Skip to main content

IGFBP-2 Antibody (CL13563) - Azide and BSA Free

Novus Biologicals, part of Bio-Techne | Catalog # NBP3-43841

Novus Biologicals, part of Bio-Techne

Key Product Details

Validated by

Orthogonal Validation

Species Reactivity

Human

Applications

Immunohistochemistry-Paraffin, Western Blot

Label

Unconjugated

Antibody Source

Monoclonal Mouse IgG1 Clone # CL13563

Format

Azide and BSA Free

Concentration

LYOPH mg/ml

Product Specifications

Immunogen

This antibody was generated using a synthetic peptide of P18065, with the exact immunogen sequence remaining proprietary.

Clonality

Monoclonal

Host

Mouse

Isotype

IgG1

Description

Novus Biologicals Mouse IGFBP-2 Antibody (CL13563) - Azide and BSA Free (NBP3-24568) is a monoclonal antibody validated for use in IHC and WB. All Novus Biologicals antibodies are covered by our 100% guarantee.

Scientific Data Images for IGFBP-2 Antibody (CL13563) - Azide and BSA Free

IGFBP-2 Antibody (CL13563) - Azide and BSA Free Immunohistochemistry-Paraffin: IGFBP-2 Antibody [NBP3-43841]

Immunohistochemistry-Paraffin: IGFBP-2 Antibody [NBP3-43841]

Staining of human anaplastic oligodendroglioma shows strong membranous positivity in tumor cells.
IGFBP-2 Antibody (CL13563) - Azide and BSA Free Immunohistochemistry-Paraffin: IGFBP-2 Antibody [NBP3-43841]

Immunohistochemistry-Paraffin: IGFBP-2 Antibody [NBP3-43841]

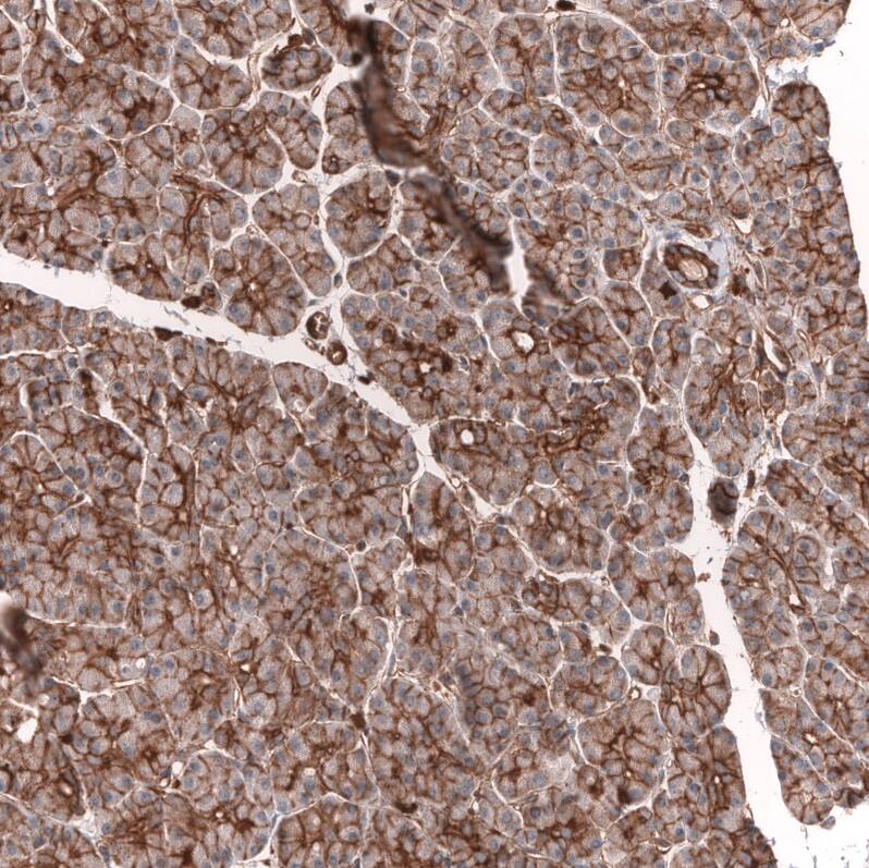
Analysis in human pancreas and skin tissues using NBP3-43841 antibody. Corresponding IGFBP-2 RNA-seq data are presented for the same tissues.
IGFBP-2 Antibody (CL13563) - Azide and BSA Free Immunohistochemistry-Paraffin: IGFBP-2 Antibody [NBP3-43841]

Immunohistochemistry-Paraffin: IGFBP-2 Antibody [NBP3-43841]

Staining of human endometrial cancer shows strong membranous positivity in tumor cells.

Applications for IGFBP-2 Antibody (CL13563) - Azide and BSA Free

Application
Recommended Usage

Immunohistochemistry-Paraffin

1:10000 - 1:20000

Western Blot

1 ug/ml
Application Notes
For IHC-Paraffin, we recommend using Heat-Induced Epitope Retrieval (HIER) with a pH level of 6. This optimized retrieval method ensures the best results for your experiments.

Formulation, Preparation, and Storage

Purification

Protein A purified

Reconstitution

Centrifuge the vial of lyophilized antibody at 12,000 x g for 20 seconds. Reconstitute by adding sterile, distilled water to achieve a final antibody concentration of 1mg/ml.

Formulation

Lyophilized from a 0.2 um filtered solution in PBS with Trehalose

Format

Azide and BSA Free

Preservative

No Preservative

Concentration

LYOPH mg/ml

Shipping

The product is shipped at ambient temperature. Upon receipt, store it immediately at the temperature recommended below.

Stability & Storage

Store at 4C short term. Aliquot and store at -20C long term. Avoid freeze-thaw cycles.

Background: IGFBP-2

IGFBP2 is a member of the ISGBP family which bind various IGFs. IGFBP2 is over expressed in a wide spectrum of other cancers, including glioma, prostate cancer, synovial sarcoma, neuroblastoma, colon cancer, adrenocortical cancer, lung cancer, Wilms' tumor, and hepatoblastoma. The over expression of IGFBP2 also correlates with the aggressiveness of some tumors. IGFBP2 activates the expression of matrix metalloprotease 2, which contributes to cell invasiveness.

Long Name

Insulin-like Growth Factor Binding Protein 2

Alternate Names

IGFBP2

Gene Symbol

IGFBP2

Additional IGFBP-2 Products

Product Documents for IGFBP-2 Antibody (CL13563) - Azide and BSA Free

Certificate of Analysis

To download a Certificate of Analysis, please enter a lot number in the search box below.

Product Specific Notices for IGFBP-2 Antibody (CL13563) - Azide and BSA Free

This product is for research use only and is not approved for use in humans or in clinical diagnosis. Primary Antibodies are guaranteed for 1 year from date of receipt.

Loading...
Loading...
Loading...
Loading...
Loading...