Skip to main content

IKK epsilon/IKBKE Antibody - BSA Free

Novus Biologicals, part of Bio-Techne | Catalog # NBP1-76800

Novus Biologicals, part of Bio-Techne

Key Product Details

Validated by

Biological Validation

Species Reactivity

Validated:

Human, Mouse

Cited:

Human

Applications

Validated:

Immunohistochemistry, Immunohistochemistry-Paraffin, Western Blot, ELISA, Immunocytochemistry/ Immunofluorescence

Cited:

Western Blot

Label

Unconjugated

Antibody Source

Polyclonal Rabbit IgG

Format

BSA Free

Concentration

1 mg/ml

Product Specifications

Immunogen

Antibody was raised against a peptide corresponding to 16 amino acids near the carboxy terminus of human IKK epsilon/IKBKE. The immunogen is located within the last 50 amino acids of IKK epsilon/IKBKE. Amino Acid Sequence: NRIIERLNRVPAPPDV

Specificity

It has no cross response to IKKa, IKKb, or IKKy. Human IKK epsilon/IKBKE has 2 isoforms, including isoform 1 (716aa, 80kD) and isoform 2 (631aa, 70kD). Mouse IKK epsilon/IKBKE has one isoform (717aa, 81kD) and Rat IKK epsilon/IKBKE also has one isoform (717aa, 80kD). NBP1-76800 can detect human, mouse and possibly rat.

Clonality

Polyclonal

Host

Rabbit

Isotype

IgG

Theoretical MW

80 kDa.
Disclaimer note: The observed molecular weight of the protein may vary from the listed predicted molecular weight due to post translational modifications, post translation cleavages, relative charges, and other experimental factors.

Description

Novus Biologicals Rabbit IKK epsilon/IKBKE Antibody - BSA Free (NBP1-76800) is a polyclonal antibody validated for use in IHC, WB, ELISA and ICC/IF. Anti-IKK epsilon/IKBKE Antibody: Cited in 1 publication. All Novus Biologicals antibodies are covered by our 100% guarantee.

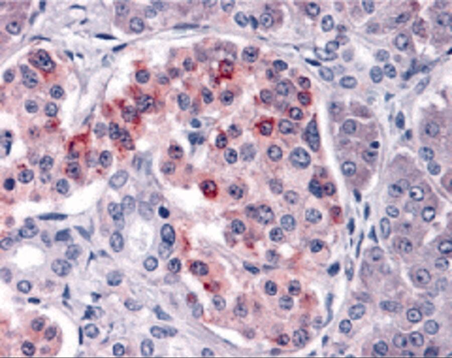
Scientific Data Images for IKK epsilon/IKBKE Antibody - BSA Free

Western Blot: IKK epsilon/IKBKE AntibodyBSA Free [NBP1-76800]

Western Blot: IKK epsilon/IKBKE AntibodyBSA Free [NBP1-76800]

Western Blot: IKK epsilon/IKBKE Antibody [NBP1-76800] - Induced Expression Validation in Mouse Cell Line. Loading: 15 ug of RAW 264.7 cell lysates per lane. Antibodies: IKK epsilon/IKBKE NBP1-76800 (1 ug/ml), 1h incubation at RT in 5% NFDM/TBST. Secondary: Goat anti-rabbit IgG HRP conjugate at 1:10000 dilution.Cells were treated with LPS (0.3 ug/ml) for 3 hrs (lane 2) and 6 hrs (lane 3) or with control (lane 1).
Western Blot: IKK epsilon/IKBKE AntibodyBSA Free [NBP1-76800]

Western Blot: IKK epsilon/IKBKE AntibodyBSA Free [NBP1-76800]

Western Blot: IKK epsilon/IKBKE Antibody [NBP1-76800] - Western Blot Validation in Human and Mouse Cell Lines. Loading: 15 ug of lysates per lane. Antibodies: IKK epsilon/IKBKE NBP1-76800 (1 ug/mL), 1h incubation at RT in 5% NFDM/TBST. Secondary: Goat anti-rabbit IgG HRP conjugate at 1:10000 dilution.
IKK epsilon/IKBKE Antibody - BSA Free

Western Blot: IKK epsilon/IKBKE Antibody - BSA Free [NBP1-76800] -

Western Blot: IKK epsilon/IKBKE Antibody - BSA Free [NBP1-76800] - Validation in Jurkat Cell Lysate. Antibodies: IKK epsilon/IKBKE (2 ug/mL), 1h incubation at RT in 5% NFDM/TBST.Secondary: Goat anti-rabbit IgG HRP conjugate at 1:10000 dilution.

Applications for IKK epsilon/IKBKE Antibody - BSA Free

Application
Recommended Usage

ELISA

1:100-1:2000

Immunocytochemistry/ Immunofluorescence

20 ug/ml

Immunohistochemistry

10 ug/ml

Immunohistochemistry-Paraffin

10 ug/ml

Western Blot

1-2 ug/ml

Formulation, Preparation, and Storage

Purification

Peptide affinity purified

Formulation

PBS

Format

BSA Free

Preservative

0.02% Sodium Azide

Concentration

1 mg/ml

Shipping

The product is shipped with polar packs. Upon receipt, store it immediately at the temperature recommended below.

Stability & Storage

Store at 4C short term. Aliquot and store at -20C long term. Avoid freeze-thaw cycles.

Background: IKK epsilon

Nuclear factor kappa B (NF-kappaB) is a ubiquitous transcription factor and an essential mediator of gene expression during activation of immune and inflammatory responses. NF-kappaB mediates the expression of a great variety of genes in response to extracellular stimuli. NF-kappaB is associated with IkappaB proteins in the cell cytoplasm, which inhibit NF-kappaB activity. IkappaB is phosphorylated by IkappaB kinase (IKK) complex that contains IKKalpha, IKKbeta, and IKKgamma. A novel molecule in the IKK complex was recently identified and designated IKKepsilon/IKK-i. IKK epsilon is required for the activation of NF-kappaB by PMA and T cell receptors but not by TNFalpha and IL-1. IKKepsilon/IKK-i message is expressed in a variety of tissues and is inducible by TNFalpha, IL-1, and LPS.

Long Name

IkB Kinase epsilon

Alternate Names

IKBKE, IKK-I

Gene Symbol

IKBKE

Additional IKK epsilon Products

Product Documents for IKK epsilon/IKBKE Antibody - BSA Free

Certificate of Analysis

To download a Certificate of Analysis, please enter a lot number in the search box below.

Product Specific Notices for IKK epsilon/IKBKE Antibody - BSA Free

This product is for research use only and is not approved for use in humans or in clinical diagnosis. Primary Antibodies are guaranteed for 1 year from date of receipt.

Loading...
Loading...
Loading...
Loading...