Skip to main content

Key Product Details

Species Reactivity

Human

Applications

Immunohistochemistry, Western Blot

Label

Unconjugated

Antibody Source

Monoclonal Mouse IgG1 Clone # 512908

Product Specifications

Immunogen

Chinese hamster ovary cell line CHO-derived recombinant human TSH beta
Phe21-Val138
Accession # NP_000540

Specificity

Detects TSH beta in direct ELISAs and Western blots.  In direct ELISAs, no cross-reactivity with recombinant rat TSH beta was observed.

Clonality

Monoclonal

Host

Mouse

Isotype

IgG1

Scientific Data Images for Human TSH  beta Antibody

Detection of Human TSH  beta antibody by Western Blot.

Detection of Human TSH beta by Western Blot.

Western blot shows purified human pituitary TSH beta (10 ng/lane). PVDF Membrane was probed with 2 µg/mL of Human TSH beta Monoclonal Antibody (Catalog # MAB57941) followed by HRP-conjugated Anti-Mouse IgG Secondary Antibody (Catalog # HAF007). A specific band was detected for TSH beta at approximately 25 kDa (as indicated). This experiment was conducted under non-reducing conditions and using Immunoblot Buffer Group 1.
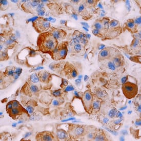
TSH  beta antibody in Human Pituitary by Immunohistochemistry (IHC-P).

TSH beta in Human Pituitary.

TSH beta was detected in immersion fixed paraffin-embedded sections of human pituitary using Human Thyroid Stimulating Hormone Subunit Beta Monoclonal Antibody (Catalog # MAB57941) at 15 µg/mL overnight at 4 °C. Before incubation with the primary antibody, tissue was subjected to heat-induced epitope retrieval using Antigen Retrieval Reagent-Basic (Catalog # CTS013). Tissue was stained using the Anti-Mouse HRP-DAB Cell & Tissue Staining Kit (brown; Catalog # CTS002) and counterstained with hematoxylin (blue). Specific staining was localized to cytoplasm of thyrotrope cells. View our protocol for Chromogenic IHC Staining of Paraffin-embedded Tissue Sections.

Applications for Human TSH  beta Antibody

Application
Recommended Usage

Immunohistochemistry

8-25 µg/mL
Sample: Immersion fixed paraffin-embedded sections of human pituitary subjected to Antigen Retrieval Reagent-Basic (Catalog # CTS013)

Western Blot

2 µg/mL
Sample: Purified human pituitary TSH  beta under non-reducing conditions only

Reviewed Applications

Read 1 review rated 3 using MAB57941 in the following applications:

Formulation, Preparation, and Storage

Purification

Protein A or G purified from hybridoma culture supernatant

Reconstitution

Sterile PBS to a final concentration of 0.5 mg/mL. For liquid material, refer to CoA for concentration.

Reconstitution Buffer Available:
Size / Price
Qty
Loading...

Formulation

Lyophilized from a 0.2 μm filtered solution in PBS with Trehalose. *Small pack size (SP) is supplied either lyophilized or as a 0.2 µm filtered solution in PBS.

Shipping

Lyophilized product is shipped at ambient temperature. Liquid small pack size (-SP) is shipped with polar packs. Upon receipt, store immediately at the temperature recommended below.

Stability & Storage

Use a manual defrost freezer and avoid repeated freeze-thaw cycles.
  • 12 months from date of receipt, -20 to -70 °C as supplied.
  • 1 month, 2 to 8 °C under sterile conditions after reconstitution.
  • 6 months, -20 to -70 °C under sterile conditions after reconstitution.

Background: TSH beta

TSH beta is the 138 amino acid (aa), 15 kDa unique subunit of Thyroid Stimulating Hormone (TSH), which shares a common alpha subunit with other glycoprotein hormones lutropin (LH), follitropin (FSH) and chorionic gonadotropin (CG). Production of TSH by the anterior pituitary gland is stimulated by the hypothalamic peptide TRH, and inhibited by feedback from the thyroid hormones triiodothyronine (T3) and thyroxine (T4). Mature human TSH beta shares 89% and 90% aa sequence identity with mouse and rat TSH beta, respectively.

Long Name

Thyroid-stimulating Hormone Subunit beta

Alternate Names

Thyrotropin beta, TSHB

Entrez Gene IDs

7252 (Human); 22094 (Mouse); 25653 (Rat)

Gene Symbol

TSHB

UniProt

Additional TSH beta Products

Product Documents for Human TSH  beta Antibody

Certificate of Analysis

To download a Certificate of Analysis, please enter a lot number in the search box below.

Note: Certificate of Analysis not available for kit components.

Product Specific Notices for Human TSH  beta Antibody

For research use only

Loading...
Loading...
Loading...
Loading...