Skip to main content

Key Product Details

Species Reactivity

Validated:

Human

Cited:

Human, Rat

Applications

Validated:

Immunohistochemistry, Western Blot

Cited:

Immunohistochemistry, Western Blot

Label

Unconjugated

Antibody Source

Polyclonal Goat IgG

Product Specifications

Immunogen

E. coli-derived recombinant human VAMP-8
Met1-Lys75
Accession # Q9BV40

Specificity

Detects human VAMP-8 in direct ELISAs and Western blots.

Clonality

Polyclonal

Host

Goat

Isotype

IgG

Scientific Data Images for Human VAMP-8 Antibody

Detection of Human VAMP-8 antibody by Western Blot.

Detection of Human VAMP-8 by Western Blot.

Western blot shows lysates of HeLa human cervical epithelial carcinoma cell line. PVDF membrane was probed with 1 µg/mL of Goat Anti-Human VAMP-8 Antigen Affinity-purified Polyclonal Antibody (Catalog # AF5354) followed by HRP-conjugated Anti-Goat IgG Secondary Antibody (Catalog # HAF019). A specific band was detected for VAMP-8 at approximately 12 kDa (as indicated). This experiment was conducted under reducing conditions and using Immunoblot Buffer Group 8.
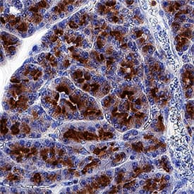
VAMP-8 antibody in Human Pancreas by Immunohistochemistry (IHC-P).

VAMP‑8 in Human Pancreas.

VAMP-8 was detected in immersion fixed paraffin-embedded sections of human pancreas using Goat Anti-Human VAMP-8 Antigen Affinity-purified Polyclonal Antibody (Catalog # AF5354) at 1 µg/mL overnight at 4 °C. Tissue was stained using the Anti-Goat HRP-DAB Cell & Tissue Staining Kit (brown; Catalog # CTS008) and counterstained with hematoxylin (blue). Specific staining was localized to exocrine cell cytoplasm. View our protocol for Chromogenic IHC Staining of Paraffin-embedded Tissue Sections.

Applications for Human VAMP-8 Antibody

Application
Recommended Usage

Immunohistochemistry

1-15 µg/mL
Sample: Immersion fixed paraffin-embedded sections of human pancreas

Western Blot

1 µg/mL
Sample: HeLa human cervical epithelial carcinoma cell line

Reviewed Applications

Read 1 review rated 5 using AF5354 in the following applications:

Formulation, Preparation, and Storage

Purification

Antigen Affinity-purified

Reconstitution

Reconstitute at 0.2 mg/mL in sterile PBS. For liquid material, refer to CoA for concentration.

Reconstitution Buffer Available:
Size / Price
Qty
Loading...

Formulation

Lyophilized from a 0.2 μm filtered solution in PBS with Trehalose. *Small pack size (SP) is supplied either lyophilized or as a 0.2 µm filtered solution in PBS.

Shipping

Lyophilized product is shipped at ambient temperature. Liquid small pack size (-SP) is shipped with polar packs. Upon receipt, store immediately at the temperature recommended below.

Stability & Storage

Use a manual defrost freezer and avoid repeated freeze-thaw cycles.
  • 12 months from date of receipt, -20 to -70 °C as supplied.
  • 1 month, 2 to 8 °C under sterile conditions after reconstitution.
  • 6 months, -20 to -70 °C under sterile conditions after reconstitution.

Background: VAMP-8

VAMP-8 (vesicle associated membrane protein 8; also endobrevin) is a 12 kDa member of the synaptobrevin family of proteins. It is a type IV transmembrane (TM) protein (i.e.- a type II TM protein whose C-terminus is predominately transmembrane) that is found in cells involved in vesicle release (platelets, mast cells and pancreatic acinar cells). It regulates exocytosis and decouples granule release from cytokine release. Human VAMP-8 is 100 amino acids (aa) in length. It contains a vSNARE coiled-coil homology region (aa 12-72) and a membrane-anchor domain (aa 76‑96). Over aa 1‑75, human VAMP-8 shares 93% aa identity with mouse
VAMP‑2.

Long Name

Vesicle-Associated Membrane Protein 8

Alternate Names

EDB, Endobrevin, VAMP8

Entrez Gene IDs

8673 (Human); 22320 (Mouse); 83730 (Rat)

Gene Symbol

VAMP8

UniProt

Additional VAMP-8 Products

Product Documents for Human VAMP-8 Antibody

Certificate of Analysis

To download a Certificate of Analysis, please enter a lot number in the search box below.

Note: Certificate of Analysis not available for kit components.

Product Specific Notices for Human VAMP-8 Antibody

For research use only

Loading...
Loading...
Loading...
Loading...