Skip to main content

Key Product Details

Species Reactivity

Validated:

Human

Cited:

Human, Mouse, Rabbit

Applications

Validated:

Immunohistochemistry, Western Blot, Blockade of Receptor-ligand Interaction, Simple Western, Immunoprecipitation

Cited:

Immunohistochemistry, Western Blot, Neutralization, Immunocytochemistry, Immunoprecipitation

Label

Unconjugated

Antibody Source

Polyclonal Goat IgG

Product Specifications

Immunogen

Mouse myeloma cell line NS0-derived recombinant human uPAR
Leu23-Arg303
Accession # Q03405

Specificity

Detects human uPAR in direct ELISAs and Western blots. In direct ELISAs, less than 1% cross-reactivity with recombinant mouse uPAR is observed.

Clonality

Polyclonal

Host

Goat

Isotype

IgG

Scientific Data Images for Human uPAR Antibody

Detection of Human uPAR antibody by Western Blot.

Detection of Human uPAR by Western Blot.

Western blot shows lysates of A431 human epithelial carcinoma cell line and Saos-2 human osteosarcoma cell line. PVDF membrane was probed with 1 µg/mL of Goat Anti-Human uPAR Antigen Affinity-purified Polyclonal Antibody (Catalog # AF807) followed by HRP-conjugated Anti-Goat IgG Secondary Antibody (HAF017). Specific bands were detected for uPAR at approximately 30-60 kDa (as indicated). This experiment was conducted under reducing conditions and using Immunoblot Buffer Group 1.
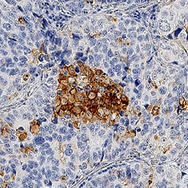
uPAR antibody in Human Lung Cancer Tissue by Immunohistochemistry (IHC-P).

uPAR in Human Lung Cancer Tissue.

uPAR was detected in immersion fixed paraffin-embedded sections of human lung cancer tissue using Goat Anti-Human uPAR Antigen Affinity-purified Polyclonal Antibody (Catalog # AF807) at 1 µg/mL for 1 hour at room temperature followed by incubation with the Anti-Goat IgG VisUCyte™ HRP Polymer Antibody (VC004). Tissue was stained using DAB (brown) and counterstained with hematoxylin (blue). Specific staining was localized to cell membranes and cytoplasm. View our protocol for IHC Staining with VisUCyte HRP Polymer Detection Reagents.

Detection of Human uPAR by Simple WesternTM.

Simple Western lane view shows lysates of MDA-MB-231 human breast cancer cells, loaded at 0.2 mg/mL. A specific band was detected for uPAR at approximately 74 kDa (as indicated) using 20 µg/mL of Goat Anti-Human uPAR Antigen Affinity-purified Polyclonal Antibody (Catalog # AF807). This experiment was conducted under reducing conditions and using the 12-230kDa separation system.

Applications for Human uPAR Antibody

Application
Recommended Usage

Blockade of Receptor-ligand Interaction

In a functional ELISA, Human uPAR Antibody (Catalog # AF807) blocks the binding of Recombinant Human uPAR (Catalog # 807-UK) to Recombinant Human u-Plasminogen Activator/Urokinase (Catalog # 1310-SE).The ND50 for this effect is typically <5 µg/mL.

Immunohistochemistry

1-15 µg/mL
Sample: Immersion fixed paraffin-embedded sections of human lung cancer tissue

Immunoprecipitation

1 µg/106 cells
Sample: U937 human histiocytic lymphoma cell line, see our available Western blot detection antibodies

Simple Western

20 µg/mL
Sample: MDA-MB-231 human breast cancer cells

Western Blot

1 µg/mL
Sample: A431 human epithelial carcinoma cell line and Saos‑2 human osteosarcoma cell line

Reviewed Applications

Read 1 review rated 4 using AF807 in the following applications:

Formulation, Preparation, and Storage

Purification

Antigen Affinity-purified

Reconstitution

Reconstitute at 0.2 mg/mL in sterile PBS. For liquid material, refer to CoA for concentration.

Reconstitution Buffer Available:
Size / Price
Qty
Loading...

Formulation

Lyophilized from a 0.2 μm filtered solution in PBS with Trehalose. See Certificate of Analysis for details.
*Small pack size (-SP) is supplied either lyophilized or as a 0.2 µm filtered solution in PBS.

Shipping

Lyophilized product is shipped at ambient temperature. Liquid small pack size (-SP) is shipped with polar packs. Upon receipt, store immediately at the temperature recommended below.

Stability & Storage

Use a manual defrost freezer and avoid repeated freeze-thaw cycles.
  • 12 months from date of receipt, -20 to -70 °C as supplied.
  • 1 month, 2 to 8 °C under sterile conditions after reconstitution.
  • 6 months, -20 to -70 °C under sterile conditions after reconstitution.

Background: uPAR

The urokinase-type Plasminogen Activator (uPA) is one of two activators that converts the extracellular zymogen plasminogen to plasmin, a serine protease that is involved in a variety of normal and pathological processes that require cell migration and/or tissue destruction. uPA is synthesized and released from cells as a single-chain (sc) pro-enzyme with limited enzymatic activity and is converted to an active two-chain (tc) disulfide-linked active enzyme by plasmin and other specific proteinases. Both the scuPA and tcuPA bind with high-affinity to the cell surface via the glycosyl phosphatidylinositol-linked receptor uPAR which serves to localize the uPA proteolytic activity. The enzymatic activity of scuPA has also been shown to be enhanced by binding to uPAR. Independent of their proteolytic activity, the uPA/uPAR interaction also initiates signal transduction responses resulting in activation of protein tyrosine kinases, gene expression, cell adhesion, and chemotaxis. uPAR can interact with integrins to suppress normal integrin adhesive function and promote adhesion to vitronectin through a high affinity vitronectin binding site on uPAR. uPAR cDNA encodes a 335 amino acid (aa) residue precursor protein with a 22 aa residue signal peptide, five potential N-linked glycosylation sites and a C‑terminal GPI-anchor site. An alternate spliced variant of uPAR encoding a secreted soluble form of uPAR also exists. Human and mouse uPAR share approximately 60% aa sequence identity and the receptor-ligand interaction is strictly species-specific.

References

  1. Dear, A.E. and R.L. Medcalf (1998) Eur. J. Biochemistry 252:185.

Long Name

Urokinase-type Plasminogen Activator Receptor

Alternate Names

PLAUR

Entrez Gene IDs

5329 (Human); 18793 (Mouse); 102139334 (Cynomolgus Monkey)

Gene Symbol

PLAUR

UniProt

Additional uPAR Products

Product Documents for Human uPAR Antibody

Certificate of Analysis

To download a Certificate of Analysis, please enter a lot number in the search box below.

Note: Certificate of Analysis not available for kit components.

Product Specific Notices for Human uPAR Antibody

For research use only

Loading...
Loading...
Loading...
Loading...