Skip to main content

Key Product Details

Species Reactivity

Validated:

Human

Cited:

Human, Mouse, Rat, Bovine, Ovine

Applications

Validated:

Immunohistochemistry, Western Blot, Neutralization, Flow Cytometry, CyTOF-ready

Cited:

Immunohistochemistry, Western Blot, Neutralization, Immunocytochemistry

Label

Unconjugated

Antibody Source

Polyclonal Goat IgG

Product Specifications

Immunogen

Mouse myeloma cell line NS0-derived recombinant human Siglec-5
Glu17-Thr434
Accession # O15389

Specificity

Detects human Siglec-5/14 in direct ELISAs and Western blots. In direct ELISAs, approximately 5% cross-reactivity with recombinant human (rh) Siglec-7 and rhSiglec-9 is observed and less than 1% cross-reactivity with rhSiglec-2 and rhSiglec-3 is observed.

Clonality

Polyclonal

Host

Goat

Isotype

IgG

Endotoxin Level

<0.10 EU per 1 μg of the antibody by the LAL method.

Scientific Data Images for Human Siglec-5/Siglec-14 Antibody

Cell Adhesion Mediated by Siglec-5 and Neutralization by Human Siglec-5/14 Antibody.

Cell Adhesion Mediated by Siglec-5 and Neutralization by Human Siglec-5/14 Antibody.

Recombinant Human Siglec-5 Fc Chimera (Catalog # 1072-SL), immobilized onto a microplate, supports the adhesion of human red blood cells in a dose-dependent manner (orange line). Adhesion elicited by Recombinant Human Siglec-5 Fc Chimera (5 µg/mL) is neutralized (green line) by increasing concentrations of Human Siglec-5/14 Antigen Affinity-purified Polyclonal Antibody (Catalog # AF1072). The ND50 is typically 0.5-2.0 µg/mL.
Detection of Siglec-5/14 antibody in Human Monocytes antibody by Flow Cytometry.

Detection of Siglec‑5/14 in Human Monocytes by Flow Cytometry.

Human whole blood monocytes were stained with Human Siglec-5/14 Antigen Affinity-purified Polyclonal Antibody (Catalog # AF1072, filled histogram) or control antibody (Catalog # AB-108-C, open histogram), followed by Phycoerythrin-conjugated Anti-Goat IgG Secondary Antibody (Catalog # F0107).

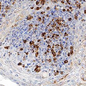
Siglec-5/Siglec-14 in Human Tonsil.

Siglec-5/Siglec-14 was detected in immersion fixed paraffin-embedded sections of human tonsil tissue using Goat Anti-Human Siglec-5/Siglec-14 Antigen Affinity-purified Polyclonal Antibody (Catalog # AF1072) at 5 µg/mL for 1 hour at room temperature followed by incubation with the Anti-Goat IgG VisUCyte™ HRP Polymer Antibody (VC004). Before incubation with the primary antibody, tissue was subjected to heat-induced epitope retrieval using Antigen Retrieval Reagent-Basic (CTS013). Tissue was stained using DAB (brown) and counterstained with hematoxylin (blue). Specific staining was localized to lymphocytes in germinal centers. Staining was performed using our protocol for IHC Staining with VisUCyte HRP Polymer Detection Reagents.

Applications for Human Siglec-5/Siglec-14 Antibody

Application
Recommended Usage

CyTOF-ready

Ready to be labeled using established conjugation methods. No BSA or other carrier proteins that could interfere with conjugation.

Flow Cytometry

2.5 µg/106 cells
Sample: Human whole blood monocytes

Immunohistochemistry

5-15 µg/mL
Sample: Immersion fixed paraffin-embedded sections of human tonsil tissue

Western Blot

0.1 µg/mL
Sample: Recombinant Human Siglec-5 Fc Chimera (Catalog # 1072-SL)

Neutralization

Measured by its ability to neutralize Siglec-5-mediated adhesion of human red blood cells. Kelm, S. et al. (1994) Current Biology 4:965. The Neutralization Dose (ND50) is typically 0.5-2.0 µg/mL in the presence of 5 µg/mL Recombinant Human Siglec-5 Fc Chimera.

Formulation, Preparation, and Storage

Purification

Antigen Affinity-purified

Reconstitution

Reconstitute at 0.2 mg/mL in sterile PBS. For liquid material, refer to CoA for concentration.

Reconstitution Buffer Available:
Size / Price
Qty
Loading...

Formulation

Lyophilized from a 0.2 μm filtered solution in PBS with Trehalose. *Small pack size (SP) is supplied either lyophilized or as a 0.2 µm filtered solution in PBS.

Shipping

Lyophilized product is shipped at ambient temperature. Liquid small pack size (-SP) is shipped with polar packs. Upon receipt, store immediately at the temperature recommended below.

Stability & Storage

Use a manual defrost freezer and avoid repeated freeze-thaw cycles.
  • 12 months from date of receipt, -20 to -70 °C as supplied.
  • 1 month, 2 to 8 °C under sterile conditions after reconstitution.
  • 6 months, -20 to -70 °C under sterile conditions after reconstitution.

Background: Siglec-5/Siglec-14

Siglecs (1) (sialic acid binding Ig-like lectins) are I-type (Ig-type) lectins (2) belonging to the Ig superfamily. They are characterized by an N-terminal Ig-like V-type domain which mediates sialic acid binding (3), followed by varying numbers of Ig-like C2-type domains (1, 4). Eleven human Siglecs have been cloned and characterized (1, 4). They are sialoadhesin/CD169/Siglec-1, CD22/Siglec-2, CD33/Siglec-3, Myelin-Associated Glycoprotein (MAG/Siglec-4a) and the Siglec-5 to 11 (4, 5,  6). To date, no Siglec has been shown to recognized any cell surface ligand other than sialic acids, suggesting that interactions with glycans containing this carbohydrate are important in mediating the biological functions of Siglecs. Siglec-5 to 11 share a high degree of sequence similarity with CD33/Siglec-3 both in their extracellular and intracellular regions. They are collectively referred to as CD33-related Siglecs. One remarkable feature of the CD33-related Siglecs is their differential expression pattern within the hematopoietic system (4, 5). This fact, together with the presence of two conserved immunoreceptor tyrosine-based inhibition motifs (ITIMs) in their cytoplasma tails, suggests that CD33-related Siglecs are involved in the regulation of cellular activation within the immune system.

References

  1. Crocker, P.R. et al. (1998) Glycobiology 8:v.
  2. Powell, L.D. et al. (1995) J. Biol. Chem. 270:14243.
  3. May, A.R. et al. (1998) Mol. Cell 1998. 1:719.
  4. Crocker, P.R. and A. Varki (2001) Trends Immunol. 22:337.
  5. Crocker, P.R. et al. (2001) Immunology 103:137.
  6. Angata, T. et al. (2002) J. Biol Chem. 277:24466.

Long Name

Sialic Acid Binding Ig-like Lectin 5

Alternate Names

CD170;CD33L2;OBBP2;OB-BP2;Sialic acid-binding Ig-like lectin 5;SIGLEC5;SIGLEC-5

Entrez Gene IDs

8778 (Human)

Gene Symbol

SIGLEC5

UniProt

Additional Siglec-5/Siglec-14 Products

Product Documents for Human Siglec-5/Siglec-14 Antibody

Certificate of Analysis

To download a Certificate of Analysis, please enter a lot number in the search box below.

Note: Certificate of Analysis not available for kit components.

Product Specific Notices for Human Siglec-5/Siglec-14 Antibody

For research use only

Loading...
Loading...
Loading...
Loading...
Loading...