Skip to main content

Key Product Details

Species Reactivity

Validated:

Human

Cited:

Human, Mouse, Rat, Xenograft

Applications

Validated:

Immunohistochemistry, Western Blot

Cited:

Immunohistochemistry, Flow Cytometry, Immunocytochemistry, Immunocytochemistry/ Immunofluorescence, Bioassay

Label

Unconjugated

Antibody Source

Monoclonal Rat IgG1 Clone # 394324

Product Specifications

Immunogen

E. coli-derived recombinant human Uteroglobin/SCGB1A1
Glu22-Asn91
Accession # P11684

Specificity

Detects human Uteroglobin/SCGB1A1 in direct ELISAs and Western blots.

Clonality

Monoclonal

Host

Rat

Isotype

IgG1

Scientific Data Images for Human Uteroglobin/SCGB1A1 Antibody

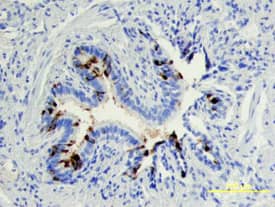
Uteroglobin/SCGB1A1 antibody in Human Lung by Immunohistochemistry (IHC-P).

Uteroglobin/SCGB1A1 in Human Lung.

Uteroglobin/SCGB1A1 was detected in immersion fixed paraffin-embedded sections of human lung using 15 µg/mL Rat Anti-Human Uteroglobin/SCGB1A1 Monoclonal Antibody (Catalog # MAB4218) overnight at 4 °C. Before incubation with the primary antibody tissue was subjected to heat-induced epitope retrieval using Antigen Retrieval Reagent-Basic (Catalog # CTS013). Tissue was stained with the Anti-Rat HRP-DAB Cell & Tissue Staining Kit (brown; Catalog # CTS017) and counterstained with hematoxylin (blue). Specific labeling was localized to the cytoplasm of bronchiolar Clara cells. View our protocol for Chromogenic IHC Staining of Paraffin-embedded Tissue Sections.
Uteroglobin/SCGB1A1 antibody in Human Lung by Immunohistochemistry (IHC-P).

Uteroglobin/SCGB1A1 in Human Lung.

Uteroglobin/SCGB1A1 was detected in immersion fixed paraffin-embedded sections of human lung using Rat Anti-Human Uteroglobin/SCGB1A1 Monoclonal Antibody (Catalog # MAB4218) at 15 µg/mL overnight at 4 °C. Tissue was stained using the Anti-Rat HRP-DAB Cell & Tissue Staining Kit (brown; Catalog # CTS017) and counterstained with hematoxylin (blue). View our protocol for Chromogenic IHC Staining of Paraffin-embedded Tissue Sections.

Applications for Human Uteroglobin/SCGB1A1 Antibody

Application
Recommended Usage

Immunohistochemistry

8-25 µg/mL
Sample: Immersion fixed paraffin-embedded sections of human lung subjected to Antigen Retrieval Reagent-Basic (Catalog # CTS013)

Western Blot

1 µg/mL
Sample: Recombinant Human Uteroglobin/SCGB1A1 (Catalog # 4218-UT)

Reviewed Applications

Read 6 reviews rated 4.7 using MAB4218 in the following applications:

Formulation, Preparation, and Storage

Purification

Protein A or G purified from hybridoma culture supernatant

Reconstitution

Reconstitute at 0.5 mg/mL in sterile PBS. For liquid material, refer to CoA for concentration.

Reconstitution Buffer Available:
Size / Price
Qty
Loading...

Formulation

Lyophilized from a 0.2 μm filtered solution in PBS with Trehalose. *Small pack size (SP) is supplied either lyophilized or as a 0.2 µm filtered solution in PBS.

Shipping

Lyophilized product is shipped at ambient temperature. Liquid small pack size (-SP) is shipped with polar packs. Upon receipt, store immediately at the temperature recommended below.

Stability & Storage

Use a manual defrost freezer and avoid repeated freeze-thaw cycles.
  • 12 months from date of receipt, -20 to -70 °C as supplied.
  • 1 month, 2 to 8 °C under sterile conditions after reconstitution.
  • 6 months, -20 to -70 °C under sterile conditions after reconstitution.

Background: Uteroglobin/SCGB1A1

Uteroglobin, also called Clara cell secretory, phospholipid binding, 10 kDa or 16 kDa protein (CCSP, CCPBP, CC10 or CC16, respectively) is a small, non‑glycosylated secreted protein of the secretoglobin superfamily, (designated 1A, member 1) (1‑3). Its name is derived from its very high expression in the pre‑implantation uterus. It is produced by the non-ciliated, non-mucous secretory cells that predominate in lung bronchioles (Clara cells), and other non-ciliated epithelia that communicate with the external environment (1‑3). Expression is induced by steroid hormones such as estrogen, and enhanced by the non-steroid hormone prolactin (1). Uteroglobin is found in blood, urine and other body fluids (1). Human Uteroglobin cDNA encodes a 21 amino acid (aa) signal sequence and a 70 aa mature protein. It shares 53‑56% aa identity with mouse, rat, bovine, canine, equine or rabbit Uteroglobin, and is active in mice (4). The mature protein forms a disulfide-linked head-to-tail homodimer of 16 kDa (2, 5). This homodimer is thought to form a binding pocket that binds hydrophobic ligands such as phospholipids, progesterone and retinols (5). Sequestering of prostaglandins and leukotrienes is anti-inflammatory, while sequestering of carcinogens such as polychlorinated bisphenols is anti-tumorigenic (6‑8). Other immunoregulatory activities of Uteroglobin include cell migration inhibition (by binding the chemotaxis-related formyl peptide receptor FPR2 on dendritic cells), and the inhibition of T cell differentiation to a Th2 phenotype (9). A single nucleotide polymorphism of Uteroglobin, A38G, confers increased risk of asthma (10). Transglutaminase can crosslink Uteroglobin, either to itself or to other proteins such as the adhesion molecule fibronectin (3, 11). Binding of fibronectin to Uteroglobin in the kidney is thought to protect against nephropathy, while binding of the lipocalin-1 receptor has been reported to suppress cancer cell motility and invasion (12, 13).

References

  1. Mukherjee, A.B. et al. (2007) Endocr. Rev. 28:707.
  2. Singh, G. et al. (1988) Biochim. Biophys. Acta 950:329.
  3. Mantile, G. et al. (1993) J. Biol. Chem. 268:20343.
  4. Wang, S-Z. et al. (2003) J. Immunol. 171:1051.
  5. Umland, T.C. et al. (1994) Nat. Struct. Biol. 1:538.
  6. Mandal, A.K. et al. (2004) J. Exp. Med. 199:1317.
  7. Watson, T.M. et al. (2001) Am. J. Physiol. Lung Cell Mol. Physiol. 281:L1523.
  8. Yang, Y. et al. (2004) J. Biol. Chem. 279:29336.
  9. Ray, R. et al. (2006) FEBS Lett. 580:6022.
  10. Martin, A.C. et al. (2006) Am. J. Respir. Crit. Care Med. 173:617.
  11. Antico, G. et al. (2006) J. Cell Physiol. 207:553.
  12. Zheng, F. et al. (1999) Nat. Med. 5:1018.
  13. Zhang, Z. et al. (2006) Gene 369:66.

Alternate Names

Blastokinin, CC10, CC16, CCPBP, CCSP, Clara, PCB-BP, SCGB1A1, UGB

Entrez Gene IDs

7356 (Human); 22287 (Mouse); 25575 (Rat)

Gene Symbol

SCGB1A1

UniProt

Additional Uteroglobin/SCGB1A1 Products

Product Documents for Human Uteroglobin/SCGB1A1 Antibody

Certificate of Analysis

To download a Certificate of Analysis, please enter a lot number in the search box below.

Note: Certificate of Analysis not available for kit components.

Product Specific Notices for Human Uteroglobin/SCGB1A1 Antibody

For research use only

Loading...
Loading...
Loading...
Loading...
Loading...