Human VE-Cadherin Antibody
R&D Systems, part of Bio-Techne | Catalog # MAB11726
Key Product Details
Species Reactivity
Applications
Label
Antibody Source
Product Specifications
Immunogen
Specificity
Clonality
Host
Isotype
Scientific Data Images for Human VE-Cadherin Antibody
Detection of Human VE-Cadherin by Western Blot.
Western Blot shows lysates of HUVEC human umbilical vein endothelial cells. PVDF membrane was probed with 1 µg/ml of Rabbit Anti-Human VE-Cadherin Monoclonal Antibody (Catalog # MAB11726) followed by HRP-conjugated Anti-Rabbit IgG Secondary Antibody (Catalog # HAF008). A specific band was detected for VE-Cadherin at approximately 125 kDa (as indicated). This experiment was conducted under reducing conditions and using Western Blot Buffer Group 1.Detection of VE-Cadherin in Human Prostate Cancer.
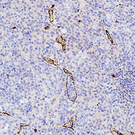
VE-Cadherin was detected in immersion fixed paraffin-embedded sections of human prostate cancer using Rabbit Anti-Human VE-Cadherin Monoclonal Antibody (Catalog # MAB11726) at 0.5 µg/ml for 1 hour at room temperature followed by incubation with the Anti-Rabbit IgG VisUCyte™ HRP Polymer Antibody (Catalog # VC003) or the HRP-conjugated Anti-Rabbit IgG Secondary Antibody (Catalog # HAF008). Before incubation with the primary antibody, tissue was subjected to heat-induced epitope retrieval using VisUCyte Antigen Retrieval Reagent-Basic (Catalog # VCTS021). Tissue was stained using DAB (brown) and counterstained with hematoxylin (blue). Specific staining was localized to the membrane. View our protocol for IHC Staining with VisUCyte HRP Polymer Detection Reagents.Detection of VE-Cadherin in Human Kidney.
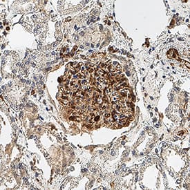
VE-Cadherin was detected in immersion fixed paraffin-embedded sections of human kidney using Rabbit Anti-Human VE-Cadherin Monoclonal Antibody (Catalog # MAB11726) at 0.5 µg/ml for 1 hour at room temperature followed by incubation with the Anti-Rabbit IgG VisUCyte™ HRP Polymer Antibody (Catalog # VC003) or the HRP-conjugated Anti-Rabbit IgG Secondary Antibody (Catalog # HAF008). Before incubation with the primary antibody, tissue was subjected to heat-induced epitope retrieval using VisUCyte Antigen Retrieval Reagent-Basic (Catalog # VCTS021). Tissue was stained using DAB (brown) and counterstained with hematoxylin (blue). Specific staining was localized to the membrane. View our protocol for IHC Staining with VisUCyte HRP Polymer Detection Reagents.Applications for Human VE-Cadherin Antibody
Immunocytochemistry
Sample: Immersion fixed HUVEC human umbilical vein endothelial cells
Immunohistochemistry
Sample: Immersion fixed paraffin-embedded sections of human prostate cancer, kidney and placenta
Western Blot
Sample: HUVEC human umbilical vein endothelial cells
Formulation, Preparation, and Storage
Purification
Reconstitution
Formulation
Shipping
Stability & Storage
- 12 months from date of receipt, -20 to -70 °C as supplied.
- 1 month, 2 to 8 °C under sterile conditions after reconstitution.
- 6 months, -20 to -70 °C under sterile conditions after reconstitution.
Background: VE-Cadherin
Vascular endothelial (VE)-cadherin (VE-CAD), also called 7B4 and cadherin‑5 (CDH5), is a member of the cadherin family of cell adhesion molecules. Cadherins are calcium‑dependent transmembrane proteins which bind to one another in a homophilic manner. On their cytoplasmic side, they associate with the three catenins, alpha, beta, and gamma (plakoglobin). This association links the cadherin protein to the cytoskeleton. Without association with the catenins, the cadherins are non-adhesive. Cadherins play a role in development, specifically in tissue formation. They may also help to maintain tissue architecture in the adult. VE-cadherin has been shown to play important roles in vasculogenesis and angiogenesis. VE-cadherin is a classical cadherin molecule. Classical cadherins consist of a large extracellular domain which contains DXD and DXNDN repeats responsible for mediating calcium-dependent adhesion, a single-pass transmembrane domain, and a short carboxy-terminal cytoplasmic domain responsible for interacting with the catenins. Human VE-cadherin is a 784 amino acid (aa) residue protein with a 25 aa signal sequence and a 759 aa propeptide. The mature protein begins at amino acid 48 and has a 546 aa extracellular domain, a 27 aa transmembrane domain, and a 164 aa cytoplasmic domain. The human and mouse mature VE-cadherin proteins share approximately 74% homology.
References
- Shimoyama, Y. et al. (1989) J. Cell Biol. 109:1787.
- Bussemakers, M.J.G. et al. (1993) Mol. Biol. Reports 17:123.
- Overduin, M. et al. (1995) Science 267:386.
- Takeichi, M. (1991) Science 251:1451.
- Nose, A. et al. (1987) EMBO J. 6:3655.
- Carmeliet, P. et al. (1999) Cell 98:147.
- Gory-Faure, S. et al. (1999) Development 126:2093.
Long Name
Alternate Names
Gene Symbol
Additional VE-Cadherin Products
Product Documents for Human VE-Cadherin Antibody
Product Specific Notices for Human VE-Cadherin Antibody
For research use only