Human ZMIZ1/Zimp10 Antibody
R&D Systems, part of Bio-Techne | Catalog # AF8107
Conjugate
Catalog #
Key Product Details
Species Reactivity
Human
Applications
Immunohistochemistry, Western Blot
Label
Unconjugated
Antibody Source
Polyclonal Sheep IgG
Product Specifications
Immunogen
E. coli-derived recombinant human ZMIZ1/Zimp10
Pro878-Ala981
Accession # Q9ULJ6
Pro878-Ala981
Accession # Q9ULJ6
Specificity
Detects human ZMIZ1/Zimp10 in direct ELISAs and Western blots.
Clonality
Polyclonal
Host
Sheep
Isotype
IgG
Scientific Data Images for Human ZMIZ1/Zimp10 Antibody
Detection of Human ZMIZ1/Zimp10 by Western Blot.
Western blot shows lysates of LNCaP human prostate cancer cell line. PVDF membrane was probed with 1 µg/mL of Sheep Anti-Human ZMIZ1/Zimp10 Antigen Affinity-purified Polyclonal Antibody (Catalog # AF8107) followed by HRP-conjugated Anti-Sheep IgG Secondary Antibody (Catalog # HAF016). A specific band was detected for ZMIZ1/Zimp10 at approximately 120-130 kDa (as indicated). This experiment was conducted under reducing conditions and using Immunoblot Buffer Group 1.ZMIZ1/Zimp10 in Human Ovary.
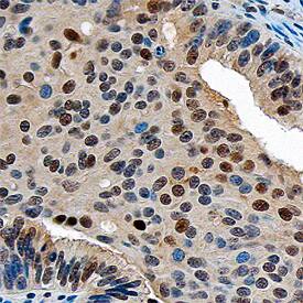
ZMIZ1/Zimp10 was detected in immersion fixed paraffin-embedded sections of human ovary using Sheep Anti-Human ZMIZ1/Zimp10 Antigen Affinity-purified Polyclonal Antibody (Catalog # AF8107) at 5 µg/mL overnight at 4 °C. Tissue was stained using the Anti-Sheep HRP-DAB Cell & Tissue Staining Kit (brown; Catalog # CTS019) and counterstained with hematoxylin (blue). Specific staining was localized to nuclei. View our protocol for Chromogenic IHC Staining of Paraffin-embedded Tissue Sections.Applications for Human ZMIZ1/Zimp10 Antibody
Application
Recommended Usage
Immunohistochemistry
5-15 µg/mL
Sample: Immersion fixed paraffin-embedded sections of human ovary
Sample: Immersion fixed paraffin-embedded sections of human ovary
Western Blot
1 µg/mL
Sample: LNCaP human prostate cancer cell line
Sample: LNCaP human prostate cancer cell line
Formulation, Preparation, and Storage
Purification
Antigen Affinity-purified
Reconstitution
Reconstitute at 0.2 mg/mL in sterile PBS. For liquid material, refer to CoA for concentration.
Formulation
Lyophilized from a 0.2 μm filtered solution in PBS with Trehalose. *Small pack size (SP) is supplied either lyophilized or as a 0.2 µm filtered solution in PBS.
Shipping
Lyophilized product is shipped at ambient temperature. Liquid small pack size (-SP) is shipped with polar packs. Upon receipt, store immediately at the temperature recommended below.
Stability & Storage
Use a manual defrost freezer and avoid repeated freeze-thaw cycles.
- 12 months from date of receipt, -20 to -70 °C as supplied.
- 1 month, 2 to 8 °C under sterile conditions after reconstitution.
- 6 months, -20 to -70 °C under sterile conditions after reconstitution.
Background: ZMIZ1/Zimp10
Long Name
Zinc Finger, MIZ-Type Containing 1
Alternate Names
KIAA1224, RAI17, TRAFIP10, Zimp10
Entrez Gene IDs
57178 (Human)
Gene Symbol
ZMIZ1
UniProt
Additional ZMIZ1/Zimp10 Products
Product Documents for Human ZMIZ1/Zimp10 Antibody
Product Specific Notices for Human ZMIZ1/Zimp10 Antibody
For research use only
Loading...
Loading...
Loading...
Loading...