Skip to main content

Key Product Details

Species Reactivity

Human

Applications

Immunohistochemistry, Western Blot, Simple Western

Label

Unconjugated

Antibody Source

Monoclonal Mouse IgG2B Clone # 986709

Product Specifications

Immunogen

Mouse myeloma cell line NS0-derived recombinant human VSIG1
Val22-Gly234
Accession # Q86XK7

Specificity

Detects human VSIG1 in direct ELISAs.

Clonality

Monoclonal

Host

Mouse

Isotype

IgG2B

Scientific Data Images for Human VSIG1 Antibody

Detection of Human VSIG1 antibody by Western Blot.

Detection of Human VSIG1 by Western Blot.

Western blot shows lysates of human stomach tissue and human testis tissue. PVDF membrane was probed with 2 µg/mL of Mouse Anti-Human VSIG1 Monoclonal Antibody (Catalog # MAB48182) followed by HRP-conjugated Anti-Mouse IgG Secondary Antibody (Catalog # HAF018). A specific band was detected for VSIG1 at approximately 50-65 kDa (as indicated). This experiment was conducted under reducing conditions and using Immunoblot Buffer Group 1.
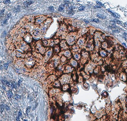
VSIG1 antibody in Human Testis by Immunohistochemistry (IHC-P).

VSIG1 in Human Testis.

VSIG1 was detected in immersion fixed paraffin-embedded sections of human testis using Mouse Anti-Human VSIG1 Monoclonal Antibody (Catalog # MAB48182) at 0.5 µg/mL for 1 hour at room temperature followed by incubation with the Anti-Mouse IgG VisUCyte™ HRP Polymer Antibody (Catalog # VC001). Before incubation with the primary antibody, tissue was subjected to heat-induced epitope retrieval using Antigen Retrieval Reagent-Basic (Catalog # CTS013). Tissue was stained using DAB (brown) and counterstained with hematoxylin (blue). Specific staining was localized to cell membrane in sperm cells. View our protocol for IHC Staining with VisUCyte HRP Polymer Detection Reagents.

Detection of Human VSIG1 by Simple WesternTM.

Simple Western lane view shows lysates of human stomach, loaded at 0.2 mg/mL. A specific band was detected for VSIG1 at approximately 56 kDa (as indicated) using 20 µg/mL of Mouse Anti-Human VSIG1 Monoclonal Antibody (Catalog # MAB48182). This experiment was conducted under reducing conditions and using the 12-230 kDa separation system.

Applications for Human VSIG1 Antibody

Application
Recommended Usage

Immunohistochemistry

0.5-25 µg/mL
Sample: Immersion fixed paraffin-embedded sections of human testis

Simple Western

20 µg/mL
Sample: Human stomach

Western Blot

2 µg/mL
Sample: Human stomach tissue and Human testis tissue

Formulation, Preparation, and Storage

Purification

Protein A or G purified from hybridoma culture supernatant

Reconstitution

Reconstitute at 0.5 mg/mL in sterile PBS. For liquid material, refer to CoA for concentration.

Reconstitution Buffer Available:
Size / Price
Qty
Loading...

Formulation

Lyophilized from a 0.2 μm filtered solution in PBS with Trehalose. *Small pack size (SP) is supplied either lyophilized or as a 0.2 µm filtered solution in PBS.

Shipping

Lyophilized product is shipped at ambient temperature. Liquid small pack size (-SP) is shipped with polar packs. Upon receipt, store immediately at the temperature recommended below.

Stability & Storage

Use a manual defrost freezer and avoid repeated freeze-thaw cycles.
  • 12 months from date of receipt, -20 to -70 °C as supplied.
  • 1 month, 2 to 8 °C under sterile conditions after reconstitution.
  • 6 months, -20 to -70 °C under sterile conditions after reconstitution.

Background: VSIG1

VSIG1 (V-set and Ig domain-containing protein 1; also Glycoprotein A34) is a variably glycosylated 55‑70 kDa member of the JAM family of proteins. It has restricted expression, being limited to testicular germ cells plus pancreatic duct and gastric epithelium. VSIG1 is likely to serve as an adhesion molecule. Mature human VSIG1 is 366 amino acids (aa) in length. It is a type I transmembrane glycoprotein that contains a 211 aa extracellular domain (ECD). The ECD contains one V-type (aa 22‑132) and one C2-type Ig-like domain (aa 140‑227). Over aa 22‑234, human VSIG1 is 83% aa identical to both mouse and canine VSIG1. At least one potential splice variant exists in human. It shows an insertion of 36 aa after Ser72 and a deletion of aa 133‑387.

Long Name

V-Set and Immunoglobulin Domain Containing 1

Alternate Names

GPA34

Entrez Gene IDs

340547 (Human); 78789 (Mouse); 315920 (Rat); 102123142 (Cynomolgus Monkey)

Gene Symbol

VSIG1

UniProt

Additional VSIG1 Products

Product Documents for Human VSIG1 Antibody

Certificate of Analysis

To download a Certificate of Analysis, please enter a lot number in the search box below.

Note: Certificate of Analysis not available for kit components.

Product Specific Notices for Human VSIG1 Antibody

For research use only

Loading...
Loading...
Loading...
Loading...