Skip to main content

Key Product Details

Validated by

Orthogonal Validation, Biological Validation

Species Reactivity

Validated:

Human

Cited:

Human, Mouse, Rat

Applications

Validated:

Immunohistochemistry, Western Blot, Intracellular Staining by Flow Cytometry, Dual RNAscope ISH-IHC Compatible, Immunocytochemistry, Simple Western, CyTOF-ready

Cited:

Immunohistochemistry, Immunohistochemistry-Frozen, Western Blot, Flow Cytometry, Immunocytochemistry, Immunocytochemistry/ Immunofluorescence, ELISA Detection

Label

Unconjugated

Antibody Source

Monoclonal Mouse IgG2A Clone # 188835

Product Specifications

Immunogen

Human Serum Albumin

Specificity

Detects human Serum Albumin in direct ELISAs and Western blots. Does not detect mouse Serum Albumin in direct ELISAs and Western blots.

Clonality

Monoclonal

Host

Mouse

Isotype

IgG2A

Scientific Data Images for Human Serum Albumin Antibody

Detection of Human Albumin antibody by Western Blot.

Detection of Human Albumin by Western Blot.

Western blot shows lysate of human liver tissue. PVDF membrane was probed with 1 µg/mL of Mouse Anti-Human Serum Albumin Monoclonal Antibody (Catalog # MAB1455) followed by HRP-conjugated Anti-Mouse IgG Secondary Antibody (Catalog # HAF018). A specific band was detected for Albumin at approximately 65-70 kDa (as indicated). This experiment was conducted under reducing conditions and using Immunoblot Buffer Group 1.
Albumin antibody in Hepatocytes Derived from Human Embryonic Stem Cells by Immunocytochemistry (ICC).

Albumin in Hepatocytes Derived from Human Embryonic Stem Cells.

Albumin was detected in immersion fixed BG01V human embryonic stem cells differentiated to hepatocytes using Mouse Anti-Human Serum Albumin Monoclonal Antibody (Catalog # MAB1455) at 10 µg/mL for 3 hours at room temperature. Cells were stained using the NorthernLights™ 557-conjugated Anti-Mouse IgG Secondary Antibody (red; Catalog # NL007) and counterstained with DAPI (blue). Specific staining was localized to cytoplasm. Cells were co-stained using Sheep Anti-Human CEBP alpha (Catalog # AF7094) and NorthernLights™ 493-conjugated Anti-Sheep IgG Secondary Antibody (green, Catalog # NL012). View our protocol for Fluorescent ICC Staining of Cells on Coverslips.
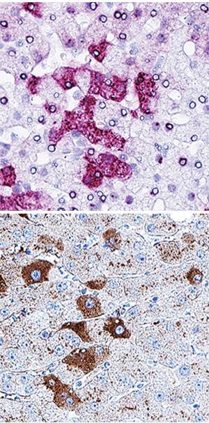
Albumin antibody in Human Liver by Immunohistochemistry (IHC-P).

Albumin in Human Liver.

Albumin was detected in immersion fixed paraffin-embedded sections of human liver using Mouse Anti-Human Serum Albumin Monoclonal Antibody (Catalog # MAB1455) at 0.1 µg/mL for 1 hour at room temperature followed by incubation with the Anti-Mouse IgG VisUCyte™ HRP Polymer Antibody (Catalog # VC001). Before incubation with the primary antibody, tissue was subjected to heat-induced epitope retrieval using Antigen Retrieval Reagent-Basic (Catalog # CTS013). Tissue was stained using DAB (brown) and counterstained with hematoxylin (blue). Specific staining was localized to cytoplasm and plasma membrane. View our protocol for IHC Staining with VisUCyte HRP Polymer Detection Reagents.

Applications for Human Serum Albumin Antibody

Application
Recommended Usage

CyTOF-ready

Ready to be labeled using established conjugation methods. No BSA or other carrier proteins that could interfere with conjugation.

Dual RNAscope ISH-IHC Compatible

0.05-25 µg/mL
Sample: Immersion fixed paraffin-embedded sections of human liver

Immunocytochemistry

8-25 µg/mL
Sample: Immersion fixed BG01V human embryonic stem cells differentiated to hepatocytes

Immunohistochemistry

0.1-25 µg/mL
Sample: Immersion fixed paraffin-embedded sections of human liver

Intracellular Staining by Flow Cytometry

0.25 µg/106 cells
Sample: HepG2 human hepatocellular carcinoma cell line fixed with paraformaldehyde and permeabilized with saponin

Simple Western

1-10 µg/mL
Sample: Human liver tissue and Human serum

Western Blot

0.2-1 µg/mL
Sample: Human liver tissue

Reviewed Applications

Read 5 reviews rated 4.4 using MAB1455 in the following applications:

Formulation, Preparation, and Storage

Purification

Protein A or G purified from hybridoma culture supernatant

Reconstitution

Reconstitute at 0.5 mg/mL in sterile PBS. For liquid material, refer to CoA for concentration.

Reconstitution Buffer Available:
Size / Price
Qty
Loading...

Formulation

Lyophilized from a 0.2 μm filtered solution in PBS with Trehalose. *Small pack size (SP) is supplied either lyophilized or as a 0.2 µm filtered solution in PBS.

Shipping

Lyophilized product is shipped at ambient temperature. Liquid small pack size (-SP) is shipped with polar packs. Upon receipt, store immediately at the temperature recommended below.

Stability & Storage

Use a manual defrost freezer and avoid repeated freeze-thaw cycles.
  • 12 months from date of receipt, -20 to -70 °C as supplied.
  • 1 month, 2 to 8 °C under sterile conditions after reconstitution.
  • 6 months, -20 to -70 °C under sterile conditions after reconstitution.

Background: Albumin

Albumins are a family of globular proteins, the most common of which are serum albumins. Albumins are commonly found in blood plasma, and are unique from other blood proteins in that they are not glycosylated. Albumin is a 65-70 kDa protein with serum albumin being the main protein of human blood plasma. It binds water, cations (such as Ca2+, Na+ and K+), fatty acids, hormones, bilirubin, thyroxine (T4) and pharmaceuticals (including barbiturates) - its main function is to regulate the colloidal osmotic pressure of blood. Albumin comprises three homologous domains that assemble to form a heart-shaped molecule. Each domain is a product of two subdomains that possess common structural motifs. The principal regions of ligand binding to human serum albumin are located in hydrophobic cavities in subdomains IIA and IIIA, which exhibit similar chemistry. Structurally, the serum albumins are similar, each domain containing five or six internal disulfide bonds.

Alternate Names

ALB

Entrez Gene IDs

213 (Human); 11657 (Mouse); 24186 (Rat)

Gene Symbol

ALB

Additional Albumin Products

Product Documents for Human Serum Albumin Antibody

Certificate of Analysis

To download a Certificate of Analysis, please enter a lot number in the search box below.

Note: Certificate of Analysis not available for kit components.

Product Specific Notices for Human Serum Albumin Antibody

For research use only

Loading...
Loading...
Loading...
Loading...
Loading...
Loading...