Skip to main content

IKB zeta Antibody - BSA Free

Novus Biologicals, part of Bio-Techne | Catalog # NBP3-47347

Novus Biologicals, part of Bio-Techne
Catalog #
Availability
Size / Price
Qty
Loading...
NBP3-47347

Key Product Details

Species Reactivity

Human, Mouse, Rat

Applications

Immunohistochemistry, Western Blot, ELISA

Label

Unconjugated

Antibody Source

Polyclonal Rabbit IgG

Format

BSA Free

Concentration

Please see the vial label for concentration. If unlisted please contact technical services.

Product Specifications

Immunogen

nuclear factor of kappa light polypeptide gene enhancer in B-cells inhibitor, zeta. (Uniprot# Q9BYH8)

Clonality

Polyclonal

Host

Rabbit

Isotype

IgG

Theoretical MW

64 kDa.
Disclaimer note: The observed molecular weight of the protein may vary from the listed predicted molecular weight due to post translational modifications, post translation cleavages, relative charges, and other experimental factors.

Description

Novus Biologicals Rabbit IKB zeta Antibody - BSA Free (NBP3-47347) is a polyclonal antibody validated for use in IHC, WB and ELISA. All Novus Biologicals antibodies are covered by our 100% guarantee.

Scientific Data Images for IKB zeta Antibody - BSA Free

IKB zeta Antibody - BSA Free

Western Blot: IKB zeta Antibody - BSA Free [NBP3-47347] -

Western Blot: IKB zeta Antibody - BSA Free [NBP3-47347] - HeLa cells were subjected to SDS PAGE followed by western blot with (IKB zeta antibody) at dilution of 1:600
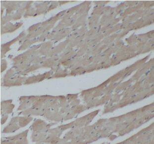
IKB zeta Antibody - BSA Free

Immunohistochemistry: IKB zeta Antibody - BSA Free [NBP3-47347] -

Immunohistochemistry: IKB zeta Antibody - BSA Free [NBP3-47347] - Immunohistochemistry of paraffin-embedded mouse heart using (IKB zeta antibody) at dilution of 1:50

Applications for IKB zeta Antibody - BSA Free

Application
Recommended Usage

Immunohistochemistry

1:50 - 1:200

Western Blot

1:500 - 1:2000

Formulation, Preparation, and Storage

Purification

Immunogen affinity purified

Formulation

PBS, 50% Glycerol, pH (7.3)

Format

BSA Free

Preservative

0.02% Sodium Azide

Concentration

Please see the vial label for concentration. If unlisted please contact technical services.

Shipping

The product is shipped with polar packs. Upon receipt, store it immediately at the temperature recommended below.

Stability & Storage

Store at -20C. Avoid freeze-thaw cycles.

Background: IKB zeta

IkappaBzeta (also known as MAIL and INAP) is an ankyrin-repeat-containing nuclear protein that is highly homologous to the IkappaB family member Bcl-3. Transcription of IkappaBzeta is upregulated by stimulation with TLR ligands, IL-1 and IL-6 in cultured B-lymphocytes and monocytes/macrophages, but only faintly so in T-lymphocytes, fibroblasts, and endothelial cells. IkappaB-zeta preferentially associates with the NF-kappaB subunit p50 rather than p65 and recombinant IkappaB-zeta proteins inhibit the DNA binding of the p65/p50 heterodimer and the p50/p50 homodimer.

Alternate Names

FLJ30225, FLJ34463, IkappaBzeta, I-kappa-B-zeta, IkappaB-zeta, ikbzeta, IkB-zeta, IL-1 inducible nuclear ankyrin-repeat protein, INAPIkappa B-zeta variant 3, MAILIKBZikB-zeta, Molecule possessing ankyrin repeats induced by lipopolysaccharide, NF-kappa-B inhibitor zeta, nuclear factor of kappa light polypeptide gene enhancer in B-cells inhibitor

Gene Symbol

NFKBIZ

Additional IKB zeta Products

Product Documents for IKB zeta Antibody - BSA Free

Certificate of Analysis

To download a Certificate of Analysis, please enter a lot number in the search box below.

Product Specific Notices for IKB zeta Antibody - BSA Free

This product is for research use only and is not approved for use in humans or in clinical diagnosis. Primary Antibodies are guaranteed for 1 year from date of receipt.

Loading...
Loading...
Loading...
Loading...