Skip to main content

Human Siglec-11 Antibody

R&D Systems, part of Bio-Techne | Catalog # MAB3258

R&D Systems, part of Bio-Techne

Key Product Details

Species Reactivity

Validated:

Human

Cited:

Human

Applications

Validated:

Immunohistochemistry, Flow Cytometry, CyTOF-ready

Cited:

Flow Cytometry

Label

Unconjugated

Antibody Source

Monoclonal Mouse IgG2A Clone # 705904

Product Specifications

Immunogen

Human Siglec-11 synthetic peptide
PPARLSWTRWGQTVGPSQPSDPGVLELPPIC
Accession # Q96RL6

Specificity

Detects human Siglec-11 in direct ELISAs. In direct ELISAs, no cross-reactivity with Siglec-16 is observed.

Clonality

Monoclonal

Host

Mouse

Isotype

IgG2A

Scientific Data Images for Human Siglec-11 Antibody

Detection of Siglec-11 antibody in HEK293 Human Cell Line Transfected with Human Siglec-11 and eGFP antibody by Flow Cytometry.

Detection of Siglec‑11 in HEK293 Human Cell Line Transfected with Human Siglec-11 and eGFP by Flow Cytometry.

HEK293 human embryonic kidney cell line transfected with either (A) human Siglec-11 or (B) human Siglec-16 and eGFP was stained with Mouse Anti-Human Siglec-11 Monoclonal Antibody (Catalog # MAB3258) followed by Allophycocyanin-conjugated Anti-Mouse IgG Secondary Antibody (Catalog # F0101B) and . Quadrant markers were set based on control antibody staining (Catalog # MAB003). View our protocol for Staining Membrane-associated Proteins.
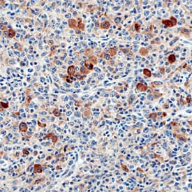
Siglec-11 antibody in Human Lymph Node by Immunohistochemistry (IHC-P).

Siglec‑11 in Human Lymph Node.

Siglec-11 was detected in immersion fixed paraffin-embedded sections of human lymph node using Mouse Anti-Human Siglec-11 Monoclonal Antibody (Catalog # MAB3258) at 5 µg/mL overnight at 4 °C. Before incubation with the primary antibody, tissue was subjected to heat-induced epitope retrieval using Antigen Retrieval Reagent-Basic (Catalog # CTS013). Tissue was stained using the Anti-Mouse HRP-DAB Cell & Tissue Staining Kit (brown; Catalog # CTS002) and counterstained with hematoxylin (blue). Specific staining was localized to cytoplasm. View our protocol for Chromogenic IHC Staining of Paraffin-embedded Tissue Sections.

Applications for Human Siglec-11 Antibody

Application
Recommended Usage

CyTOF-ready

Ready to be labeled using established conjugation methods. No BSA or other carrier proteins that could interfere with conjugation.

Flow Cytometry

0.25 µg/106 cells
Sample: HEK293 human embryonic kidney cell line transfected with human Siglec-11

Immunohistochemistry

8-25 µg/mL
Sample: Immersion fixed paraffin-embedded sections of human lymph node

Formulation, Preparation, and Storage

Purification

Protein A or G purified from hybridoma culture supernatant

Reconstitution

Sterile PBS to a final concentration of 0.5 mg/mL. For liquid material, refer to CoA for concentration.

Reconstitution Buffer Available:
Size / Price
Qty
Loading...

Formulation

Lyophilized from a 0.2 μm filtered solution in PBS with Trehalose. *Small pack size (SP) is supplied either lyophilized or as a 0.2 µm filtered solution in PBS.

Shipping

Lyophilized product is shipped at ambient temperature. Liquid small pack size (-SP) is shipped with polar packs. Upon receipt, store immediately at the temperature recommended below.

Stability & Storage

Use a manual defrost freezer and avoid repeated freeze-thaw cycles.
  • 12 months from date of receipt, -20 to -70 °C as supplied.
  • 1 month, 2 to 8 °C under sterile conditions after reconstitution.
  • 6 months, -20 to -70 °C under sterile conditions after reconstitution.

Background: Siglec-11

Siglecs (sialic acid binding Ig-like lectins) are I-type lectins that belong to the immunoglobulin superfamily. They are characterized by an N‑terminal Ig-like V-set domain which mediates sialic acid binding, followed by a varying numbers of Ig-like C2-set domains. Siglecs‑3 and 5‑13 constitute the CD33/Siglec-3 related group, which are defined by their sequence homology and differential expression in the hematopoietic system (1‑3). Mature human Siglec-11 consists of a 534 amino acid (aa) extracellular domain (ECD), a 23 aa transmembrane segment, and a 114 aa cytoplasmic domain. The ECD contains one Ig-like V-set domain, and three Ig-like C2-set domains. The cytoplasmic domain contains two immunoreceptor tyrosine-based inhibitory motifs (ITIMs) (4). A splice variant of Siglec-11 has a deletion of nearly 100 aa in the extracellular juxtamembrane region. Among siglecs, the ECD of Siglec-11 is most closely related to that of Siglec-10 (82% aa sequence identity). The cytoplasmic domains of these proteins are only 20% identical. Siglec-11 is closely related to the pseudogenes Siglec-14 and Siglec-16 (4, 5). Human Siglec-11 shares 90%‑96% aa sequence identity with Siglec-11 from great apes. Rodent orthologs of Siglec-11 have not been identified. In human, Siglec-11 is expressed in tissue macrophages, brain microglia, and inflammatory site monocytes (4). Strong microglial expression is specific to humans, as it is less prominent or absent in chimpanzees and orangutans (5). Siglec-11 forms 180 kDa disulfide-linked dimers. It shows a strong binding preference for sialic acid in alpha2-8 linkage which is unusual for siglecs (4). A conserved arginine in the Ig-like V-set domain only partially contributes to Siglec-11 ligand recognition, in contrast to its being required in other siglecs (4). Tyrosine phosphorylation of the cytoplasmic region of Siglec-11 promotes association with the phosphatases SHP-1 and SHP-2 (4).

References

  1. Varki, A. and T. Angata (2006) Glycobiology 16:1R.
  2. Crocker, P.R. (2005) Curr. Opin. Pharmacol. 5:431.
  3. Crocker, P.R. (2002) Curr. Opin. Struct. Biol. 12:609.
  4. Angata, T. et al. (2002) J. Biol. Chem. 277:24466.
  5. Hayakawa, T. et al. (2005) Science 309:1693.

Long Name

Sialic Acid Binding Ig-like Lectin 11

Alternate Names

Siglec11

Entrez Gene IDs

114132 (Human)

Gene Symbol

SIGLEC11

UniProt

Additional Siglec-11 Products

Product Documents for Human Siglec-11 Antibody

Certificate of Analysis

To download a Certificate of Analysis, please enter a lot number in the search box below.

Note: Certificate of Analysis not available for kit components.

Product Specific Notices for Human Siglec-11 Antibody

For research use only

Loading...
Loading...
Loading...
Loading...
Loading...