Skip to main content

IFT20 Antibody - BSA Free

Novus Biologicals, part of Bio-Techne | Catalog # NBP2-98642

Novus Biologicals, part of Bio-Techne

Key Product Details

Species Reactivity

Human

Applications

Immunohistochemistry, Immunohistochemistry-Paraffin, Immunoprecipitation, Western Blot

Label

Unconjugated

Antibody Source

Polyclonal Rabbit IgG

Format

BSA Free

Concentration

Please see the vial label for concentration. If unlisted please contact technical services.

Product Specifications

Immunogen

Produced in rabbits immunized with E. coli-derived Human IFT20 fragment.

Clonality

Polyclonal

Host

Rabbit

Isotype

IgG

Description

This antibody can be stored at 2C to 8C for one month without detectable loss of activity. Antibody products are stable for twelve months from date of receipt when stored at -20C to -80C. Avoid repeated freeze-thaw cycles.

Scientific Data Images for IFT20 Antibody - BSA Free

Western Blot: IFT20 Antibody [NBP2-98642]

Western Blot: IFT20 Antibody [NBP2-98642]

Western Blot: IFT20 Antibody [NBP2-98642] - Anti-IFT20 rabbit polyclonal antibody at 1:500 dilution. Lane A: U-251 MG Whole Cell Lysate. Lysates/proteins at 30 ug per lane. Secondary Goat Anti-Rabbit IgG (H+L)/HRP at 1/10000 dilution. Developed using the ECL technique. Performed under reducing conditions. Predicted band size: 15 kDa. Observed band size: 17 kDa
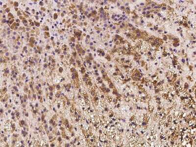
Immunohistochemistry-Paraffin: IFT20 Antibody [NBP2-98642]

Immunohistochemistry-Paraffin: IFT20 Antibody [NBP2-98642]

Immunohistochemistry-Paraffin: IFT20 Antibody [NBP2-98642] - Staining of human IFT20 in human adrenal gland with rabbit polyclonal antibody at 1:100 dilution.
Immunoprecipitation: IFT20 Antibody [NBP2-98642]

Immunoprecipitation: IFT20 Antibody [NBP2-98642]

Immunoprecipitation: IFT20 Antibody [NBP2-98642] - IFT20 was immunoprecipitated using: Lane A: 0.5 mg U-251 MG Whole Cell Lysate. 4 ul anti-IFT20 rabbit polyclonal antibody and 60 ug of Immunomagnetic beads. Protein A/G. Primary antibody: Anti-IFT20 rabbit polyclonal antibody, at 1:100 dilution. Secondary antibody: Goat Anti-Rabbit IgG (H+L)/HRP at 1/10000 dilution. Developed using the ECL technique. Performed under reducing conditions. Predicted band size: 15 kDa. Observed band size: 15 kDa

Applications for IFT20 Antibody - BSA Free

Application
Recommended Usage

Immunohistochemistry

1:50-1:200

Immunohistochemistry-Paraffin

1:50-1:200

Immunoprecipitation

5-10uL/mg of lysate

Western Blot

1:500-1:2000

Formulation, Preparation, and Storage

Purification

Antigen and protein A Affinity-purified

Formulation

PBS

Format

BSA Free

Preservative

0.03% Proclin 300

Concentration

Please see the vial label for concentration. If unlisted please contact technical services.

Shipping

The product is shipped with polar packs. Upon receipt, store it immediately at the temperature recommended below.

Stability & Storage

Store at 4C short term. Aliquot and store at -20C long term. Avoid freeze-thaw cycles.

Background: IFT20

Part of intraflagellar transport (IFT) particles involved in ciliary process assembly. May play a role in thetrafficking of ciliary membrane proteins from the Golgi complex to the cilium

Alternate Names

hIFT20, intraflagellar transport 20 homolog (Chlamydomonas), intraflagellar transport protein 20 homolog, intraflagellar transport protein IFT20

Gene Symbol

IFT20

Additional IFT20 Products

Product Documents for IFT20 Antibody - BSA Free

Certificate of Analysis

To download a Certificate of Analysis, please enter a lot number in the search box below.

Product Specific Notices for IFT20 Antibody - BSA Free

This product is for research use only and is not approved for use in humans or in clinical diagnosis. Primary Antibodies are guaranteed for 1 year from date of receipt.

Loading...
Loading...
Loading...
Loading...