Skip to main content

IgA Antibody (JM10-42)

Novus Biologicals, part of Bio-Techne | Catalog # NBP2-66901

Recombinant Monoclonal Antibody
Novus Biologicals, part of Bio-Techne
Catalog #
Availability
Size / Price
Qty
Loading...
NBP2-66901

Key Product Details

Species Reactivity

Human

Applications

Immunohistochemistry, Immunohistochemistry-Paraffin, Western Blot, Immunocytochemistry/ Immunofluorescence, Immunoprecipitation

Label

Unconjugated

Antibody Source

Recombinant Monoclonal Rabbit IgG Clone # JM10-42 expressed in HEK293

Concentration

1 mg/ml

Product Specifications

Immunogen

Recombinant full length protein of Human IgA aa 1-353 / 353. (SwissProt: P01876 Human; SwissProt: P01877 Human)

Localization

Cell membrane, Secreted.

Clonality

Monoclonal

Host

Rabbit

Isotype

IgG

Description

Novus Biologicals Rabbit IgA Antibody (JM10-42) (NBP2-66901) is a recombinant monoclonal antibody validated for use in IHC, WB, ICC/IF and IP. All Novus Biologicals antibodies are covered by our 100% guarantee.

Scientific Data Images for IgA Antibody (JM10-42)

Western Blot: IgA Antibody (JM10-42) [NBP2-66901]

Western Blot: IgA Antibody (JM10-42) [NBP2-66901]

Western Blot: IgA Antibody (JM10-42) [NBP2-66901] - Analysis of IgA on human plasma lysates using anti-IgA antibody at 1/1,000 dilution.
Immunocytochemistry/ Immunofluorescence: IgA Antibody (JM10-42) [NBP2-66901]

Immunocytochemistry/ Immunofluorescence: IgA Antibody (JM10-42) [NBP2-66901]

Immunocytochemistry/Immunofluorescence: IgA Antibody (JM10-42) [NBP2-66901] - Staining IgA in HepG2 cells (red). The nuclear counter stain is DAPI (blue). Cells were fixed in paraformaldehyde, permeabilised with 0.25% Triton X100/PBS.
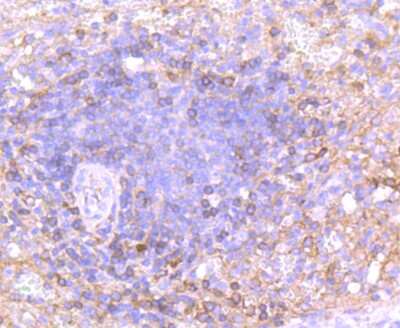
Immunohistochemistry-Paraffin: IgA Antibody (JM10-42) [NBP2-66901]

Immunohistochemistry-Paraffin: IgA Antibody (JM10-42) [NBP2-66901]

Immunohistochemistry-Paraffin: IgA Antibody (JM10-42) [NBP2-66901] - Analysis of paraffin-embedded human tonsil tissue using anti-IgA antibody. Counter stained with hematoxylin.

Applications for IgA Antibody (JM10-42)

Application
Recommended Usage

Immunocytochemistry/ Immunofluorescence

1:50-1:200

Immunohistochemistry-Paraffin

1:50-1:200

Western Blot

1:1000

Formulation, Preparation, and Storage

Purification

Protein A purified

Formulation

TBS (pH7.4), 0.05% BSA, 40% Glycerol

Preservative

0.05% Sodium Azide

Concentration

1 mg/ml

Shipping

The product is shipped with polar packs. Upon receipt, store it immediately at the temperature recommended below.

Stability & Storage

Store at 4C short term. Aliquot and store at -20C long term. Avoid freeze-thaw cycles.

Background: IgA

Ig alpha is the major immunoglobulin class in body secretions. It may serve both to defend against local infection and to prevent access of foreign antigens to the general immunologic system. The most common feature of plasmacytomas, and certain non Hodgkin's lymphomas is the restricted expression of a single heavy chain class. Demonstration of clonality in lymphoid infiltrates indicates that the infiltrate is clonal and therefore malignant. This antibody is useful in the identification of leukemias, plasmacytomas, and certain non Hodgkin's lymphomas.

Long Name

Immunoglobulin A

Alternate Names

Immunoglobulin A

Gene Symbol

IGHA1

Additional IgA Products

Product Documents for IgA Antibody (JM10-42)

Certificate of Analysis

To download a Certificate of Analysis, please enter a lot number in the search box below.

Product Specific Notices for IgA Antibody (JM10-42)

This product is for research use only and is not approved for use in humans or in clinical diagnosis. Primary Antibodies are guaranteed for 1 year from date of receipt.

Loading...
Loading...
Loading...
Loading...