Skip to main content

Key Product Details

Species Reactivity

Validated:

Human

Cited:

Human

Applications

Validated:

Immunohistochemistry, Immunohistochemistry-Paraffin, Western Blot, Flow Cytometry

Cited:

Flow Cytometry

Label

Unconjugated

Antibody Source

Monoclonal Mouse IgG2b Kappa Clone # 46N7E3

Concentration

0.5 mg/ml

Product Specifications

Immunogen

amino acids (97-199) MVHLLVQkSkkSSTFkFYRRHkMPAPAQRkLLPRRHLSEkSHHISIPSPDISHkGLRSkR~TQPSDPETWESLPRLDSQRHGGPEFSFDLLPEARAIRVTISSGPE

Clonality

Monoclonal

Host

Mouse

Isotype

IgG2b Kappa

Description

Novus Biologicals Mouse IL-17RE Antibody (46N7E3) (NBP2-27368) is a monoclonal antibody validated for use in IHC, WB and Flow. Anti-IL-17RE Antibody: Cited in 1 publication. All Novus Biologicals antibodies are covered by our 100% guarantee.

Scientific Data Images for IL-17RE Antibody (46N7E3)

Western Blot: IL-17RE Antibody (46N7E3) [NBP2-27368]

Western Blot: IL-17RE Antibody (46N7E3) [NBP2-27368]

Western Blot: IL-17 RE Antibody (46N7E3) [NBP2-27368] - Analysis of IL-17RE using a partial recombinant protein (amino acids 97-199) probed with IL-17RE antibody at 5 ug/ml. Goat anti-mouse Ig HRP secondary antibody and PicoTect ECL substrate solution were used for this test.
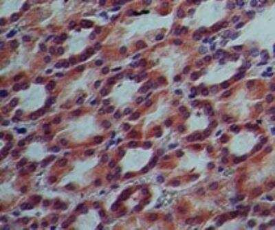
Immunohistochemistry-Paraffin: IL-17RE Antibody (46N7E3) [NBP2-27368]

Immunohistochemistry-Paraffin: IL-17RE Antibody (46N7E3) [NBP2-27368]

Immunohistochemistry-Paraffin: IL-17 RE Antibody (46N7E3) [NBP2-27368] - Analysis of IL-17RE in formalin-fixed, paraffin-embedded human kidney tissue using IL-17RE antibody at 10 ug/ml.

Applications for IL-17RE Antibody (46N7E3)

Application
Recommended Usage

Flow Cytometry

reported in scientific literature (PMID 27534549)

Immunohistochemistry-Paraffin

10ug/ml~

Western Blot

5-10ug/ml~

Formulation, Preparation, and Storage

Purification

Protein G purified

Formulation

PBS and 0.05% BSA

Preservative

0.05% Sodium Azide

Concentration

0.5 mg/ml

Shipping

The product is shipped with polar packs. Upon receipt, store it immediately at the temperature recommended below.

Stability & Storage

Store at 4C short term. Aliquot and store at -20C long term. Avoid freeze-thaw cycles.

Background: IL-17RE

Th17 cells are a subset of T helper cells with proinflammatory activities through the production of IL-17. IL-17RE is the receptor which recognizes the IL-17C, also known as IL-21, isoform of IL-17. IL-17C is thought to bind to IL-17RE - IL-17RA heterodimeric complexes and initiate signaling and activation cascades (1-4). IL-17RE signaling through IL17C also appears to act together with IL-22 in the induction of antibacterial peptides in colonic epithelial cells in host mucosal infection (3). IL-17RE defects lead to impaired IL-17C signaling and response to Clostridium rodentium, an analog of mucosal enteropathgenic infection of E coli in humans (1).The IL-17C isoform and the signaling pathway through IL-17RE has also been demonstrated in studies of psoriatic skin lesions (2). Undoubtedly, the different IL-17 isoforms and their particular receptors can be characterized with antibodies such as this one specific for IL-17RE to demonstrate specific and relative roles in mediating protective anti-host responses or inflammatory processes as part of the autoimmune disorders.

Long Name

Interleukin 17 Receptor E

Alternate Names

IL-17 RE, IL17RE, Il25r

Gene Symbol

IL17RE

Additional IL-17RE Products

Product Documents for IL-17RE Antibody (46N7E3)

Certificate of Analysis

To download a Certificate of Analysis, please enter a lot number in the search box below.

Product Specific Notices for IL-17RE Antibody (46N7E3)

This product is for research use only and is not approved for use in humans or in clinical diagnosis. Primary Antibodies are guaranteed for 1 year from date of receipt.

Loading...
Loading...
Loading...
Loading...
Loading...