Skip to main content

Key Product Details

Species Reactivity

Validated:

Human

Cited:

Human, Mouse

Applications

Validated:

Immunohistochemistry, Intracellular Staining by Flow Cytometry, Immunocytochemistry, CyTOF-ready

Cited:

Immunohistochemistry, Mass Cytometry

Label

Unconjugated

Antibody Source

Monoclonal Mouse IgG2A Clone # VG1

Product Specifications

Immunogen

Recombinant VEGF 189 protein

Specificity

Detects human VEGF in direct ELISAs. This VEGF Antibody (Clone VG1) detects the 189, 165 and 121 isoforms of VEGF.

Clonality

Monoclonal

Host

Mouse

Isotype

IgG2A

Scientific Data Images for Human VEGF Antibody

VEGF antibody in HeLa Human Cell Line by Immunocytochemistry (ICC).

VEGF in HeLa Human Cell Line.

VEGF was detected in immersion fixed HeLa human cervical epithelial carcinoma cell line using Mouse Anti-Human VEGF Monoclonal Antibody (Catalog # MAB2932) at 5 µg/mL for 3 hours at room temperature. Cells were stained using the NorthernLights™ 557-conjugated Anti-Mouse IgG Secondary Antibody (red; NL007) and counterstained with DAPI (blue). Specific staining was localized to cytoplasm. View our protocol for Fluorescent ICC Staining of Cells on Coverslips.
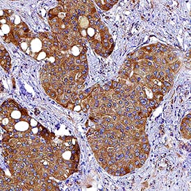
VEGF antibody in Human Liver Cancer Tissue by Immunohistochemistry (IHC-P).

VEGF in Human Liver Cancer Tissue.

VEGF was detected in immersion fixed paraffin-embedded sections of human liver cancer tissue using Mouse Anti-Human VEGF Monoclonal Antibody (Catalog # MAB2932) at 5 µg/mL for 1 hour at room temperature followed by incubation with the Anti-Mouse IgG VisUCyte™ HRP Polymer Antibody (Catalog # VC001). Before incubation with the primary antibody, tissue was subjected to heat-induced epitope retrieval using Antigen Retrieval Reagent-Basic (CTS013). Tissue was stained using DAB (brown) and counterstained with hematoxylin (blue). Specific staining was localized to cancer cells. View our protocol for IHC Staining with VisUCyte HRP Polymer Detection Reagents.
Detection of VEGF antibody in U937 Human Cell Line antibody by Flow Cytometry.

Detection of VEGF in U937 Human Cell Line by Flow Cytometry.

U937 human histiocytic lymphoma cell line was stained with Mouse Anti-Human VEGF Monoclonal Antibody (Catalog # MAB2932, filled histogram) or isotype control antibody (MAB002, open histogram) followed by anti-Mouse IgG APC-conjugated Secondary Antibody (F0101B). To facilitate intracellular staining, cells were fixed and permeabilized with FlowX FoxP3/Transcription Factor Fixation & Perm Buffer Kit (FC012). View our protocol for Staining Intracellular Molecules.

Applications for Human VEGF Antibody

Application
Recommended Usage

CyTOF-ready

Ready to be labeled using established conjugation methods. No BSA or other carrier proteins that could interfere with conjugation.

Immunocytochemistry

5-25 µg/mL
Sample: Immersion fixed HeLa human cervical epithelial carcinoma cell line

Immunohistochemistry

5-25 µg/mL
Sample: Immersion fixed paraffin-embedded sections of human liver cancer tissue

Intracellular Staining by Flow Cytometry

0.25 µg/106 cells
Sample: U937 human histiocytic lymphoma cell line fixed with Flow Cytometry Fixation Buffer (Catalog # FC004) and permeabilized with Methanol.

Formulation, Preparation, and Storage

Purification

Protein A or G purified from hybridoma culture supernatant

Reconstitution

Reconstitute at 0.5 mg/mL in sterile PBS. For liquid material, refer to CoA for concentration.

Reconstitution Buffer Available:
Size / Price
Qty
Loading...

Formulation

Lyophilized from a 0.2 μm filtered solution in PBS with Trehalose. *Small pack size (SP) is supplied either lyophilized or as a 0.2 µm filtered solution in PBS.

Shipping

Lyophilized product is shipped at ambient temperature. Liquid small pack size (-SP) is shipped with polar packs. Upon receipt, store immediately at the temperature recommended below.

Stability & Storage

Use a manual defrost freezer and avoid repeated freeze-thaw cycles.
  • 12 months from date of receipt, -20 to -70 °C as supplied.
  • 1 month, 2 to 8 °C under sterile conditions after reconstitution.
  • 6 months, -20 to -70 °C under sterile conditions after reconstitution.

Background: VEGF

Vascular Endothelial Growth Factor (VEGF or VEGF-A) is a potent mediator of both angiogenesis and vasculogenesis in the fetus and adult. It is a member of the PDGF family that is characterized by the presence of eight conserved cysteine residues and a cystine knot structure. VEGF165 appears to be the most abundant and potent isoform, followed by VEGF121 and VEGF189. Human VEGF165 is an approximately 44 kDa molecular weight homodimer sharing 88% aa sequence identity with corresponding regions of mouse and rat, 96% with porcine, 95% with canine, and 93% with feline, equine and bovine VEGF, respectively. VEGF binds the type I transmembrane receptor tyrosine kinases VEGF R1 (also called Flt-1) and VEGF R2 (Flk-1/KDR) on endothelial cells. Although VEGF affinity is highest for binding to VEGF R1, VEGF R2 appears to be the primary mediator of VEGF angiogenic activity. VEGF165 binds the Semaphorin receptor, Neuropilin-1 and promotes complex formation with VEGF R2. VEGF is required during embryogenesis and functions to regulate the proliferation, migration, and survival of endothelial cells. In adults, VEGF functions mainly in wound healing and the female reproductive cycle.

Long Name

Vascular Endothelial Growth Factor

Alternate Names

MVCD1, VAS, Vasculotropin, VEGF-A, VEGFA, VPF

Entrez Gene IDs

7422 (Human); 22339 (Mouse); 83785 (Rat); 281572 (Bovine); 403802 (Canine); 493845 (Feline); 30682 (Zebrafish)

Gene Symbol

VEGFA

Additional VEGF Products

Product Documents for Human VEGF Antibody

Certificate of Analysis

To download a Certificate of Analysis, please enter a lot number in the search box below.

Note: Certificate of Analysis not available for kit components.

Product Specific Notices for Human VEGF Antibody

For research use only

Loading...
Loading...
Loading...
Loading...
Loading...