Skip to main content

IL-17F Antibody (4H1629.1) - Azide and BSA Free

Novus Biologicals, part of Bio-Techne | Catalog # NBP2-80796

Novus Biologicals, part of Bio-Techne

Key Product Details

Species Reactivity

Human

Applications

Immunohistochemistry, Immunohistochemistry-Paraffin, Western Blot

Label

Unconjugated

Antibody Source

Monoclonal Mouse IgG1 kappa Clone # 4H1629.1

Format

Azide and BSA Free

Concentration

1 mg/ml

Product Specifications

Immunogen

Full-length recombinant MRkIPkVGHT FFQkPESCPP VPGGSMkLDI GIINENQRVS MSRNIESRST SPWNYTVTWD PNRYPSEVVQ AQCRNLGCIN AQGkEDISMN SVPIQQETLV VRRkHQGCSV SFQLEkVLVT VGCTCVTPVI HHVQ

Reactivity Notes

The human IL17F protein shows 60% sequence similarity with Rat and 57% with Mouse, and in our testing this antibody did not react with Rat or Mouse recombinant IL17F proteins.

Clonality

Monoclonal

Host

Mouse

Isotype

IgG1 kappa

Description

Novus Biologicals Mouse IL-17F Antibody (4H1629.1) - Azide and BSA Free (NBP2-27327) is a monoclonal antibody validated for use in IHC and WB. All Novus Biologicals antibodies are covered by our 100% guarantee.

Scientific Data Images for IL-17F Antibody (4H1629.1) - Azide and BSA Free

Western Blot: IL-17F Antibody (4H1629.1)Azide and BSA Free [NBP2-80796]

Western Blot: IL-17F Antibody (4H1629.1)Azide and BSA Free [NBP2-80796]

Western Blot: IL-17F Antibody (4H1629) - Azide and BSA Free [NBP2-80796] - Analysis on full-length recombinant IL-17F proteins of (1) Human, (2) Mouse and (3) Rat using IL-17F antibody (clone 4H1629) at a concentration of 0.5 ug/ml. Note: This antibody did not detect the mouse or rat -IL-17F recombinant proteins. Image from the standard format of this antibody.
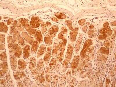
Immunohistochemistry-Paraffin: IL-17F Antibody (4H1629.1) - Azide and BSA Free [NBP2-80796]

Immunohistochemistry-Paraffin: IL-17F Antibody (4H1629.1) - Azide and BSA Free [NBP2-80796]

Immunohistochemistry-Paraffin: IL-17F Antibody (4H1629) - Azide and BSA Free [NBP2-80796] - Detection IL17F protein in a tissue section of human stomach cancer using IL17F antibody (clone 4H1629) at a concentration of 5 ug/ml. Diffused cytoplasmic staining was observed in the tissue section and interestingly, the expression levels in cancerous t
Immunohistochemistry: IL-17F Antibody (4H1629.1) - Azide and BSA Free [NBP2-80796]

Immunohistochemistry: IL-17F Antibody (4H1629.1) - Azide and BSA Free [NBP2-80796]

Immunohistochemistry: IL-17F Antibody (4H1629) - Azide and BSA Free [NBP2-80796] - Analysis of IL-17F in formalin-fixed paraffin-embedded human colon tissue using an isotype control (top left) and IL-17F antibody (bottom left and right) at 5 ug/ml concentration. Image from the standard format of this antibody.

Applications for IL-17F Antibody (4H1629.1) - Azide and BSA Free

Application
Recommended Usage

Immunohistochemistry-Paraffin

5 ug/ml

Western Blot

0.5-2ug/ml

Formulation, Preparation, and Storage

Purification

Protein G purified

Formulation

PBS

Format

Azide and BSA Free

Preservative

No Preservative

Concentration

1 mg/ml

Shipping

The product is shipped with polar packs. Upon receipt, store it immediately at the temperature recommended below.

Stability & Storage

Store at 4C short term. Aliquot and store at -20C long term. Avoid freeze-thaw cycles.

Background: IL-17F

Interleukin 17 (IL-17) is a pro-inflammatory cytokine produced by a subset of T helper cells that develops distinct from the Th1- and Th2- cell differentiation pathways. IL-17, also known as CTLA-8, stimulates induction of other pro-inflammatory cytokines TNF alpha, IL-1 beta, IL-6, and IL-8, and reports strongly suggest the involvement of IL-17 in several chronic inflammatory diseases such as rheumatoid arthritis, psoriasis and multiple sclerosis. TGF-Beta (differentiation) and IL-23 (expansion) are required for induction and maintenance of Th17 (IL-17 producing) cells, which in turn induce the other pro-inflammatory cytokines. IL-17 (~32kDa) protein is produced and exists as a homo-dimer, has homology to a herpes virus early protein, is one of the six members (IL-17A-F) of this cytokine family, and is well characterzed and highly expressed by activated effector memory T cells.

Long Name

Interleukin 17F

Alternate Names

IL17F

Gene Symbol

IL17F

Additional IL-17F Products

Product Documents for IL-17F Antibody (4H1629.1) - Azide and BSA Free

Certificate of Analysis

To download a Certificate of Analysis, please enter a lot number in the search box below.

Product Specific Notices for IL-17F Antibody (4H1629.1) - Azide and BSA Free

This product is for research use only and is not approved for use in humans or in clinical diagnosis. Primary Antibodies are guaranteed for 1 year from date of receipt.

Loading...
Loading...
Loading...
Loading...