Skip to main content

Key Product Details

Species Reactivity

Validated:

Human

Cited:

Human, Canine, Feline, Transgenic Mouse

Applications

Validated:

Immunohistochemistry, Western Blot, Neutralization

Cited:

Immunohistochemistry, Immunohistochemistry-Frozen, Western Blot, Neutralization, Flow Cytometry, Immunocytochemistry, Affinity Purification, Bioassay

Label

Unconjugated

Antibody Source

Polyclonal Goat IgG

Product Specifications

Immunogen

Mouse myeloma cell line NS0-derived recombinant human TRAIL/TNFSF10
Thr95-Gly281
Accession # P50591

Specificity

Detects human TRAIL/TNFSF10 in direct ELISAs and Western blots. In direct ELISAs, less than 5% cross-reactivity with recombinant mouse TRAIL is observed.

Clonality

Polyclonal

Host

Goat

Isotype

IgG

Endotoxin Level

<0.10 EU per 1 μg of the antibody by the LAL method.

Scientific Data Images for Human TRAIL/TNFSF10 Antibody

Detection of Human TRAIL/TNFSF10 antibody by Western Blot.

Detection of Human TRAIL/TNFSF10 by Western Blot.

Western blot shows lysates of 786-O human renal cell adenocarcinoma cell line. PVDF membrane was probed with 1 µg/mL of Goat Anti-Human TRAIL/TNFSF10 Antigen Affinity-purified Polyclonal Antibody (Catalog # AF375) followed by HRP-conjugated Anti-Goat IgG Secondary Antibody (Catalog # HAF017). Specific bands were detected for TRAIL/TNFSF10 at approximately 27 and 30 kDa (as indicated). This experiment was conducted under reducing conditions and using Immunoblot Buffer Group 1.
TRAIL/TNFSF10 antibody in Human Brain by Immunohistochemistry (IHC-P).

TRAIL/TNFSF10 in Human Brain.

TRAIL/TNFSF10 was detected in immersion fixed paraffin-embedded sections of human brain (cortex) using Goat Anti-Human TRAIL/TNFSF10 Antigen Affinity-purified Polyclonal Antibody (Catalog # AF375) at 15 µg/mL overnight at 4 °C. Before incubation with the primary antibody tissue was subjected to heat-induced epitope retrieval using Antigen Retrieval Reagent-Basic (Catalog # CTS013). Tissue was stained using the Anti-Goat HRP-DAB Cell & Tissue Staining Kit (brown; Catalog # CTS008) and counterstained with hematoxylin (blue). View our protocol for Chromogenic IHC Staining of Paraffin-embedded Tissue Sections.
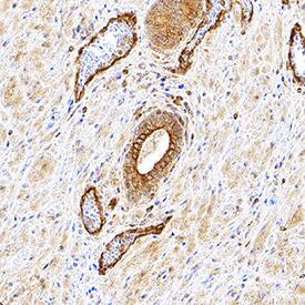
TRAIL/TNFSF10 antibody in Human Prostate Cancer Tissue by Immunohistochemistry (IHC-P).

TRAIL/TNFSF10 in Human Prostate Cancer Tissue.

TRAIL/TNFSF10 was detected in immersion fixed paraffin-embedded sections of human prostate cancer tissue using Goat Anti-Human TRAIL/TNFSF10 Antigen Affinity-purified Polyclonal Antibody (Catalog # AF375) at 3 µg/mL for 1 hour at room temperature followed by incubation with the Anti-Goat IgG VisUCyte™ HRP Polymer Antibody (Catalog # VC004). Tissue was stained using DAB (brown) and counterstained with hematoxylin (blue). Specific staining was localized to cell membrane. View our protocol for IHC Staining with VisUCyte HRP Polymer Detection Reagents.

Applications for Human TRAIL/TNFSF10 Antibody

Application
Recommended Usage

Immunohistochemistry

5-15 µg/mL
Sample: Immersion fixed paraffin-embedded sections of human brain (occipital cortex) and immersion fixed paraffin-embedded sections of human prostate cancer tissue

Western Blot

1 µg/mL
Sample: 786‑O human renal cell adenocarcinoma cell line

Neutralization

Measured by its ability to neutralize TRAIL/TNFSF10-induced cytotoxicity in the L‑929 mouse fibroblast cell line. The Neutralization Dose (ND50) is typically <140 ng/mL in the presence of 12 ng/mL Recombinant Human TRAIL/TNFSF10, cross-linking Anti-Mouse His Tag Monoclonal Antibody and Actinomycin D.

Formulation, Preparation, and Storage

Purification

Antigen Affinity-purified

Reconstitution

Reconstitute at 0.2 mg/mL in sterile PBS. For liquid material, refer to CoA for concentration.

Reconstitution Buffer Available:
Size / Price
Qty
Loading...

Formulation

Lyophilized from a 0.2 μm filtered solution in PBS with Trehalose. *Small pack size (SP) is supplied either lyophilized or as a 0.2 µm filtered solution in PBS.

Shipping

Lyophilized product is shipped at ambient temperature. Liquid small pack size (-SP) is shipped with polar packs. Upon receipt, store immediately at the temperature recommended below.

Stability & Storage

Use a manual defrost freezer and avoid repeated freeze-thaw cycles.
  • 12 months from date of receipt, -20 to -70 °C as supplied.
  • 1 month, 2 to 8 °C under sterile conditions after reconstitution.
  • 6 months, -20 to -70 °C under sterile conditions after reconstitution.

Background: TRAIL/TNFSF10

TRAIL is a type II transmembrane protein belonging to the TNF superfamily and is now designated TNFSF10. TRAIL is active as a homotrimer and is produced by a variety of cell types in both the membrane bound form and also as a soluble molecule. It binds to any of the four TRAIL receptors as well as to Osteoprotegerin.

Long Name

TNF-related Apoptosis-inducing Ligand

Alternate Names

CD253, TNFSF10

Entrez Gene IDs

8743 (Human); 22035 (Mouse); 246775 (Rat)

Gene Symbol

TNFSF10

UniProt

Additional TRAIL/TNFSF10 Products

Product Documents for Human TRAIL/TNFSF10 Antibody

Certificate of Analysis

To download a Certificate of Analysis, please enter a lot number in the search box below.

Note: Certificate of Analysis not available for kit components.

Product Specific Notices for Human TRAIL/TNFSF10 Antibody

For research use only

Loading...
Loading...
Loading...
Loading...