

Gene Symbol

ILF2

Additional ILF2 Products

Product Documents for ILF2 Antibody

Certificate of Analysis

To download a Certificate of Analysis, please enter a lot number in the search box below.

Product Specific Notices for ILF2 Antibody

This product is for research use only and is not approved for use in humans or in clinical diagnosis. Primary Antibodies are guaranteed for 1 year from date of receipt.

Loading...
Loading...
Loading...
Loading...