Skip to main content

Key Product Details

Species Reactivity

Validated:

Human

Cited:

Human, Mouse, Rat, Primate - Papio anubis (Olive Baboon), Rabbit

Applications

Validated:

Immunohistochemistry, Western Blot, Blockade of Receptor-ligand Interaction, Simple Western

Cited:

Immunohistochemistry, Immunohistochemistry-Paraffin, Immunohistochemistry-Frozen, Western Blot, Neutralization, Flow Cytometry, Immunocytochemistry, Immunoprecipitation

Label

Unconjugated

Antibody Source

Polyclonal Goat IgG

Product Specifications

Immunogen

Mouse myeloma cell line NS0-derived recombinant human Tie-2
Ala23-Lys745
Accession # Q02763

Specificity

Detects human Tie-2 in direct ELISAs and Western blots.

Clonality

Polyclonal

Host

Goat

Isotype

IgG

Endotoxin Level

<0.10 EU per 1 μg of the antibody by the LAL method.

Scientific Data Images for Human Tie-2 Antibody

Detection of Human Tie-2 antibody by Western Blot.

Detection of Human Tie‑2 by Western Blot.

Western blot shows lysate of HUVEC human umbilical vein endothelial cells. PVDF membrane was probed with 1 µg/mL of Goat Anti-Human Tie-2 Antigen Affinity-purified Polyclonal Antibody (Catalog # AF313) followed by HRP-conjugated Anti-Goat IgG Secondary Antibody (HAF017). A specific band was detected for Tie-2 at approximately 150 kDa (as indicated). This experiment was conducted under reducing conditions and using Immunoblot Buffer Group 1.
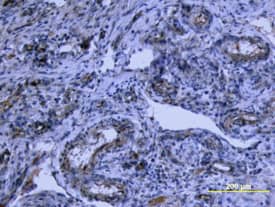
Tie-2 antibody in Human Placenta by Immunohistochemistry (IHC-P).

Tie‑2 in Human Placenta.

Tie-2 was detected in immersion fixed paraffin-embedded sections of human placenta using Goat Anti-Human Tie-2 Antigen Affinity-purified Polyclonal Antibody (Catalog # AF313) at 10 µg/mL overnight at 4 °C. Tissue was stained using the Anti-Goat HRP-DAB Cell & Tissue Staining Kit (brown; CTS008) and counterstained with hematoxylin (blue). View our protocol for Chromogenic IHC Staining of Paraffin-embedded Tissue Sections.
Detection of Human Tie-2 antibody by Simple WesternTM.

Detection of Human Tie‑2 by Simple WesternTM.

Simple Western lane view shows lysates of HUVEC human umbilical vein endothelial cells, loaded at 0.2 mg/mL. A specific band was detected for Tie-2 at approximately 161 kDa (as indicated) using 10 µg/mL of Goat Anti-Human Tie-2 Antigen Affinity-purified Polyclonal Antibody (Catalog # AF313) followed by 1:50 dilution of HRP-conjugated Anti-Goat IgG Secondary Antibody (HAF109). This experiment was conducted under reducing conditions and using the 12-230 kDa separation system.

Applications for Human Tie-2 Antibody

Application
Recommended Usage

Blockade of Receptor-ligand Interaction

In a functional ELISA, Human Tie-2 Antibody (Catalog # AF313) blocks the binding of Recombinant Human Tie-2 Fc Chimera (Catalog # 313-TI) to Biotinylated Recombinant Human Angiopoietin-2. The Neutralization Dose (ND50) for this effect is typically 1.00-12.0 µg/mL.

Immunohistochemistry

5-15 µg/mL
Sample: Immersion fixed paraffin-embedded sections of human placenta

Simple Western

10 µg/mL
Sample: HUVEC human umbilical vein endothelial cells

Western Blot

1 µg/mL
Sample: HUVEC human umbilical vein endothelial cells

Reviewed Applications

Read 2 reviews rated 3.5 using AF313 in the following applications:

Formulation, Preparation, and Storage

Purification

Antigen Affinity-purified

Reconstitution

Reconstitute at 0.2 mg/mL in sterile PBS. For liquid material, refer to CoA for concentration.

Reconstitution Buffer Available:
Size / Price
Qty
Loading...

Formulation

Lyophilized from a 0.2 μm filtered solution in PBS with Trehalose. See Certificate of Analysis for details.
*Small pack size (-SP) is supplied either lyophilized or as a 0.2 µm filtered solution in PBS.

Shipping

Lyophilized product is shipped at ambient temperature. Liquid small pack size (-SP) is shipped with polar packs. Upon receipt, store immediately at the temperature recommended below.

Stability & Storage

Use a manual defrost freezer and avoid repeated freeze-thaw cycles.
  • 12 months from date of receipt, -20 to -70 °C as supplied.
  • 1 month, 2 to 8 °C under sterile conditions after reconstitution.
  • 6 months, -20 to -70 °C under sterile conditions after reconstitution.

Background: Tie-2

Tie-1/Tie (tyrosine kinase with Ig and EGF homology domains 1) and Tie-2/Tek comprise a receptor tyrosine kinase (RTK) subfamily with unique structural characteristics: two immunoglobulin-like domains flanking three epidermal growth factor (EGF)-like domains and followed by three fibronectin type III-like repeats in the extracellular region and a split tyrosine kinase domain in the cytoplasmic region. These receptors are expressed primarily on endothelial and hematopoietic progenitor cells and play critical roles in angiogenesis, vasculogenesis and hematopoiesis.

Human Tie-2 cDNA encodes a 1124 amino acid (aa) residue precursor protein with an 18 residue putative signal peptide, a 727 residue extracellular domain and a 354 residue cytoplasmic domain. Two ligands, angiopoietin-1 (Ang-1) and angiopoietin-2 (Ang-2), which bind Tie-2 with high-affinity have been identified. Ang-2 has been reported to act as an antagonist for Ang-1. Mice engineered to overexpress Ang-2 or to lack Ang-1 or Tie-2 display similar angiogenesis defects.

References

  1. Partanen, J. and D.J. Dumont (1999) Curr. Top. Microbiol. Immunol. 237:159.
  2. Takakura, N. et al. (1998) Immunity 9:677.
  3. Procopio, W. et al. (1999) J. Biol. Chem. 274:30196.

Long Name

Tyrosine Kinase with Immunoglobulin and Epidermal Growth Factor Homology Domains 2

Alternate Names

CD202b, TEK, Tie2

Entrez Gene IDs

7010 (Human); 21687 (Mouse); 89804 (Rat); 396729 (Porcine); 403714 (Canine); 102122204 (Cynomolgus Monkey); 30747 (Zebrafish)

Gene Symbol

TEK

UniProt

Additional Tie-2 Products

Product Documents for Human Tie-2 Antibody

Certificate of Analysis

To download a Certificate of Analysis, please enter a lot number in the search box below.

Note: Certificate of Analysis not available for kit components.

Product Specific Notices for Human Tie-2 Antibody

For research use only

Loading...
Loading...
Loading...
Loading...
Loading...