Skip to main content

IL-22 Antibody (8F11E2) - BSA Free

Novus Biologicals, part of Bio-Techne | Catalog # NBP2-27339

Novus Biologicals, part of Bio-Techne
Catalog #
Availability
Size / Price
Qty
Loading...
NBP2-27339
NBP2-27339SS

Key Product Details

Species Reactivity

Human

Applications

Immunohistochemistry, Immunohistochemistry-Paraffin, Western Blot

Label

Unconjugated

Antibody Source

Monoclonal Mouse IgG1 kappa Clone # 8F11E2

Format

BSA Free

Concentration

1.0 mg/ml

Product Specifications

Immunogen

MAPISSHCRL DkSNFQQPYI TNRTFMLAkE ASLADNNTDV RLIGEkLFHG VSMSERCYLM kQVLNFTLEE VLFPQSDRFQ PYMQEVVPFL ARLSNRLSTC HIEGDDLHIQ RNVQkLkDTV kkLGESGEIk AIGELDLLFM SLRNACI

Clonality

Monoclonal

Host

Mouse

Isotype

IgG1 kappa

Description

Novus Biologicals Mouse IL-22 Antibody (8F11E2) - BSA Free (NBP2-27339) is a monoclonal antibody validated for use in IHC and WB. All Novus Biologicals antibodies are covered by our 100% guarantee.

Scientific Data Images for IL-22 Antibody (8F11E2) - BSA Free

Western Blot: IL-22 Antibody (8F11E2)BSA Free [NBP2-27339]

Western Blot: IL-22 Antibody (8F11E2)BSA Free [NBP2-27339]

Western Blot: IL-22 Antibody (8F11E2) [NBP2-27339] - Analysis of IL-22 in A) recombinant protein and B) human spleen lysate using IL-22 antibody at 1 ug/mL. Goat anti-mouse Ig HRP secondary antibody and PicoTect ECL substrate solution were used for this test.
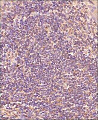
Immunohistochemistry-Paraffin: IL-22 Antibody (8F11E2) - BSA Free [NBP2-27339]

Immunohistochemistry-Paraffin: IL-22 Antibody (8F11E2) - BSA Free [NBP2-27339]

Immunohistochemistry-Paraffin: IL-22 Antibody (8F11E2) [NBP2-27339] - Analysis of a FFPE tissue section of human tonsil using 5 ug/ml dilution of IL-22 (8F11E2) antibody. The staining was developed using HRP labeled anti-mouse secondary antibody and DAB reagent, and nuclei of cells were counter-stained with hematoxylin.

Applications for IL-22 Antibody (8F11E2) - BSA Free

Application
Recommended Usage

Immunohistochemistry-Paraffin

5 ug/mL

Western Blot

1 - 3 ug/mL

Formulation, Preparation, and Storage

Purification

Protein G purified

Formulation

PBS

Format

BSA Free

Preservative

0.05% Sodium Azide

Concentration

1.0 mg/ml

Shipping

The product is shipped with polar packs. Upon receipt, store it immediately at the temperature recommended below.

Stability & Storage

Store at 4C short term. Aliquot and store at -20C long term. Avoid freeze-thaw cycles.

Background: IL-22

IL-22 is an inflammatory cytokine produced by so-called Th22 cells, especially, as well as Th17 cells. Activating through STAT3 signaling cascades, IL-22 is also expressed by numerous types of lymphocytes including LTi and LTi-like cells in the gut, Nk and T cells, and Langerhans cells which are APCs in the skin (1, 2). The protein is therefore expressed in effector cells of both the Innate and Adaptive Immune systems. Th22 cells, a subset of CD4 cells, preferentially express IL-22 and also express CCR6, CCR4 and CCR10--the latter two representing skin-homing receptors (3-5). Th22 cells do not express RORt or T-bet IL-17A or IFN (4). However, AHR appears to be a key priming transcription element for IL-22 as for IL-17A expression (5). IL-6 and TNF induce Th22 priming (1, 5). It also appears to have positive activities in wound healing and tissue repair since deficiencies in IL-22 in mouse models delay healing of intestinal biopsies (6). Other tissue repair activities have also been identified with the protein. Taken together, IL-22 is thought to be a key to maintaining a balance between inflammation and tolerance, or homeostasis, especially in skin and mucosal organs like the gut.

Long Name

Interleukin 22

Alternate Names

IL-TIF, IL22

Gene Symbol

IL22

UniProt

Additional IL-22 Products

Product Documents for IL-22 Antibody (8F11E2) - BSA Free

Certificate of Analysis

To download a Certificate of Analysis, please enter a lot number in the search box below.

Product Specific Notices for IL-22 Antibody (8F11E2) - BSA Free

This product is for research use only and is not approved for use in humans or in clinical diagnosis. Primary Antibodies are guaranteed for 1 year from date of receipt.

Loading...
Loading...
Loading...
Loading...