Skip to main content

ICA1 Antibody - BSA Free

Novus Biologicals, part of Bio-Techne | Catalog # NBP1-83124

Novus Biologicals, part of Bio-Techne
Catalog #
Availability
Size / Price
Qty
Loading...
NBP1-83124
NBP1-83124-25ul

Key Product Details

Species Reactivity

Human

Applications

Immunohistochemistry, Immunohistochemistry-Paraffin, Western Blot

Label

Unconjugated

Antibody Source

Polyclonal Rabbit IgG

Format

BSA Free

Concentration

Concentrations vary lot to lot. See vial label for concentration. If unlisted please contact technical services.

Product Specifications

Immunogen

This antibody was developed against Recombinant Protein corresponding to amino acids: DELLDMKSEEGACLGPVAGTPEPEGADKDDLLLLSEIFNASSLEEGEFSKEWAAVFGDGQVKEPVPTMALGEPDPKAQTGSGFLPSQLLDQNMKDLQASLQEPAKAASDLTAWFSLFADLDPLSNPDAVGKTDKEHELL

Reactivity Notes

Immunogen displays the following percentage of sequence identity for non-tested species: Mouse (86%), Rat (84%). Reactivity reported in scientific literature (PMID: 23435261)

Clonality

Polyclonal

Host

Rabbit

Isotype

IgG

Description

Novus Biologicals Rabbit ICA1 Antibody - BSA Free (NBP1-83124) is a polyclonal antibody validated for use in IHC and WB. Anti-ICA1 Antibody: Cited in 1 publication. All Novus Biologicals antibodies are covered by our 100% guarantee.

Scientific Data Images for ICA1 Antibody - BSA Free

Western Blot: ICA1 Antibody [NBP1-83124]

Western Blot: ICA1 Antibody [NBP1-83124]

Western Blot: ICA1 Antibody [NBP1-83124] - Lane 1: Marker [kDa] 230, 130, 95, 72, 56, 36, 28, 17, 11. Lane 2: Human cell line RT-4. Lane 3: Human cell line U-251MG sp. Lane 4: Human plasma (IgG/HSA depleted). Lane 5: Human liver tissue. Lane 6: Human tonsil tissue
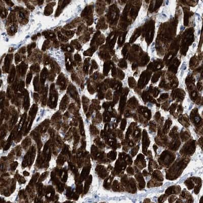
Immunohistochemistry-Paraffin: ICA1 Antibody [NBP1-83124]

Immunohistochemistry-Paraffin: ICA1 Antibody [NBP1-83124]

Immunohistochemistry-Paraffin: ICA1 Antibody [NBP1-83124] - Staining of human heart muscle shows strong cytoplasmic positivity in myocytes.

Applications for ICA1 Antibody - BSA Free

Application
Recommended Usage

Immunohistochemistry

1:200 - 1:500

Immunohistochemistry-Paraffin

1:200 - 1:500

Western Blot

0.04-0.4 ug/ml
Application Notes
For IHC-Paraffin, HIER pH 6 retrieval is recommended.

Formulation, Preparation, and Storage

Purification

Affinity purified

Formulation

PBS (pH 7.2) and 40% Glycerol

Format

BSA Free

Preservative

0.02% Sodium Azide

Concentration

Concentrations vary lot to lot. See vial label for concentration. If unlisted please contact technical services.

Shipping

The product is shipped with polar packs. Upon receipt, store it immediately at the temperature recommended below.

Stability & Storage

Store at 4C short term. Aliquot and store at -20C long term. Avoid freeze-thaw cycles.

Background: ICA1

ICA1 is a gene that codes for a protein that is an autoantigen and may play a role in neurotransmitter secretion and is expressed abundantly in the pancreas, heart and brain, with a length of 483 amino acids and a weight of approximately 55 kDa. Current studies are being done on several diseases and disorders related to this gene including diabetes mellitus, Sjogren's syndrome, rehumatiod arthritis, insulinoma, vitiligo, and thyroiditis. ICA1 has also been shown to have interactions with KRT33B, STK16, CNTF, MKKS, and MYC in pathways such as the type 1 diabetes mellitus pathways.

Long Name

Islet Cell Autoantigen 1

Alternate Names

ICAp69

Gene Symbol

ICA1

Additional ICA1 Products

Product Documents for ICA1 Antibody - BSA Free

Certificate of Analysis

To download a Certificate of Analysis, please enter a lot number in the search box below.

Product Specific Notices for ICA1 Antibody - BSA Free

This product is for research use only and is not approved for use in humans or in clinical diagnosis. Primary Antibodies are guaranteed for 1 year from date of receipt.

Loading...
Loading...
Loading...
Loading...