Skip to main content

ILF1 Antibody

Novus Biologicals, part of Bio-Techne | Catalog # NB100-88147

Novus Biologicals, part of Bio-Techne
Catalog #
Availability
Size / Price
Qty
Loading...
NB100-88147

Key Product Details

Validated by

Independent Antibodies, Biological Validation

Species Reactivity

Human

Applications

Immunohistochemistry, Immunohistochemistry-Paraffin, Immunoprecipitation, Western Blot

Label

Unconjugated

Antibody Source

Polyclonal Rabbit IgG

Concentration

0.2 mg/ml

Product Specifications

Immunogen

The immunogen recognized by this antibody maps to a region between residue 600 and 635 of human forkhead box K2 using the numbering given in entry NP_004505.2 (GeneID 3607).

Clonality

Polyclonal

Host

Rabbit

Isotype

IgG

Description

Novus Biologicals Rabbit ILF1 Antibody (NB100-88147) is a polyclonal antibody validated for use in IHC, WB and IP. All Novus Biologicals antibodies are covered by our 100% guarantee.

Scientific Data Images for ILF1 Antibody

Western Blot: ILF1 Antibody [NB100-88147]

Western Blot: ILF1 Antibody [NB100-88147]

Western Blot: ILF1 Antibody [NB100-88147] - Detection of Human FoxK2 on HeLa whole cell lysate using NB100-88147. FoxK2 was also immunoprecipitated by rabbit anti-FoxK2 antibody NB100-88148.
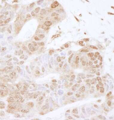
Immunohistochemistry-Paraffin: ILF1 Antibody [NB100-88147]

Immunohistochemistry-Paraffin: ILF1 Antibody [NB100-88147]

Immunohistochemistry-Paraffin: ILF1 Antibody [NB100-88147] - Human ovarian carcinoma. Antibody used at a dilution of 1:200 (1ug/ml).

Applications for ILF1 Antibody

Application
Recommended Usage

Immunohistochemistry

1:10-1:500

Immunohistochemistry-Paraffin

1:10-1:500

Immunoprecipitation

1:10-1:500

Western Blot

1:2000-1:10000

Formulation, Preparation, and Storage

Purification

Immunogen affinity purified

Formulation

TBS and 0.1% BSA

Preservative

0.09% Sodium Azide

Concentration

0.2 mg/ml

Shipping

The product is shipped with polar packs. Upon receipt, store it immediately at the temperature recommended below.

Stability & Storage

Store at 4C. Do not freeze.

Background: ILF1

The protein encoded by this gene contains a fork head DNA binding domain. This protein can bind to the purine-rich motifs of the HIV long terminal repeat (LTR), and to the similar purine-rich motif in the interleukin 2 (IL2) promoter. It may be involved in the regulation of viral and cellular promoter elements. [provided by RefSeq]

Alternate Names

Cellular transcription factor ILF-1, forkhead box K2, forkhead box protein K2, FOXK1, ILF-1, ILF1ILF, interleukin enhancer binding factor 1, Interleukin enhancer-binding factor 1

Entrez Gene IDs

3607 (Human)

Gene Symbol

FOXK2

Additional ILF1 Products

Product Documents for ILF1 Antibody

Certificate of Analysis

To download a Certificate of Analysis, please enter a lot number in the search box below.

Product Specific Notices for ILF1 Antibody

This product is for research use only and is not approved for use in humans or in clinical diagnosis. Primary Antibodies are guaranteed for 1 year from date of receipt.

Loading...
Loading...
Loading...
Loading...