Skip to main content

Key Product Details

Species Reactivity

Validated:

Human

Cited:

Human, Hamster - Cricetulus (Chinese Hamster), Rabbit

Applications

Validated:

Immunohistochemistry, Neutralization

Cited:

Immunohistochemistry-Paraffin, Immunohistochemistry-Frozen, Western Blot, Immunocytochemistry, ELISA Detection

Label

Unconjugated

Antibody Source

Monoclonal Mouse IgG1 Clone # 78923

Product Specifications

Immunogen

Mouse myeloma cell line NS0-derived recombinant human VEGF-D
Phe93-Ser201
Accession # O43915

Specificity

Detects human VEGF-D in direct ELISAs and Western blots. In direct ELISAs, no cross-reactivity with recombinant mouse (rm) VEGF‑D, rmVEGF-B, recombinant human (rh) VEGF-B and rhVEGF is observed.

Clonality

Monoclonal

Host

Mouse

Isotype

IgG1

Endotoxin Level

<0.10 EU per 1 μg of the antibody by the LAL method.

Scientific Data Images for Human VEGF-D Antibody

Cell Proliferation Induced by VEGF-D and Neutralization by Human VEGF-D Antibody.

Cell Proliferation Induced by VEGF-D and Neutralization by Human VEGF-D Antibody.

Recombinant Human VEGF-D (622-VD) stimulates proliferation in HMVEC human microvascular endothelial cells in a dose-dependent manner (orange line). Proliferation elicited by Recombinant Human VEGF-D (1 µg/mL) is neutralized (green line) by increasing concentrations of Mouse Anti-Human VEGF-D Monoclonal Antibody (Catalog # MAB286). The ND50 is typically 3-8 µg/mL.

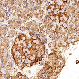
Detection of VEGF-D in Human Pancreas.

VEGF-D was detected in immersion fixed paraffin-embedded sections of Human Pancreas using Mouse Anti-Human VEGF-D Monoclonal Antibody (Catalog # MAB286) at 1 µg/mL for 1 hour at room temperature followed by incubation with the Anti-Mouse IgG VisUCyte™ HRP Polymer Antibody (Catalog # VC001). Before incubation with the primary antibody, tissue was subjected to heat-induced epitope retrieval using VisUCyte Antigen Retrieval Reagent-Basic (Catalog # VCTS021). Tissue was stained using DAB (brown) and counterstained with hematoxylin (blue). Specific staining was localized to pancreatic islets. View our protocol for IHC Staining with VisUCyte HRP Polymer Detection Reagents.

Applications for Human VEGF-D Antibody

Application
Recommended Usage

Immunohistochemistry

1-15 µg/mL
Sample: Immersion fixed paraffin-embedded sections of Human Pancreas

Neutralization

Measured by its ability to neutralize VEGF‑D-induced proliferation in HMVEC human microvascular endothelial cells. Achen, M. et al. (1998) Proc. Natl. Acad. Sci. USA 95:548. The Neutralization Dose (ND50) is typically 3‑8 µg/mL in the presence of 1 µg/mL Recombinant Human VEGF‑D.

Reviewed Applications

Read 1 review rated 5 using MAB286 in the following applications:

Formulation, Preparation, and Storage

Purification

Protein A or G purified from ascites

Reconstitution

Reconstitute at 0.5 mg/mL in sterile PBS. For liquid material, refer to CoA for concentration.

Reconstitution Buffer Available:
Size / Price
Qty
Loading...

Formulation

Lyophilized from a 0.2 μm filtered solution in PBS with Trehalose. *Small pack size (SP) is supplied either lyophilized or as a 0.2 µm filtered solution in PBS.

Shipping

Lyophilized product is shipped at ambient temperature. Liquid small pack size (-SP) is shipped with polar packs. Upon receipt, store immediately at the temperature recommended below.

Stability & Storage

Use a manual defrost freezer and avoid repeated freeze-thaw cycles.
  • 12 months from date of receipt, -20 to -70 °C as supplied.
  • 1 month, 2 to 8 °C under sterile conditions after reconstitution.
  • 6 months, -20 to -70 °C under sterile conditions after reconstitution.

Background: VEGF-D

Vascular endothelial growth factor D (VEGF-D), also known as c-fos-induced growth factor (FIGF), is a secreted glycoprotein of the VEGF/PDGF family. VEGFs regulate angiogenesis and lymphangiogenesis during development and tumor growth, and are characterized by eight conserved cysteine residues that form a cystine knot structure (1-3). VEGF-C and VEGF-D, which share 23% amino acid (aa) sequence identity, are uniquely expressed as preproproteins that contain long N- and C‑terminal propeptide extensions around the VEGF homology domain (VHD) (1, 2). Proteolytic processing of the 354 aa VEGF-D preproprotein creates a secreted proprotein. Further processing by extracellular serine proteases, such as plasmin or furin-like proprotein convertases, forms mature VEGF-D consisting of non‑covalently linked 42 kDa homodimers of the 117 aa VHD (4-6). Mature human VEGF-D shares 94%, 95%, 99%, 97%, and 93% aa identity with mouse, rat, equine, canine, and bovine VEGF-D, respectively (4, 5). It is expressed in adult lung, heart, muscle, and small intestine, and is most abundantly expressed in fetal lungs and skin (1-4). Mouse and human VEGF-D are ligands for VEGF Receptor 3 (VEGF R3, also called Flt-4) that are active across species and show enhanced affinity when processed (7). Processed human VEGF-D is also a ligand for VEGF R2, also called Flk-1 or KDR (7). VEGF R3 is strongly expressed in lymphatic endothelial cells and is essential for regulation of the growth and differentiation of lymphatic endothelium (1, 2). While VEGF-C is the critical ligand for VEGF R3 during embryonic lymphatic development, VEGF-D is most active in neonatal lymphatic maturation and bone growth (8-10). Both promote tumor lymphangiogenesis (11). Consonant with their activity on VEGF receptors, binding of VEGF-C and VEGF-D to neuropilins contributes to VEGF R3 signaling in lymphangiogenesis, while binding to integrin alpha9 beta1 mediates endothelial cell adhesion and migration (12, 13).

 

References

  1. Roy, H. et al. (2006) FEBS Lett. 580:2879.
  2. Otrock, Z.H. et al. (2007) Blood Cells Mol. Dis. 38:258.
  3. Yamada, Y. et al. (1997) Genomics 42:483.
  4. Stacker, S.A. et al. (1999) J. Biol. Chem. 274:32127.
  5. McColl, B.K. et al. (2003) J. Exp. Med. 198:863.
  6. McColl, B.K. et al. (2007) FASEB J. 21:1088.
  7. Baldwin, M.E. et al. (2001) J. Biol. Chem. 276:19166.
  8. Baldwin, M.E. et al. (2005) Mol. Cell. Biol. 25:2441.
  9. Karpanen, T. et al. (2006) Am. J. Pathol. 169:708.
  10. Orlandini, M. et al. (2006) J. Biol. Chem. 281:17961.
  11. Stacker, S.A. et al. (2001) Nature Med. 7:186.
  12. Karpanen, T. et al. (2006) FASEB J. 20:1462.
  13. Vlahakis, N.E. et al. (2005) J. Biol. Chem. 280:4544.

Long Name

Vascular Endothelial Growth Factor D/cFos-induced Growth Factor

Alternate Names

FIGF, VEGFD

Entrez Gene IDs

2277 (Human); 14205 (Mouse)

Gene Symbol

VEGFD

UniProt

Additional VEGF-D Products

Product Documents for Human VEGF-D Antibody

Certificate of Analysis

To download a Certificate of Analysis, please enter a lot number in the search box below.

Note: Certificate of Analysis not available for kit components.

Product Specific Notices for Human VEGF-D Antibody

For research use only

Loading...
Loading...
Loading...
Loading...