Skip to main content

Key Product Details

Species Reactivity

Human

Applications

Immunohistochemistry, Immunocytochemistry

Label

Unconjugated

Antibody Source

Monoclonal Rat IgG2B Clone # 986935

Product Specifications

Immunogen

E. coli-derived recombinant human TOR
Phe1720-Ala2020
Accession # P42345

Specificity

Detects human TOR in direct ELISAs.

Clonality

Monoclonal

Host

Rat

Isotype

IgG2B

Scientific Data Images for Human TOR Antibody

TOR antibody in MCF-7 Human Cell Line by Immunocytochemistry (ICC).

TOR in MCF‑7 Human Cell Line.

TOR was detected in immersion fixed MCF-7 human breast cancer cell line using Rat Anti-Human TOR Monoclonal Antibody (Catalog # MAB15371) at 8 µg/mL for 3 hours at room temperature. Cells were stained using the NorthernLights™ 557-conjugated Anti-Rat IgG Secondary Antibody (red; Catalog # NL013) and counterstained with DAPI (blue). Specific staining was localized to nuclei. View our protocol for Fluorescent ICC Staining of Cells on Coverslips.
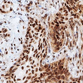
TOR antibody in Human Squamous Cell Carcinoma by Immunohistochemistry (IHC-P).

TOR in Human Squamous Cell Carcinoma.

TOR was detected in immersion fixed paraffin-embedded sections of human squamous cell carcinoma using Rat Anti-Human TOR Monoclonal Antibody (Catalog # MAB15371) at 5 µg/mL overnight at 4 °C. Tissue was stained using the Anti-Rat HRP-DAB Cell & Tissue Staining Kit (brown; Catalog # CTS017) and counterstained with hematoxylin (blue). Specific staining was localized to nuclei. View our protocol for Chromogenic IHC Staining of Paraffin-embedded Tissue Sections.

Applications for Human TOR Antibody

Application
Recommended Usage

Immunocytochemistry

8-25 µg/mL
Sample: Immersion fixed MCF-7 human breast cancer cell line

Immunohistochemistry

5-25 µg/mL
Sample: Immersion fixed paraffin-embedded sections of human squamous cell carcinoma

Formulation, Preparation, and Storage

Purification

Protein A or G purified from hybridoma culture supernatant

Reconstitution

Reconstitute at 0.5 mg/mL in sterile PBS. For liquid material, refer to CoA for concentration.

Reconstitution Buffer Available:
Size / Price
Qty
Loading...

Formulation

Lyophilized from a 0.2 μm filtered solution in PBS with Trehalose. *Small pack size (SP) is supplied either lyophilized or as a 0.2 µm filtered solution in PBS.

Shipping

Lyophilized product is shipped at ambient temperature. Liquid small pack size (-SP) is shipped with polar packs. Upon receipt, store immediately at the temperature recommended below.

Stability & Storage

Use a manual defrost freezer and avoid repeated freeze-thaw cycles.
  • 12 months from date of receipt, -20 to -70 °C as supplied.
  • 1 month, 2 to 8 °C under sterile conditions after reconstitution.
  • 6 months, -20 to -70 °C under sterile conditions after reconstitution.

Background: TOR

TOR, also known as FRAP1, is a member of the PI 3-kinase-related kinase (PIKK) family. It is the protein target of rapamycin, an anti-rejection drug used in transplantation and promising anti-cancer agent. TOR plays a crucial role in the control of cell growth and proliferation as a downstream target of the PI 3-kinase/Akt signal transduction pathway.

Long Name

Mammalian Target of Rapamycin

Alternate Names

FRAP1, FRAP2, MTOR, RAFT1

Entrez Gene IDs

2475 (Human); 287871 (Rat)

Gene Symbol

MTOR

UniProt

Additional TOR Products

Product Documents for Human TOR Antibody

Certificate of Analysis

To download a Certificate of Analysis, please enter a lot number in the search box below.

Note: Certificate of Analysis not available for kit components.

Product Specific Notices for Human TOR Antibody

For research use only

Loading...
Loading...
Loading...
Loading...