Skip to main content

Key Product Details

Validated by

Biological Validation

Species Reactivity

Validated:

Human

Cited:

Human, Mouse

Applications

Validated:

Immunohistochemistry, Western Blot, Simple Western

Cited:

Immunohistochemistry, Western Blot

Label

Unconjugated

Antibody Source

Polyclonal Goat IgG

Product Specifications

Immunogen

E. coli-derived recombinant human Smad1
Asn2-Met454
Accession # Q15797

Specificity

Detects human Smad1 in direct ELISAs and Western blots. In direct ELISAs, approximately 15% cross-reactivity with recombinant human (rh) Smad5 is observed, and less than 5% cross-reactivity rhSmad4 and rhSmad9 is observed.

Clonality

Polyclonal

Host

Goat

Isotype

IgG

Scientific Data Images for Human Smad1 Antibody

Smad1 antibody in Human Breast Cancer Tissue by Immunohistochemistry (IHC-P).

Smad1 in Human Breast Cancer Tissue.

Smad1 was detected in immersion fixed paraffin-embedded sections of human breast cancer tissue using Goat Anti-Human Smad1 Antigen Affinity-purified Polyclonal Antibody (Catalog # AF2039) at 15 µg/mL overnight at 4 °C. Tissue was stained using the Anti-Goat HRP-DAB Cell & Tissue Staining Kit (brown; Catalog # CTS008) and counterstained with hematoxylin (blue). Specific labeling was localized to the nuclei of glandular epithelial cells. View our protocol for Chromogenic IHC Staining of Paraffin-embedded Tissue Sections.
Detection of Human Smad1 antibody by Western Blot.

Detection of Human Smad1 by Western Blot.

Western blot shows lysates of HepG2 human hepatocellular carcinoma cell line, MBA-MB-468 human breast cancer cell line, and HT-29 human colon adenocarcinoma cell line. PVDF membrane was probed with 0.5 µg/mL of Goat Anti-Human Smad1 Antigen Affinity-purified Polyclonal Antibody (Catalog # AF2039) followed by HRP-conjugated Anti-Goat IgG Secondary Antibody (Catalog # HAF109). A specific band was detected for Smad1 at approximately 63 kDa (as indicated). This experiment was conducted under reducing conditions and using Immunoblot Buffer Group 1.
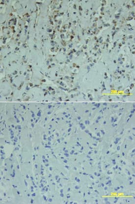
Smad1 antibody in Human Breast by Immunohistochemistry (IHC-P).

Smad1 in Human Breast.

Smad1 was detected in immersion fixed paraffin-embedded sections of human breast array using Goat Anti-Human Smad1 Antigen Affinity-purified Polyclonal Antibody (Catalog # AF2039) at 15 µg/mL overnight at 4 °C. Tissue was stained using the Anti-Goat HRP-DAB Cell & Tissue Staining Kit (brown; Catalog # CTS008) and counterstained with hematoxylin (blue). Lower panel shows a lack of labeling if primary antibodies are omitted and tissue is stained only with secondary antibody followed by incubation with detection reagents. View our protocol for Chromogenic IHC Staining of Paraffin-embedded Tissue Sections.

Applications for Human Smad1 Antibody

Application
Recommended Usage

Immunohistochemistry

5-15 µg/mL
Sample: Immersion fixed paraffin-embedded sections of human breast cancer tissue and human breast array

Simple Western

5 µg/mL
Sample: HepG2 human hepatocellular carcinoma cell line and MDA‑MB‑468 human breast cancer cell line

Western Blot

0.5 µg/mL
Sample: HepG2 human hepatocellular carcinoma cell line, MBA-MB-468 human breast cancer cell line, and HT-29 human colon adenocarcinoma cell line

Reviewed Applications

Read 2 reviews rated 4 using AF2039 in the following applications:

Formulation, Preparation, and Storage

Purification

Antigen Affinity-purified

Reconstitution

Reconstitute at 0.2 mg/mL in sterile PBS. For liquid material, refer to CoA for concentration.

Reconstitution Buffer Available:
Size / Price
Qty
Loading...

Formulation

Lyophilized from a 0.2 μm filtered solution in PBS with Trehalose. *Small pack size (SP) is supplied either lyophilized or as a 0.2 µm filtered solution in PBS.

Shipping

Lyophilized product is shipped at ambient temperature. Liquid small pack size (-SP) is shipped with polar packs. Upon receipt, store immediately at the temperature recommended below.

Stability & Storage

Use a manual defrost freezer and avoid repeated freeze-thaw cycles.
  • 12 months from date of receipt, -20 to -70 °C as supplied.
  • 1 month, 2 to 8 °C under sterile conditions after reconstitution.
  • 6 months, -20 to -70 °C under sterile conditions after reconstitution.

Background: Smad1

Smads are a family of intracellular proteins that transmit transforming growth factor beta (TGF-beta) superfamily signals from the cell surface to the nucleus. Upon signaling by some BMP family members, Smad1 is phosphorylated resulting in its association with the common-mediator subunit, Smad4. This heteromeric complex then translocates into the nucleus to exert transcriptional comodulator activity.

Long Name

Mothers Against DPP Homolog 1

Alternate Names

BSP1, BSP-1, hSMAD1, JV4-1SMAD, mothers against DPP homolog 1 (Drosophila), MAD homolog 1, MADH1JV41, MADR1MAD, mothers against decapentaplegic homolog 1 (Drosophila), Mad-related protein 1, mothers against decapentaplegic homolog 1, Mothers against DPP homolog 1, SMAD family member 1SMAD 1, SMAD, mothers against DPP homolog 1, Smad1, TGF-beta signaling protein 1, transforming growth factor-beta signaling protein 1

Entrez Gene IDs

4086 (Human)

Gene Symbol

SMAD1

UniProt

Additional Smad1 Products

Product Documents for Human Smad1 Antibody

Certificate of Analysis

To download a Certificate of Analysis, please enter a lot number in the search box below.

Note: Certificate of Analysis not available for kit components.

Product Specific Notices for Human Smad1 Antibody

For research use only

Loading...
Loading...
Loading...
Loading...