Skip to main content

Key Product Details

Species Reactivity

Human

Applications

Immunohistochemistry, Western Blot, Simple Western

Label

Unconjugated

Antibody Source

Monoclonal Mouse IgG1 Clone # 679021

Product Specifications

Immunogen

Human cardiac Troponin I/TNNI3 purified from human heart

Specificity

Detects human cardiac Troponin I/TNNI3 in direct ELISAs and Western blots.

Clonality

Monoclonal

Host

Mouse

Isotype

IgG1

Scientific Data Images for Human Troponin I/TNNI3 Antibody

Detection of Human Troponin I antibody by Western Blot.

Detection of Human Troponin I/TNNI3 by Western Blot.

Western blot shows lysates of human heart tissue. PVDF membrane was probed with 1 µg/mL of Mouse Anti-Human Troponin I/TNNI3 Monoclonal Antibody (Catalog # MAB68871) followed by HRP-conjugated Anti-Mouse IgG Secondary Antibody (Catalog # HAF007). A specific band was detected for Troponin I/TNNI3 at approximately 24-29 kDa (as indicated). This experiment was conducted under reducing conditions and using Immunoblot Buffer Group 1.
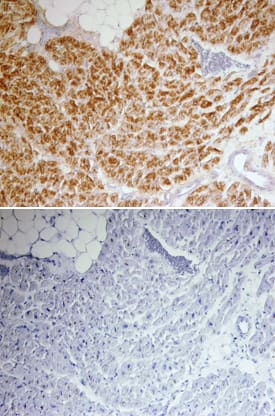
Troponin I antibody in Human Heart by Immunohistochemistry (IHC-P).

Troponin I/TNNI3 in Human Heart.

Troponin I/TNNI3 was detected in immersion fixed paraffin-embedded sections of human heart using Mouse Anti-Human Troponin I/TNNI3 Monoclonal Antibody (Catalog # MAB68871) at 15 µg/mL overnight at 4 °C. Tissue was stained using the Anti-Mouse HRP-DAB Cell & Tissue Staining Kit (brown; Catalog # CTS002) and counterstained with hematoxylin (blue). Lower panel shows a lack of labeling when primary antibodies are omitted and tissue is stained only with secondary antibody followed by incubation with detection reagents. Specific staining was localized to cardiac muscle. View our protocol for Chromogenic IHC Staining of Paraffin-embedded Tissue Sections.
Detection of Human Troponin I antibody by Simple WesternTM.

Detection of Human Troponin I/TNNI3 by Simple WesternTM.

Simple Western lane view shows lysates of human heart tissue and human heart (ventricular) tissue, loaded at 0.5 mg/mL. Specific bands were detected for Troponin I/TNNI3 at approximately 27-31 kDa (as indicated) using 10 µg/mL of Mouse Anti-Human Troponin I/TNNI3 Monoclonal Antibody (Catalog # MAB68871). This experiment was conducted under reducing conditions and using the 12-230 kDa separation system.

Applications for Human Troponin I/TNNI3 Antibody

Application
Recommended Usage

Immunohistochemistry

8-25 µg/mL
Sample: Immersion fixed paraffin-embedded sections of human heart

Simple Western

10 µg/mL
Sample: Human heart tissue and human heart (ventricular) tissue

Western Blot

1 µg/mL
Sample: Human heart tissue

Reviewed Applications

Read 1 review rated 5 using MAB68871 in the following applications:

Formulation, Preparation, and Storage

Purification

Protein A or G purified from hybridoma culture supernatant

Reconstitution

Sterile PBS to a final concentration of 0.5 mg/mL. For liquid material, refer to CoA for concentration.

Reconstitution Buffer Available:
Size / Price
Qty
Loading...

Formulation

Lyophilized from a 0.2 μm filtered solution in PBS with Trehalose. *Small pack size (SP) is supplied either lyophilized or as a 0.2 µm filtered solution in PBS.

Shipping

Lyophilized product is shipped at ambient temperature. Liquid small pack size (-SP) is shipped with polar packs. Upon receipt, store immediately at the temperature recommended below.

Stability & Storage

Use a manual defrost freezer and avoid repeated freeze-thaw cycles.
  • 12 months from date of receipt, -20 to -70 °C as supplied.
  • 1 month, 2 to 8 °C under sterile conditions after reconstitution.
  • 6 months, -20 to -70 °C under sterile conditions after reconstitution.

Background: Troponin I/TNNI3

Troponin I, also known as TNI, is a 24-29 kDa component of a protein complex on striated muscle thin filaments. Troponin I inhibits the calcium-dependent muscle contraction mediated by Troponins C and T. The expression of cardiac Troponin I (TNNI3) is restricted to cardiac muscle, while TNNI1 and TNNI2 (encoded by distinct genes) are expressed in skeletal muscle. Mutations of cardiac Troponin I are associated with heriditary cardiomyopathy. Human cardiac Troponin I shares 93% amino acid sequence identity with mouse and rat cardiac Troponin I.

Long Name

Troponin I3, Cardiac Type

Alternate Names

CMD2A, CTnI, RCM1, TNNC1, TNNI3,

Entrez Gene IDs

7137 (Human)

Gene Symbol

TNNI3

Additional Troponin I/TNNI3 Products

Product Documents for Human Troponin I/TNNI3 Antibody

Certificate of Analysis

To download a Certificate of Analysis, please enter a lot number in the search box below.

Note: Certificate of Analysis not available for kit components.

Product Specific Notices for Human Troponin I/TNNI3 Antibody

For research use only

Loading...
Loading...
Loading...
Loading...