Skip to main content

HUWE1 Antibody - BSA Free

Novus Biologicals, part of Bio-Techne | Catalog # NB100-652

Novus Biologicals, part of Bio-Techne

Key Product Details

Species Reactivity

Validated:

Human, Mouse

Cited:

Human, Mouse

Applications

Validated:

Immunohistochemistry, Immunohistochemistry-Paraffin, Western Blot, Immunocytochemistry/ Immunofluorescence, Immunoprecipitation

Cited:

Western Blot, Immunocytochemistry/ Immunofluorescence, Immunoprecipitation

Label

Unconjugated

Antibody Source

Polyclonal Rabbit IgG

Format

BSA Free

Concentration

1.0 mg/ml

Product Specifications

Immunogen

The immunogen this antibody was made to, maps to a region between residues 2250 and 2300 of human Upstream Regulatory Element Binding Protein 1 using the numbering given in entry NP_113584.3 (GeneID 10075).

Reactivity Notes

Mouse reactivity reported in scientific literature (PMID:31959916).

Clonality

Polyclonal

Host

Rabbit

Isotype

IgG

Theoretical MW

481 kDa.
Disclaimer note: The observed molecular weight of the protein may vary from the listed predicted molecular weight due to post translational modifications, post translation cleavages, relative charges, and other experimental factors.

Description

Novus Biologicals Rabbit HUWE1 Antibody - BSA Free (NB100-652) is a polyclonal antibody validated for use in IHC, WB, ICC/IF and IP. Anti-HUWE1 Antibody: Cited in 20 publications. All Novus Biologicals antibodies are covered by our 100% guarantee.

Scientific Data Images for HUWE1 Antibody - BSA Free

Western Blot: HUWE1 Antibody [NB100-652]

Western Blot: HUWE1 Antibody [NB100-652]

Western Blot: HUWE1 Antibody [NB100-652] - Whole cell lysate (50 ug) from HeLa, 293T, and Jurkat cells prepared using NETN lysis buffer. Antibody: Affinity purified rabbit anti-Lasu1/Ureb1 antibody used for WB at 0.1 ug/ml. Detection: Chemiluminescence with an exposure time of 3seconds.
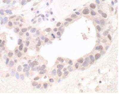
Immunohistochemistry-Paraffin: HUWE1 Antibody [NB100-652]

Immunohistochemistry-Paraffin: HUWE1 Antibody [NB100-652]

Immunohistochemistry-Paraffin: HUWE1 Antibody [NB100-652] - Section of human ovarian carcinoma. Antibody: Affinity purified rabbit antiLasu1/Ureb1 used at a dilution of 1:5,000 (0.2ug/ml). Detection: DAB.
Immunoprecipitation: HUWE1 Antibody [NB100-652]

Immunoprecipitation: HUWE1 Antibody [NB100-652]

Immunoprecipitation: HUWE1 Antibody [NB100-652] - Detection of human Lasu1/Ureb1 by western blot of immunoprecipitates. Samples: Whole cell lysate (1.0 mg per IP reaction; 20% of IP loaded) from HeLa cells prepared using NETN lysis buffer. Antibodies: Affinity purified rabbit anti-Lasu1/Ureb1 antibody NB100-652 (lot NB100-652-9) used for IP at 6 ug per reaction. Lasu1/Ureb1 was also immunoprecipitated by a previous lot of this antibody (lot NB100-652-8). For blotting immunoprecipitated Lasu1/Ureb1, NB100-652 was used at 1 ug/ml. Detection: Chemiluminescence with an exposure time of 1 second.

Applications for HUWE1 Antibody - BSA Free

Application
Recommended Usage

Immunocytochemistry/ Immunofluorescence

1:250 - 1:1000

Immunohistochemistry

1:1000-1:5000

Immunohistochemistry-Paraffin

1:1000-1:5000

Immunoprecipitation

2-10 ug/mg lysate

Western Blot

1:2000-1:10000
Application Notes
ICC/IF reactivity reported in (PMID: 27146073). Epitope retrieval with citrate buffer pH6.0 is recommended for FFPE tissue sections.

Formulation, Preparation, and Storage

Purification

Immunogen affinity purified

Formulation

Tris-Citrate/Phosphate (pH 7.0 - 8.0)

Format

BSA Free

Preservative

0.09% Sodium Azide

Concentration

1.0 mg/ml

Shipping

The product is shipped with polar packs. Upon receipt, store it immediately at the temperature recommended below.

Stability & Storage

Store at 4C. Do not freeze.

Background: HUWE1

ARFBP1 is a novel E3 ubiquitin ligase. It interacts with p19ARF and its ligase activity is inhibited by this interaction.

Alternate Names

arf-bp1, EC 6.3.2, EC 6.3.2.6, HECT, UBA and WWE domain containing 1, HECTH9, HSPC272, KIAA0312MULE, Mcl-1 ubiquitin ligase E3, Mule, UREB1UBA and WWE domain-containing protein 1, URE-binding protein 1

Entrez Gene IDs

10075 (Human)

Gene Symbol

HUWE1

Additional HUWE1 Products

Product Documents for HUWE1 Antibody - BSA Free

Certificate of Analysis

To download a Certificate of Analysis, please enter a lot number in the search box below.

Product Specific Notices for HUWE1 Antibody - BSA Free

This product is for research use only and is not approved for use in humans or in clinical diagnosis. Primary Antibodies are guaranteed for 1 year from date of receipt.

Loading...
Loading...
Loading...
Loading...
Loading...