Skip to main content

IKK epsilon/IKBKE Antibody (OTI3C5) - Azide and BSA Free

Novus Biologicals, part of Bio-Techne | Catalog # NBP2-71490

Novus Biologicals, part of Bio-Techne

Key Product Details

Species Reactivity

Human

Applications

Immunohistochemistry, Immunohistochemistry-Paraffin, Western Blot

Label

Unconjugated

Antibody Source

Monoclonal Mouse IgG1 Clone # OTI3C5

Format

Azide and BSA Free

Concentration

LYOPH mg/ml

Product Specifications

Immunogen

Human recombinant protein fragment corresponding to amino acids 474-716 of human IKBKE(NP_054721) produced in E.coli.

Clonality

Monoclonal

Host

Mouse

Isotype

IgG1

Theoretical MW

80.3 kDa.
Disclaimer note: The observed molecular weight of the protein may vary from the listed predicted molecular weight due to post translational modifications, post translation cleavages, relative charges, and other experimental factors.

Description

Novus Biologicals Mouse IKK epsilon/IKBKE Antibody (OTI3C5) - Azide and BSA Free (NBP2-46047) is a monoclonal antibody validated for use in IHC and WB. All Novus Biologicals antibodies are covered by our 100% guarantee.

Scientific Data Images for IKK epsilon/IKBKE Antibody (OTI3C5) - Azide and BSA Free

Western Blot: IKK epsilon/IKBKE Antibody (OTI3C5)Azide and BSA Free [NBP2-71490]

Western Blot: IKK epsilon/IKBKE Antibody (OTI3C5)Azide and BSA Free [NBP2-71490]

Western Blot: IKK epsilon/IKBKE Antibody (OTI3C5) - Azide and BSA Free [NBP2-71490] - Analysis of HEK293T cells were transfected with the pCMV6-ENTRY control (Left lane) or pCMV6-ENTRY IKBKE.
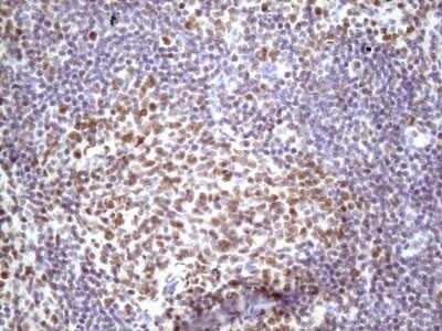
Immunohistochemistry: IKK epsilon/IKBKE Antibody (OTI3C5) - Azide and BSA Free [NBP2-71490]

Immunohistochemistry: IKK epsilon/IKBKE Antibody (OTI3C5) - Azide and BSA Free [NBP2-71490]

Immunohistochemistry: IKK epsilon/IKBKE Antibody (OTI3C5) - Azide and BSA Free [NBP2-71490] - Analysis of Human lymphoma tissue. (Heat-induced epitope retrieval by 1 mM EDTA in 10mM Tris, pH8.5, 120C for 3min)
Immunohistochemistry: IKK epsilon/IKBKE Antibody (OTI3C5) - Azide and BSA Free [NBP2-71490]

Immunohistochemistry: IKK epsilon/IKBKE Antibody (OTI3C5) - Azide and BSA Free [NBP2-71490]

Immunohistochemistry: IKK epsilon/IKBKE Antibody (OTI3C5) - Azide and BSA Free [NBP2-71490] - Analysis of Adenocarcinoma of Human breast tissue. (Heat-induced epitope retrieval by 1 mM EDTA in 10mM Tris, pH8.5, 120C for 3min)

Applications for IKK epsilon/IKBKE Antibody (OTI3C5) - Azide and BSA Free

Application
Recommended Usage

Immunohistochemistry

1:150

Western Blot

1:2000

Formulation, Preparation, and Storage

Purification

Immunogen affinity purified

Reconstitution

we recommend adding 100uL distilled water to a final antibody concentration of about 1 mg/mL. To use this carrier-free antibody for conjugation experiment, we strongly recommend performing another round of desalting process.

Formulation

Lyophilized from PBS (pH 7.3) with 8% Trehalose

Format

Azide and BSA Free

Preservative

No Preservative

Concentration

LYOPH mg/ml

Shipping

The product is shipped with polar packs. Upon receipt, store it immediately at the temperature recommended below.

Stability & Storage

Store at -20C. Avoid freeze-thaw cycles.

Background: IKK epsilon

Nuclear Factor kappa B (NF-kB) is a ubiquitous transcription factor and an essential mediator of gene expression during the activation of immune and inflammatory responses. NF-kB mediates the expression of a great variety of genes in response to extracellular stimuli. NF-kB is associated with IkB proteins in the cytoplasm of the cell, which inhibit NF-kB activity. IkB proteins are phosphorylated by an IkB kinase complex consisting of at least three proteins, IKKa, IKKb, and IKKg. Isolated from a cDNA library of LPS-stimulated mouse macrophage cells, a novel molecule in the IKK complex has been recently identified and designated IKKi and/or IKKe. IKKe is required for the activation of NF-kB by mitogens and T cell receptors but not by TNFa or IL-1. LPS increases the IKKe mRNA level in mouse macrophage cell lines. This protein has significant sequence homology with kinase domains of IKKa and IKKb. Overexpression of wild type IKKe in cells phosphorylates Ser32 and Ser36 of IkBa.

Long Name

IkB Kinase epsilon

Alternate Names

IKBKE, IKK-I

Gene Symbol

IKBKE

Additional IKK epsilon Products

Product Documents for IKK epsilon/IKBKE Antibody (OTI3C5) - Azide and BSA Free

Certificate of Analysis

To download a Certificate of Analysis, please enter a lot number in the search box below.

Product Specific Notices for IKK epsilon/IKBKE Antibody (OTI3C5) - Azide and BSA Free

This product is for research use only and is not approved for use in humans or in clinical diagnosis. Primary Antibodies are guaranteed for 1 year from date of receipt.

Loading...
Loading...
Loading...
Loading...
Loading...