Skip to main content

IL-32 Antibody - BSA Free

Novus Biologicals, part of Bio-Techne | Catalog # NBP1-76684

Novus Biologicals, part of Bio-Techne

Key Product Details

Species Reactivity

Validated:

Human

Cited:

Human

Applications

Validated:

Immunohistochemistry, Immunohistochemistry-Paraffin, Western Blot, ELISA, Flow Cytometry, Immunocytochemistry/ Immunofluorescence

Cited:

ELISA, Flow Cytometry, IF/IHC

Label

Unconjugated

Antibody Source

Polyclonal Rabbit IgG

Format

BSA Free

Concentration

1 mg/ml

Product Specifications

Immunogen

Antibody was raised against a peptide corresponding to 15 amino acids near the carboxy terminus of human IL-32. The immunogen is located within the last 50 amino acids of IL-32. Amino Acid Sequence: YGAPRGDKEELTPQK

Specificity

This antibody detects all isoforms of IL-32. Human IL-32 has 7 isoforms, including isoform 1 (234aa, 27 kDa), isoform 2 (188aa, 22 kDa), isoform 3 (178aa, 21 kDa), isoform 4 (131aa, 15 kDa), isoform 5 (168aa, 19 kDa), isoform 6 (179aa, 21 kDa) and isoform 7 (148aa, 17 kDa). NBP1-76684 can detect all human isoforms.

Clonality

Polyclonal

Host

Rabbit

Isotype

IgG

Theoretical MW

26 kDa.
Disclaimer note: The observed molecular weight of the protein may vary from the listed predicted molecular weight due to post translational modifications, post translation cleavages, relative charges, and other experimental factors.

Description

Novus Biologicals Rabbit IL-32 Antibody - BSA Free (NBP1-76684) is a polyclonal antibody validated for use in IHC, WB, ELISA, Flow and ICC/IF. Anti-IL-32 Antibody: Cited in 3 publications. All Novus Biologicals antibodies are covered by our 100% guarantee.

Scientific Data Images for IL-32 Antibody - BSA Free

IL-32 Antibody - BSA Free

Western Blot: IL-32 Antibody - BSA Free [NBP1-76684] -

Western Blot: IL-32 Antibody - BSA Free [NBP1-76684] - Figure 1 Western Blot Validation with Recombinant Protein
Loading: 30 ng of human IL-32 recombinant protein per lane.Antibodies: IL-32, (Lane 1: 0.5 u/mL, Lane 2: 1 u/mL, Lane 3: 2 u/mL and Lane 4: 4 u/mL), 1h incubation at RT in 5% NFDM/TBST.Secondary: Goat anti-rabbit IgG HRP conjugate at 1:10000 dilution.Observed at around 17kD.
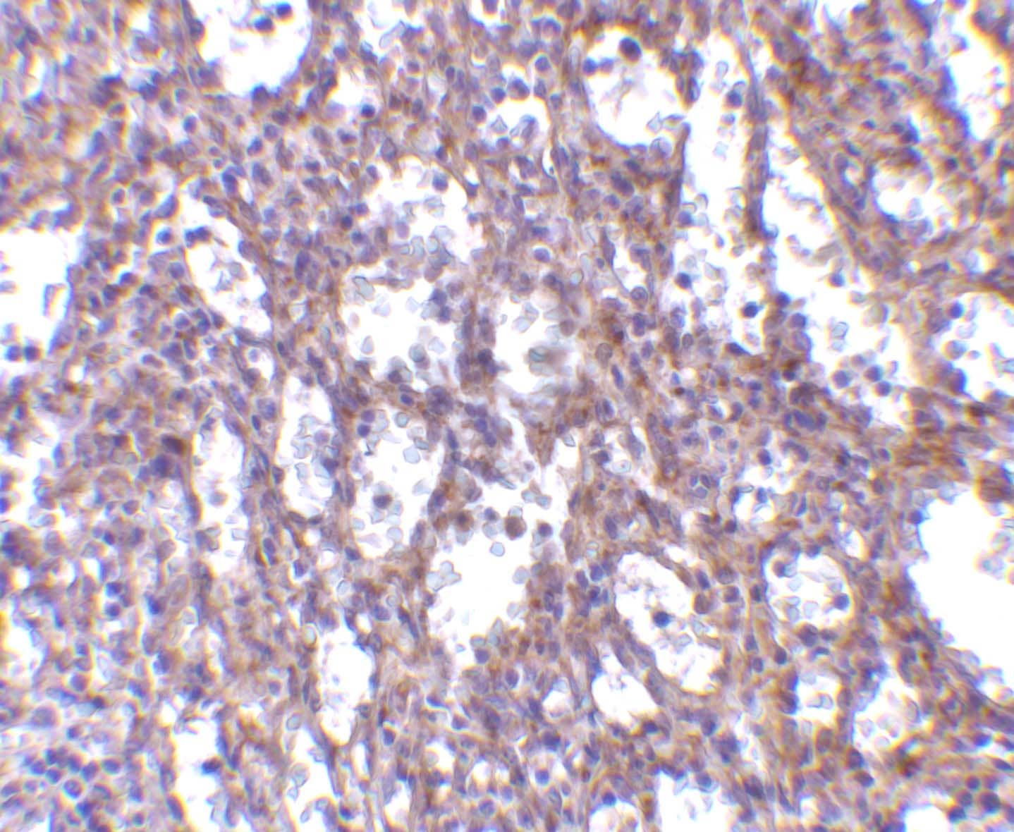
IL-32 Antibody - BSA Free

Immunohistochemistry: IL-32 Antibody - BSA Free [NBP1-76684] -

Immunohistochemistry: IL-32 Antibody - BSA Free [NBP1-76684] - Validation of IL-32 in Human Spleen Tissue.Immunohistochemical analysis of paraffin-embedded human spleen tissue using anti-IL-32 antibody at 10 ug/ml. Tissue was fixed with formaldehyde and blocked with 10% serum for 1 h at RT; antigen retrieval was by heat mediation with a citrate buffer (pH6). Samples were incubated with primary antibody overnight at 4C. A goat anti-rabbit IgG H&L (HRP) at 1/250 was used as secondary. Counter stained with Hematoxylin.
IL-32 Antibody - BSA Free

Immunocytochemistry/ Immunofluorescence: IL-32 Antibody - BSA Free [NBP1-76684] -

Immunocytochemistry/ Immunofluorescence: IL-32 Antibody - BSA Free [NBP1-76684] - Figure 4 Immunofluorescence Validation of IL-32 in Human Spleen CellsImmunofluorescent analysis of 4% paraformaldehyde-fixed human spleen cells labeling IL-32 with at 20 u/mL, followed by goat anti-rabbit IgG secondary antibody at 1/500 dilution (red).

Applications for IL-32 Antibody - BSA Free

Application
Recommended Usage

ELISA

1:100 - 1:2000

Immunocytochemistry/ Immunofluorescence

20 ug/mL

Immunohistochemistry

2-10 ug/mL

Immunohistochemistry-Paraffin

5 ug/mL

Western Blot

0.5 - 4 ug/mL
Application Notes
Use in FLOW reported in scientific literature (PMID: 30641867).

Reviewed Applications

Read 1 review rated 2 using NBP1-76684 in the following applications:

Formulation, Preparation, and Storage

Purification

Peptide affinity purified

Formulation

PBS

Format

BSA Free

Preservative

0.02% Sodium Azide

Concentration

1 mg/ml

Shipping

The product is shipped with polar packs. Upon receipt, store it immediately at the temperature recommended below.

Stability & Storage

Store at 4C short term. Aliquot and store at -20C long term. Avoid freeze-thaw cycles.

Background: IL-32

Interleukin-32 (IL-32) was initially identified as a transcript (NK4) that is selectively expressed in lymphocytes and NK cells and whose expression is increased following activation by IL-2. It was later re-isolated from an IL-18-treated lung carcinoma cell line and re-named IL-32. IL-32 is unusual in that it does not share sequence homology with known cytokine families and is highly expressed in immune tissues, existing in at least four differentially spliced isoforms. Because treatment of human monocytic and mouse macrophage cells with IL-32 induces several proinflammatory cytokines such as TNF-alpha, IL-8 and MIP-2, and because it is also induced in human peripheral lymphocyte cells after mitogen stimulation and in epithelial cells by IFNgamma, it has been suggested that IL-32 may play a role in autoimmune and inflammatory diseases such as rheumatoid arthritis.

Long Name

Interleukin 32

Alternate Names

IL32, NK4, TAIF

Entrez Gene IDs

9235 (Human)

Gene Symbol

IL32

UniProt

Additional IL-32 Products

Product Documents for IL-32 Antibody - BSA Free

Certificate of Analysis

To download a Certificate of Analysis, please enter a lot number in the search box below.

Product Specific Notices for IL-32 Antibody - BSA Free

This product is for research use only and is not approved for use in humans or in clinical diagnosis. Primary Antibodies are guaranteed for 1 year from date of receipt.

Loading...
Loading...
Loading...
Loading...
Loading...