Skip to main content

IFI35 Antibody (OTI1C9)

Novus Biologicals, part of Bio-Techne | Catalog # NBP2-01108

Novus Biologicals, part of Bio-Techne
Catalog #
Availability
Size / Price
Qty
Loading...
NBP2-01108

Key Product Details

Species Reactivity

Human

Applications

Flow Cytometry, Immunocytochemistry/ Immunofluorescence, Immunohistochemistry, Immunohistochemistry-Paraffin, Western Blot

Label

Unconjugated

Antibody Source

Monoclonal Mouse IgG2A Clone # OTI1C9

Concentration

0.4 mg/ml

Product Specifications

Immunogen

Full length human recombinant protein of human IFI35(NP_005524)produced in HEk293T cell

Clonality

Monoclonal

Host

Mouse

Isotype

IgG2A

Theoretical MW

31.6 kDa.
Disclaimer note: The observed molecular weight of the protein may vary from the listed predicted molecular weight due to post translational modifications, post translation cleavages, relative charges, and other experimental factors.

Description

Novus Biologicals Mouse IFI35 Antibody (OTI1C9) (NBP2-01108) is a monoclonal antibody validated for use in IHC, WB, Flow and ICC/IF. All Novus Biologicals antibodies are covered by our 100% guarantee.

Scientific Data Images for IFI35 Antibody (OTI1C9)

Western Blot: IFI35 Antibody (OTI1C9) [NBP2-01108]

Western Blot: IFI35 Antibody (OTI1C9) [NBP2-01108]

Western Blot: IFI35 Antibody (1C9) [NBP2-01108] - HEK293T cells were transfected with the pCMV6-ENTRY control (Left lane) or pCMV6-ENTRY IFI35 (Right lane) cDNA for 48 hrs and lysed. Equivalent amounts of cell lysates (5 ug per lane) were separated by SDS-PAGE and immunoblotted with anti-IFI35.
Immunocytochemistry/Immunofluorescence: IFI35 Antibody (1C9) [NBP2-01108] Staining of COS7 cells transiently transfected by pCMV6-ENTRY IFI35.
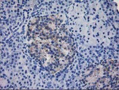
Immunohistochemistry-Paraffin: IFI35 Antibody (OTI1C9) [NBP2-01108]

Immunohistochemistry-Paraffin: IFI35 Antibody (OTI1C9) [NBP2-01108]

Immunohistochemistry-Paraffin: IFI35 Antibody (1C9) [NBP2-01108] - Staining of paraffin-embedded Human pancreas tissue using anti-IFI35 mouse monoclonal antibody.

Applications for IFI35 Antibody (OTI1C9)

Application
Recommended Usage

Flow Cytometry

1:100

Immunocytochemistry/ Immunofluorescence

1:100

Immunohistochemistry

1:150

Immunohistochemistry-Paraffin

1:150

Western Blot

1:2000

Formulation, Preparation, and Storage

Purification

Immunogen affinity purified

Formulation

PBS (pH 7.3), 1.0% BSA and 50% Glycerol

Preservative

0.02% Sodium Azide

Concentration

0.4 mg/ml

Shipping

The product is shipped with polar packs. Upon receipt, store it immediately at the temperature recommended below.

Stability & Storage

Store at -20C. Avoid freeze-thaw cycles.

Background: IFI35

IFI35, also known as Interferon-induced 35 kDa protein, consists of 2 isoforms, a 286 amino acid isoform 1 that is 31.5 kDa and a 188 amino acid isoform that is 32 kDa, has nucleus subcellular location and can be found in a wide range of cell types, including fibroblasts, macrophages, and epithelial cells. Its function is not yet known. Studies of this protein are being performed on research about diverticulitis and ovarian cancer. This protein plays a role in interferon alpha/beta signaling, cytokine signaling in immune system, expression of IFN-induced genes, interferon signaling, and immune system pathways where it interacts with CLEC4G, BATF, PLEKHO1, NMI, and MAPK1.

Alternate Names

FLJ21753, Ifi-35, IFP 35, IFP35interferon-induced 35 kDa protein, interferon-induced protein 35

Entrez Gene IDs

3430 (Human)

Gene Symbol

IFI35

Additional IFI35 Products

Product Documents for IFI35 Antibody (OTI1C9)

Certificate of Analysis

To download a Certificate of Analysis, please enter a lot number in the search box below.

Product Specific Notices for IFI35 Antibody (OTI1C9)

This product is for research use only and is not approved for use in humans or in clinical diagnosis. Primary Antibodies are guaranteed for 1 year from date of receipt.

Loading...
Loading...
Loading...
Loading...
Loading...