Skip to main content

Key Product Details

Validated by

Biological Validation

Species Reactivity

Validated:

Human

Cited:

Human

Applications

Validated:

Immunohistochemistry, Western Blot, Blockade of Receptor-ligand Interaction, Immunocytochemistry

Cited:

Western Blot, Immunoprecipitation

Label

Unconjugated

Antibody Source

Polyclonal Goat IgG

Product Specifications

Immunogen

Mouse myeloma cell line NS0-derived recombinant human SR-AI/MSR type A isoform 1
Lys77-Leu451
Accession # P21757

Specificity

Detects human SR-AI/MSR in direct ELISAs and Western blots. In direct ELISAs, approximately 25% cross-reactivity with recombinant mouse SR-AI is observed.

Clonality

Polyclonal

Host

Goat

Isotype

IgG

Endotoxin Level

<0.10 EU per 1 μg of the antibody by the LAL method.

Scientific Data Images for Human SR-AI/MSR Antibody

Detection of Human SR-AI/MSR antibody by Western Blot.

Detection of Human SR‑AI/MSR by Western Blot.

Western blot shows lysates of THP-1 human acute monocytic leukemia cell line untreated (-) or treated (+) with PMA. PVDF membrane was probed with 0.2 µg/mL of Goat Anti-Human SR-AI/MSR Antigen Affinity-purified Polyclonal Antibody (Catalog # AF2708) followed by HRP-conjugated Anti-Goat IgG Secondary Antibody (Catalog # HAF017). A specific band was detected for SR-AI/MSR at approximately 80 kDa (as indicated). This experiment was conducted under reducing conditions and using Immunoblot Buffer Group 1.
SR-AI/MSR antibody in THP-1 Human Cell Line by Immunocytochemistry (ICC).

SR‑AI/MSR in THP-1 Human Cell Line.

SR-AI/MSR was detected in immersion fixed THP-1 human acute monocytic leukemia cell line untreated (right panel) and treated with PMA (left panel) using Goat Anti-Human SR-AI/MSR Antigen Affinity-purified Polyclonal Antibody (Catalog # AF2708) at 1.7 µg/mL for 3 hours at room temperature. Cells were stained using the NorthernLights™ 557-conjugated Anti-Goat IgG Secondary Antibody (red; Catalog # NL001) and counterstained with DAPI (blue). Specific staining was localized to cytoplasm. View our protocol for Fluorescent ICC Staining of Non-adherent Cells.
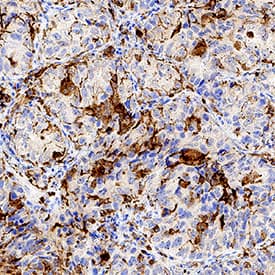
SR-AI/MSR antibody in Human Lung Tissue by Immunohistochemistry (IHC-P).

SR-AI/MSR in Human Lung Tissue.

SR-AI/MSR was detected in immersion fixed paraffin-embedded sections of human lung tissue using Goat Anti-Human SR-AI/MSR Antigen Affinity-purified Polyclonal Antibody (Catalog # AF2708) at 1 µg/mL for 1 hour at room temperature followed by incubation with the Anti-Goat IgG VisUCyte™ HRP Polymer Antibody (Catalog # VC004). Tissue was stained using DAB (brown) and counterstained with hematoxylin (blue). Specific staining was localized to macrophages. View our protocol for IHC Staining with VisUCyte HRP Polymer Detection Reagents.

Applications for Human SR-AI/MSR Antibody

Application
Recommended Usage

Blockade of Receptor-ligand Interaction

In a functional ELISA, 0.5-2 µg/mL of this antibody will block 50% of the binding of 400 ng/mL of biotinylated AGE-BSA to immobilized Recombinant Human SR-AI/MSR (Catalog # 2708-MS) coated at 5 µg/mL (100 µL/well). At 20 μg/mL, this antibody will block >90% of the binding.

Immunocytochemistry

1-15 µg/mL
Sample: Immersion fixed THP‑1 human acute monocytic leukemia cell line

Immunohistochemistry

1-15 µg/mL
Sample: Immersion fixed paraffin-embedded sections of human lung tissue

Western Blot

0.2 µg/mL
Sample: THP‑1 human acute monocytic leukemia cell line treated with PMA

Formulation, Preparation, and Storage

Purification

Antigen Affinity-purified

Reconstitution

Reconstitute at 0.2 mg/mL in sterile PBS. For liquid material, refer to CoA for concentration.

Reconstitution Buffer Available:
Size / Price
Qty
Loading...

Formulation

Lyophilized from a 0.2 μm filtered solution in PBS with Trehalose. *Small pack size (SP) is supplied either lyophilized or as a 0.2 µm filtered solution in PBS.

Shipping

Lyophilized product is shipped at ambient temperature. Liquid small pack size (-SP) is shipped with polar packs. Upon receipt, store immediately at the temperature recommended below.

Stability & Storage

Use a manual defrost freezer and avoid repeated freeze-thaw cycles.
  • 12 months from date of receipt, -20 to -70 °C as supplied.
  • 1 month, 2 to 8 °C under sterile conditions after reconstitution.
  • 6 months, -20 to -70 °C under sterile conditions after reconstitution.

Background: SR-AI/MSR

The type I class A macrophage scavenger receptor (SR-AI; also MSR-AI) is a 70-80 kDa protein that belongs to an ever expanding family of transmembrane molecules collectively referred to as scavenger receptors (1-3). Receptors of this family contain characteristic extracellular domains and bind to a series of generally unrelated, but negatively-charged/polyanionic ligands (1, 3). Human SR-AI is a type II transmembrane glycoprotein that is 451 amino acids (aa) in length. It contains a 50 aa cytoplasmic tail, a 26 aa transmembrane segment and a 375 aa extracellular region (4, 5). The extracellular region contains four definitive domains, with a membrane proximal spacer of 33 aa, an alpha-helical coiled-coil domain of 163 aa, a collagen-like domain of 69 aa, and a cysteine-rich C-terminus of 110 aa (4, 6). The cysteine-rich domain (CRD) forms three intrachain disulfide bonds (7). The functional form of the molecule is a 220-230 kDa membrane-associated trimer that, in human, apparently has two disulfide bonded chains and a third noncovalently associated subunit (8, 9). Human extracellular region is 73% and 72% aa identical to bovine and mouse SR-AI extracellular region, respectively. The human gene for SR-A gives rise to three isoforms; the I isoform of 451 aa, the II isoform of 358 aa, and the III isoform of 388 aa (4, 5, 10). All are equal through the first 344 aa which includes the cytoplasmic tail through the collagenous domain. Isoform II (SR-AII) shows a severe truncation of the CRD, but is expressed on the cell surface. Isoform III (SR-AIII) has a modest truncation of the CRD, and cannot be expressed on the cell surface. Their functions are unknown. However, relative to SR-AI, SR-AII is known to show differential sensitivity to LPS and receptor binding to gram-negative bacteria (9, 11), while SR-AIII is known to be a dominant-negative isoform (10). SR-AIII may achieve this by either heterotrimerizing with SR-AI, or simply eliminating the production of SR-AI mRNA.

References

  1. Platt, N. and S. Gordon (2001) J. Clin. Invest. 108:649.
  2. Linton, M.F. and S. Fazio (2001) Curr. Opin. Lipidol. 12:489.
  3. Platt, N. and S. Gordon (1998) Chem. Biol. 5:R193.
  4. Matsumoto, A. et al. (1990) Proc. Natl. Acad. Sci. USA 87:9133.
  5. Emi, M. et al. (1993) J. Biol. Chem. 268:2120.
  6. Naito, M. et al. (1992) Am. J. Pathol. 141:591.
  7. Resnick, D. et al. (1996) J. Biol. Chem. 271:26924.
  8. Ashkenas, J. et al. (1993) J. Lipid Res. 34:983.
  9. Penman, M. et al. (1991) J. Biol. Chem. 266:23985.
  10. Gough, P.J. et al. (1998) J. Lipid Res. 39:531.
  11. Peiser, L. et al. (2000) Inf. Immun. 68:1953.

Long Name

Macrophage Scavenger Receptor Types I and II

Alternate Names

CD204, MSR1, SCARA1, SRAI

Entrez Gene IDs

4481 (Human); 20288 (Mouse); 25073 (Rat)

Gene Symbol

MSR1

UniProt

Additional SR-AI/MSR Products

Product Documents for Human SR-AI/MSR Antibody

Certificate of Analysis

To download a Certificate of Analysis, please enter a lot number in the search box below.

Note: Certificate of Analysis not available for kit components.

Product Specific Notices for Human SR-AI/MSR Antibody

For research use only

Loading...
Loading...
Loading...
Loading...