Skip to main content

Key Product Details

Species Reactivity

Validated:

Human

Cited:

Human, Mouse, Primate - Chlorocebus aethiops (African Green Monkey)

Applications

Validated:

Immunohistochemistry, Western Blot, ELISA

Cited:

Immunohistochemistry, Immunohistochemistry-Paraffin, Immunohistochemistry-Frozen, Western Blot, Neutralization, Immunocytochemistry

Label

Unconjugated

Antibody Source

Polyclonal Goat IgG

Product Specifications

Immunogen

E. coli-derived recombinant human VEGF-C

Specificity

Detects human VEGF-C in direct ELISAs and Western blots.

Clonality

Polyclonal

Host

Goat

Isotype

IgG

Scientific Data Images for Human VEGF-C Antibody

Detection of Human VEGF-C antibody by Western Blot.

Detection of Human VEGF-C by Western Blot.

Western blot shows lysates of K562 human chronic myelogenous leukemia cell line. PVDF membrane was probed with 1 µg/mL of Goat Anti-Human VEGF-C Antigen Affinity-purified Polyclonal Antibody (Catalog # AF752) followed by HRP-conjugated Anti-Goat IgG Secondary Antibody (HAF017). Specific bands were detected for VEGF-C at approximately 52 kDa, 34 kDa, and 13 kDa (as indicated). This experiment was conducted under reducing conditions and using Immunoblot Buffer Group 1.
VEGF-C antibody in Human Colon Cancer Tissue by Immunohistochemistry (IHC-P).

VEGF-C in Human Colon Cancer Tissue.

VEGF-C was detected in immersion fixed paraffin-embedded sections of human colon cancer tissue using Goat Anti-Human VEGF-C Antigen Affinity-purified Polyclonal Antibody (Catalog # AF752) at 10 µg/mL overnight at 4 °C. Tissue was stained using the Anti-Goat HRP-DAB Cell & Tissue Staining Kit (brown; CTS008) and counterstained with hematoxylin (blue). Specific labeling was localized to stromal cells surrounding crypts in the colon mucosa (cross section across crypts). View our protocol for Chromogenic IHC Staining of Paraffin-embedded Tissue Sections.
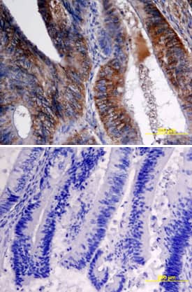
VEGF-C antibody in Human Colon Cancer Tissue by Immunohistochemistry (IHC-P).

VEGF-C in Human Colon Cancer Tissue.

VEGF-C was detected in immersion fixed paraffin-embedded sections of human colon cancer tissue using Goat Anti-Human VEGF-C Antigen Affinity-purified Polyclonal Antibody (Catalog # AF752) at 15 µg/mL overnight at 4 °C. Tissue was stained using the Anti-Goat HRP-DAB Cell & Tissue Staining Kit (brown; CTS008) and counterstained with hematoxylin (blue). Specific labeling was localized to epithelial cells in crypts of the colon mucusa (longitudinal section of crypts). Lower panel shows a lack of labeling if primary antibodies are omitted and tissue is stained only with secondary antibody followed by incubation with detection reagents. View our protocol for Chromogenic IHC Staining of Paraffin-embedded Tissue Sections.

Applications for Human VEGF-C Antibody

Application
Recommended Usage

ELISA

This antibody functions as an ELISA detection antibody when paired with Mouse Anti-Human VEGF‑C Monoclonal Antibody (Catalog # MAB752).

This product is intended for assay development on various assay platforms requiring antibody pairs. We recommend the Human VEGF-C DuoSet ELISA Kit (Catalog # DY752B) for convenient development of a sandwich ELISA or the Human VEGF-C Quantikine ELISA Kit (Catalog # DVEC00) for  a complete optimized ELISA.

Immunohistochemistry

5-15 µg/mL
Sample: Immersion fixed paraffin-embedded sections of human colon and human colon cancer tissue

Western Blot

1 µg/mL
Sample: K562 human chronic myelogenous leukemia cell line

Reviewed Applications

Read 2 reviews rated 4.5 using AF752 in the following applications:

Formulation, Preparation, and Storage

Purification

Antigen Affinity-purified

Reconstitution

Reconstitute at 0.2 mg/mL in sterile PBS. For liquid material, refer to CoA for concentration.

Reconstitution Buffer Available:
Size / Price
Qty
Loading...

Formulation

Lyophilized from a 0.2 μm filtered solution in PBS with Trehalose. *Small pack size (SP) is supplied either lyophilized or as a 0.2 µm filtered solution in PBS.

Shipping

Lyophilized product is shipped at ambient temperature. Liquid small pack size (-SP) is shipped with polar packs. Upon receipt, store immediately at the temperature recommended below.

Stability & Storage

Use a manual defrost freezer and avoid repeated freeze-thaw cycles.
  • 12 months from date of receipt, -20 to -70 °C as supplied.
  • 1 month, 2 to 8 °C under sterile conditions after reconstitution.
  • 6 months, -20 to -70 °C under sterile conditions after reconstitution.

Background: VEGF-C

Vascular endothelial growth factor C (VEGF-C) and VEGF-D constitute a VEGF sub-family that share the conserved VEGF homology domain (VHD) with other VEGF family members but are distinguished by their preferential formation of non-covalent homodimers. Both VEGF-C and -D have long N- and C-terminal propeptide extensions. The VEGF-C propeptide undergoes stepwise proteolytic processing to generate ligands with increasing affinity for VEGF-R3. However, only the fully processed VEGF-C containing just the VHD can bind VEGF-R2. None of the VEGF-C forms have appreciable affinity for VEGF-R1. VEGF-C is expressed in multiple adult human tissues, most prominently in lymph nodes, heart, placenta, ovary, and small intestine. Traces of VEGF-C are also detected in brain, liver, thymus, skeletal muscles, spleen, prostate, testis and colon. Unlike other VEGF family members, VEGF-C expression is not regulated by hypoxia. VEGF-C is a lymphangiogenic growth factor and the VEGF-C/VEGF-R3 signaling pathway has been shown to be crucial for lymphangiogenesis. VEGF-C and VEGF-R3 are usually co-expressed at sites with lymphatic vessel sprouting, in the embryo, and in various pathological conditions. VEGF-C stimulates lymphangiogenesis in the avian chorioallantoic membrane model. Over-expression of VEGF-C in breast cancer cells has been shown to increase intratumoral lymphangiogenesis, resulting in enhanced metastasis to regional lymph nodes and to the lungs. Mouse tumors expressing elevated levels of VEGF-C have increased lymphatic metastasis and increased lymphatic surface area in the tumor margin. VEGF-C is also associated with lymph node metastasis of colorectal carcinoma. Besides lymphangiogenesis, VEGF-C can have potent effects on physiological angiogenesis through its interaction with VEGF R2. The protein can stimulate migration and proliferation of endothelial cells in vitro and in vivo and has been shown to stimulate angiogenesis in the mouse cornea and in rabbit hind limb ischaemia.

Long Name

Vascular Endothelial Growth Factor C

Alternate Names

VEGFC

Entrez Gene IDs

7424 (Human); 22341 (Mouse)

Gene Symbol

VEGFC

Additional VEGF-C Products

Product Documents for Human VEGF-C Antibody

Certificate of Analysis

To download a Certificate of Analysis, please enter a lot number in the search box below.

Note: Certificate of Analysis not available for kit components.

Product Specific Notices for Human VEGF-C Antibody

For research use only

Loading...
Loading...
Loading...
Loading...