Skip to main content

IBRDC2 Antibody (OTI9H10)

Novus Biologicals, part of Bio-Techne | Catalog # NBP2-02128

Novus Biologicals, part of Bio-Techne
Catalog #
Availability
Size / Price
Qty
Loading...
NBP2-02128

Key Product Details

Species Reactivity

Human, Mouse, Rat

Applications

Immunohistochemistry, Immunohistochemistry-Paraffin, Western Blot, Flow Cytometry, Immunocytochemistry/ Immunofluorescence

Label

Unconjugated

Antibody Source

Monoclonal Mouse IgG2B Clone # OTI9H10

Concentration

0.8 mg/ml

Product Specifications

Immunogen

Human recombinant protein fragment corresponding to amino acids 1-256 of human RNF144B (NP_877434) produced in E. coli.

Reactivity Notes

Please note that this antibody is reactive to Mouse and derived from the same host, Mouse. Mouse-On-Mouse blocking reagent may be needed for IHC and ICC experiments to reduce high background signal. You can find these reagents under catalog numbers PK-2200-NB and MP-2400-NB. Please contact Technical Support if you have any questions.

Clonality

Monoclonal

Host

Mouse

Isotype

IgG2B

Theoretical MW

33.5 kDa.
Disclaimer note: The observed molecular weight of the protein may vary from the listed predicted molecular weight due to post translational modifications, post translation cleavages, relative charges, and other experimental factors.

Description

Novus Biologicals Mouse IBRDC2 Antibody (OTI9H10) (NBP2-02128) is a monoclonal antibody validated for use in IHC, WB, Flow and ICC/IF. All Novus Biologicals antibodies are covered by our 100% guarantee.

Scientific Data Images for IBRDC2 Antibody (OTI9H10)

Western Blot: IBRDC2 Antibody (OTI9H10) [NBP2-02128]

Western Blot: IBRDC2 Antibody (OTI9H10) [NBP2-02128]

Western Blot: IBRDC2 Antibody (9H10) [NBP2-02128] - HEK293T cells were transfected with the pCMV6-ENTRY control (Left lane) or pCMV6-ENTRY IBRDC2 (Right lane) cDNA for 48 hrs and lysed. Equivalent amounts of cell lysates (5 ug per lane) were separated by SDS-PAGE and immunoblotted with anti-IBRDC2.
Immunocytochemistry/Immunofluorescence: IBRDC2 Antibody (9H10) [NBP2-02128] Staining of COS7 cells transiently transfected by pCMV6-ENTRY IBRDC2.
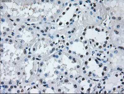
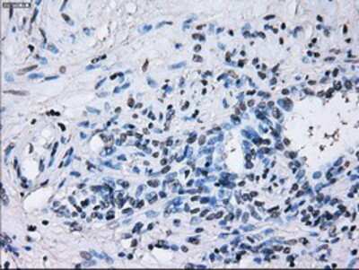
Immunohistochemistry-Paraffin: IBRDC2 Antibody (OTI9H10) [NBP2-02128]

Immunohistochemistry-Paraffin: IBRDC2 Antibody (OTI9H10) [NBP2-02128]

Immunohistochemistry-Paraffin: IBRDC2 Antibody (9H10) [NBP2-02128] - Staining of paraffin-embedded Human prostate tissue using anti-IBRDC2 mouse monoclonal antibody.

Applications for IBRDC2 Antibody (OTI9H10)

Application
Recommended Usage

Flow Cytometry

1:100

Immunocytochemistry/ Immunofluorescence

1:50-100

Immunohistochemistry

1:50

Immunohistochemistry-Paraffin

1:50

Western Blot

1:2000

Formulation, Preparation, and Storage

Purification

Immunogen affinity purified

Formulation

PBS (pH 7.3), 1.0% BSA and 50% Glycerol

Preservative

0.02% Sodium Azide

Concentration

0.8 mg/ml

Shipping

The product is shipped with polar packs. Upon receipt, store it immediately at the temperature recommended below.

Stability & Storage

Store at -20C. Avoid freeze-thaw cycles.

Background: IBRDC2

E3 ubiquitin-protein ligase which accepts ubiquitin from E2 ubiquitin-conjugating enzymes UBE2L3 and UBE2L6in the form of a thioester and then directly transfers the ubiquitin to targeted substrates such as LCMT2, therebypromoting their degradation. Induces apoptosis via a TP53/p53-dependent but caspase-independent mechanism

Alternate Names

bA528A10.3, E3 ubiquitin-protein ligase RNF144B, EC 6.3.2, EC 6.3.2.-, IBR domain containing 2, IBR domain-containing protein 2, IBRDC2, KIAA0161, p53-inducible RING finger protein, p53RFP, PIR2, ring finger protein 144BMGC71786

Entrez Gene IDs

255488 (Human)

Gene Symbol

RNF144B

Additional IBRDC2 Products

Product Documents for IBRDC2 Antibody (OTI9H10)

Certificate of Analysis

To download a Certificate of Analysis, please enter a lot number in the search box below.

Product Specific Notices for IBRDC2 Antibody (OTI9H10)

This product is for research use only and is not approved for use in humans or in clinical diagnosis. Primary Antibodies are guaranteed for 1 year from date of receipt.

Loading...
Loading...
Loading...
Loading...
Loading...