Skip to main content

Key Product Details

Species Reactivity

Validated:

Human

Cited:

Human

Applications

Validated:

Western Blot

Cited:

Western Blot, Neutralization, Immunocytochemistry, Immunoprecipitation, Functional Assay Control

Label

Unconjugated

Antibody Source

Polyclonal Goat IgG

Product Specifications

Immunogen

Mouse myeloma cell line NS0-derived recombinant human TLR3
Lys27-Ser711
Accession # O15455

Specificity

Detects human TLR3 in direct ELISAs and Western blots.

Clonality

Polyclonal

Host

Goat

Isotype

IgG

Scientific Data Images for Human TLR3 Antibody

Detection of Human TLR3 by Western Blot

Detection of Human TLR3 by Western Blot

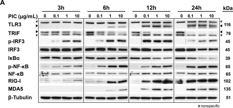
Poly(I:C) activates the TLR3/TRIF signaling.(A) HLECs were stimulated with Poly(I:C) at 0.1, 1 and 10 μg/mL for 3, 6, 12 and 24 h. Whole cell lysates were analyzed for TLR3, TRIF, phosphorylated-IRF3, total IRF3, I kappaB alpha, phosphorylated-NF-kappa B, NF-kappa B, RIG-I, MDA5, and beta-tubulin (as a loading control) by Western blot. Arrowheads indicate TLR3 (116 kDa, lower band) and TRIF (76 kDa, top band). #, indicates a nonspecific band. Immunoblots are representative of three separate experiments that all showed similar results. (B) Poly(I:C) induces nuclear translocation of NF-kappa B. HLEC were stimulated with medium (NT) or 5 μg/mL Poly(I:C) for 24 h. Immunofluorescence staining was performed using antibodies against NF-kappa B (red) and nuclei were counterstained with Hoechst 33342 (blue). Images are representative of three separate experiments (400x total magnification). Image collected and cropped by CiteAb from the following open publication (https://dx.plos.org/10.1371/journal.pone.0160875), licensed under a CC-BY license. Not internally tested by R&D Systems.
Detection of Human TLR3 by Western Blot

Detection of Human TLR3 by Western Blot

Poly(I:C) activates the TLR3/TRIF signaling.(A) HLECs were stimulated with Poly(I:C) at 0.1, 1 and 10 μg/mL for 3, 6, 12 and 24 h. Whole cell lysates were analyzed for TLR3, TRIF, phosphorylated-IRF3, total IRF3, I kappaB alpha, phosphorylated-NF-kappa B, NF-kappa B, RIG-I, MDA5, and beta-tubulin (as a loading control) by Western blot. Arrowheads indicate TLR3 (116 kDa, lower band) and TRIF (76 kDa, top band). #, indicates a nonspecific band. Immunoblots are representative of three separate experiments that all showed similar results. (B) Poly(I:C) induces nuclear translocation of NF-kappa B. HLEC were stimulated with medium (NT) or 5 μg/mL Poly(I:C) for 24 h. Immunofluorescence staining was performed using antibodies against NF-kappa B (red) and nuclei were counterstained with Hoechst 33342 (blue). Images are representative of three separate experiments (400x total magnification). Image collected and cropped by CiteAb from the following open publication (https://dx.plos.org/10.1371/journal.pone.0160875), licensed under a CC-BY license. Not internally tested by R&D Systems.

Applications for Human TLR3 Antibody

Application
Recommended Usage

Western Blot

0.1 µg/mL
Sample: Recombinant Human TLR3 (Catalog # 1487-TR)

Formulation, Preparation, and Storage

Purification

Antigen Affinity-purified

Reconstitution

Reconstitute at 0.2 mg/mL in sterile PBS. For liquid material, refer to CoA for concentration.

Reconstitution Buffer Available:
Size / Price
Qty
Loading...

Formulation

Lyophilized from a 0.2 μm filtered solution in PBS with Trehalose. *Small pack size (SP) is supplied either lyophilized or as a 0.2 µm filtered solution in PBS.

Shipping

Lyophilized product is shipped at ambient temperature. Liquid small pack size (-SP) is shipped with polar packs. Upon receipt, store immediately at the temperature recommended below.

Stability & Storage

Use a manual defrost freezer and avoid repeated freeze-thaw cycles.
  • 12 months from date of receipt, -20 to -70 °C as supplied.
  • 1 month, 2 to 8 °C under sterile conditions after reconstitution.
  • 6 months, -20 to -70 °C under sterile conditions after reconstitution.

Background: TLR3

Human TLR3 is a 116 kDa type I transmembrane glycoprotein that belongs to the mammalian Toll-Like Receptor family of pathogen pattern recognition molecules (1, 2). There are at least eleven mouse and ten human members that activate the innate immune system following exposure to a variety of microbial species (3). The human TLR3 cDNA encodes a 904 amino acid (aa) precursor that contains a 23 aa signal sequence, a 681 aa extracellular domain (ECD), a 21 aa transmembrane segment, and a 179 aa cytoplasmic region (4). The horseshoe shaped ECD (5, 6) contains 23 leucine rich repeats, and the cytoplasmic domain contains one Toll/IL-1 receptor (TIR) domain. The ECD of human TLR3 shares 80%, 79%, and 77% aa sequence identity with the ECD of rat, mouse, and bovine TLR3, respectively. TLR3 is found in phagosomes (7), where the acidic pH enables binding of internalized double stranded RNA and mRNA from viruses, parasites, and necrotic virally-infected cells (8 - 11). Ligand binding by TLR3 induces receptor dimerization (5, 6, 8) leading to the release of inflammatory cytokines and dendritic cell maturation (9, 11 - 13). TLR3 is expressed in dendritic cells, macrophages, microglia, and astrocytes (13 - 15) and is upregulated by IFN-beta and LPS (9, 14). TLR3 expression is also induced by lung fibroblasts and epithelial cells by respiratory syncytial virus infection (12).

References

  1. Sen, G.C. and S.N. Sarkar (2005) Cytokine Growth Factor Rev. 16:1.
  2. Schroder, M. and A.G. Bowie (2005) Trends Immunol. 26:462.
  3. Hopkins, P.A. and S. Sriskandan (2005) Clin. Exp. Immunol. 140:395.
  4. Rock, F.L. et al. (1998) Proc. Natl. Acad. Sci. 95:588.
  5. Choe, J. et al. (2005) Science 309:581.
  6. Bell, J.K. et al. (2005) Proc. Natl. Acad. Sci. 102:10976.
  7. Nishiya, T. et al. (2002) J. Biol. Chem. 280:37107.
  8. de Bouteiller, O. et al. (2005) J. Biol. Chem. 280:38133.
  9. Alexopoulou, L. et al. (2001) Nature 413:732.
  10. Aksoy, E. et al. (2005) J. Biol. Chem. 280:277.
  11. Kariko, K. et al. (2004) J. Biol. Chem. 279:12542.
  12. Rudd, B.D. et al. (2005) J. Virol. 79:3350.
  13. Farina, C. et al. (2005) J. Neuroimmunol. 159:12.
  14. Heinz, S. et al. (2003) J. Biol. Chem. 278:21502.
  15. Wang, T. et al. (2004) Nat. Med. 10:1366.

Long Name

Toll-like Receptor 3

Alternate Names

CD283

Entrez Gene IDs

7098 (Human); 142980 (Mouse); 364594 (Rat)

Gene Symbol

TLR3

UniProt

Additional TLR3 Products

Product Documents for Human TLR3 Antibody

Certificate of Analysis

To download a Certificate of Analysis, please enter a lot number in the search box below.

Note: Certificate of Analysis not available for kit components.

Product Specific Notices for Human TLR3 Antibody

For research use only

Loading...
Loading...
Loading...
Loading...