Skip to main content

Key Product Details

Validated by

Knockout/Knockdown

Species Reactivity

Validated:

Human

Cited:

Human

Applications

Validated:

Knockout Validated, Immunohistochemistry, Western Blot

Cited:

IF/IHC

Label

Unconjugated

Antibody Source

Monoclonal Mouse IgG2B Clone # 545103

Product Specifications

Immunogen

E. coli-derived recombinant human STAT2
Met1-Phe851
Accession # P52630

Specificity

Detects human STAT2 in direct ELISAs. In direct ELISAs, this antibody shows no cross-reactivity with rhSTAT1, 1A, 3, 4, 5A, 5B, 6, or rmSTAT2.

Clonality

Monoclonal

Host

Mouse

Isotype

IgG2B

Scientific Data Images for Human STAT2 Antibody

Western Blot Shows Human STAT2 Specificity by Using Knockout Cell Line.

Western Blot Shows Human STAT2 Specificity by Using Knockout Cell Line.

Western blot shows lysates of HeLa human cervical epithelial carcinoma parental cell line and STAT2 knockout HeLa cell line (KO). PVDF membrane was probed with 1 µg/mL of Mouse Anti-Human STAT2 Monoclonal Antibody (Catalog # MAB16661) followed by HRP-conjugated Anti-Mouse IgG Secondary Antibody (Catalog # HAF018). A specific band was detected for STAT2 at approximately 110 kDa (as indicated) in the parental HeLa cell line, but is not detectable in knockout HeLa cell line. GAPDH (Catalog # MAB5718) is shown as a loading control. This experiment was conducted under reducing conditions and using Immunoblot Buffer Group 1.
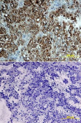
STAT2 antibody in Human Kidney by Immunohistochemistry (IHC-P).

STAT2 in Human Kidney.

STAT2 was detected in immersion fixed paraffin-embedded sections of human kidney array using Mouse Anti-Human STAT2 Monoclonal Antibody (Catalog # MAB16661) at 25 µg/mL overnight at 4 °C. Tissue was stained using the Anti-Mouse HRP-DAB Cell & Tissue Staining Kit (brown; Catalog # CTS002) and counterstained with hematoxylin (blue). Lower panel shows a lack of labeling if primary antibodies are omitted and tissue is stained only with secondary antibody followed by incubation with detection reagents. View our protocol for Chromogenic IHC Staining of Paraffin-embedded Tissue Sections.

Applications for Human STAT2 Antibody

Application
Recommended Usage

Immunohistochemistry

8-25 µg/mL
Sample: Immersion fixed paraffin-embedded sections of human kidney

Knockout Validated

STAT2 is specifically detected in HeLa human cervical epithelial carcinoma parental cell line but is not detectable in STAT2 knockout HeLa cell line.

Western Blot

1 µg/mL
Sample: HeLa human cervical epithelial carcinoma cell line

Formulation, Preparation, and Storage

Purification

Protein A or G purified from hybridoma culture supernatant

Reconstitution

Reconstitute at 0.5 mg/mL in sterile PBS. For liquid material, refer to CoA for concentration.

Reconstitution Buffer Available:
Size / Price
Qty
Loading...

Formulation

Lyophilized from a 0.2 μm filtered solution in PBS with Trehalose. *Small pack size (SP) is supplied either lyophilized or as a 0.2 µm filtered solution in PBS.

Shipping

Lyophilized product is shipped at ambient temperature. Liquid small pack size (-SP) is shipped with polar packs. Upon receipt, store immediately at the temperature recommended below.

Stability & Storage

Use a manual defrost freezer and avoid repeated freeze-thaw cycles.
  • 12 months from date of receipt, -20 to -70 °C as supplied.
  • 1 month, 2 to 8 °C under sterile conditions after reconstitution.
  • 6 months, -20 to -70 °C under sterile conditions after reconstitution.

Background: STAT2

Signal transducer and activator of transcription 2 (STAT2) is a 98 kDa member of the transcription factor STAT family. Human STAT2 is 851 amino acids (aa) in length and contains one SH2 domain (aa 572‑667). Splicing variants produce two isoforms for human STAT2. The short isoform has substitutions corresponding to aa 621‑652 and aa 653‑851 in the long isoform, respectively. Human STAT2 shares 73% and 65% aa sequence identity with rat and mouse STAT2, in that order. STAT2 functions as a signal transducer and activator of transcription that mediates signaling by type I IFNs (IFN-alpha and IFN-beta).

Long Name

Signal Transducer and Activator of Transcription 2

Alternate Names

interferon alpha induced transcriptional activator, ISGF-3, MGC59816, P113, signal transducer and activator of transcription 2, signal transducer and activator of transcription 2, 113kD, signal transducer and activator of transcription 2, 113kDa, STAT113

Entrez Gene IDs

6773 (Human); 20847 (Mouse)

Gene Symbol

STAT2

UniProt

Additional STAT2 Products

Product Documents for Human STAT2 Antibody

Certificate of Analysis

To download a Certificate of Analysis, please enter a lot number in the search box below.

Note: Certificate of Analysis not available for kit components.

Product Specific Notices for Human STAT2 Antibody

For research use only

Loading...
Loading...
Loading...
Loading...