Skip to main content

Key Product Details

Species Reactivity

Validated:

Human

Cited:

Human, Rat, Xenograft

Applications

Validated:

Immunohistochemistry, Western Blot, Neutralization, Simple Western, Immunoprecipitation

Cited:

Immunohistochemistry, Immunohistochemistry-Frozen, Western Blot, Neutralization, Dot Blot

Label

Unconjugated

Antibody Source

Polyclonal Goat IgG

Product Specifications

Immunogen

S. frugiperda insect ovarian cell line Sf 21-derived recombinant human Serpin E1/PAI‑1
Gly21-Pro402
Accession # P05121

Specificity

Detects human Serpin E1/PAI‑1 in direct ELISAs and Western blots. In direct ELISAs, approximately 15% cross-reactivity with recombinant mouse Serpin E1 is observed.

Clonality

Polyclonal

Host

Goat

Isotype

IgG

Scientific Data Images for Human Serpin E1/PAI-1 Antibody

Detection of Human Serpin E1/PAI-1 antibody by Western Blot.

Detection of Human Serpin E1/PAI‑1 by Western Blot.

Western blot shows lysates of HUVEC human umbilical vein endothelial cells. PVDF membrane was probed with 1 µg/mL of Goat Anti-Human Serpin E1/PAI-1 Antigen Affinity-purified Polyclonal Antibody (Catalog # AF1786) followed by HRP-conjugated Anti-Goat IgG Secondary Antibody (Catalog # HAF017). A specific band was detected for Serpin E1/PAI-1 at approximately 45 kDa (as indicated). This experiment was conducted under reducing conditions and using Immunoblot Buffer Group 1.
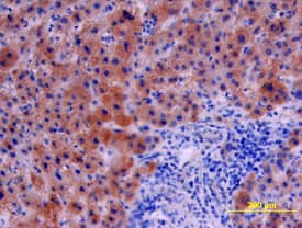
Serpin E1/PAI-1 antibody in Human Liver Cancer Tissue by Immunohistochemistry (IHC-P).

Serpin E1/PAI‑1 in Human Liver Cancer Tissue.

Serpin E1/PAI-1 was detected in immersion fixed paraffin-embedded sections of human liver cancer tissue using Goat Anti-Human Serpin E1/PAI-1 Antigen Affinity-purified Polyclonal Antibody (Catalog # AF1786) at 15 µg/mL overnight at 4 °C. Tissue was stained using the Anti-Goat HRP-DAB Cell & Tissue Staining Kit (brown; Catalog # CTS008) and counterstained with hematoxylin (blue). View our protocol for Chromogenic IHC Staining of Paraffin-embedded Tissue Sections.
Detection of Human Serpin E1/PAI-1 antibody by Simple WesternTM.

Detection of Human Serpin E1/PAI‑1 by Simple WesternTM.

Simple Western lane view shows lysates of HUVEC human umbilical vein endothelial cells, loaded at 0.2 mg/mL. A specific band was detected for Serpin E1/PAI-1 at approximately 54 kDa (as indicated) using 2.5 µg/mL of Goat Anti-Human Serpin E1/PAI-1 Antigen Affinity-purified Polyclonal Antibody (Catalog # AF1786) followed by 1:50 dilution of HRP-conjugated Anti-Goat IgG Secondary Antibody (Catalog # HAF109). This experiment was conducted under reducing conditions and using the 12-230 kDa separation system.

Applications for Human Serpin E1/PAI-1 Antibody

Application
Recommended Usage

Immunohistochemistry

5-15 µg/mL
Sample: Immersion fixed paraffin-embedded sections of human breast cancer tissue and immersion fixed paraffin-embedded sections of human liver cancer tissue

Immunoprecipitation

25 µg/mL
Sample: Conditioned cell culture medium spiked with Recombinant Human Serpin E1/PAI-1 (Catalog # 1786-PI), see our available Western blot detection antibodies

Simple Western

2.5 µg/mL
Sample: HUVEC human umbilical vein endothelial cells

Western Blot

1 µg/mL
Sample: HUVEC human umbilical vein endothelial cells

Neutralization

Measured by its ability to neutralize Recombinant Human Serpin E1 (1.35 µg/mL, Catalog # 1786-PI) inhibition of Recombinant Human u‑Plasminogen Activator (uPA)/Urokinase (0.1 µg/mL, Catalog # 1310-SE) cleavage of the fluorogenic peptide substrate Z-GGR-AMC (100 µM). The Neutralization Dose (ND50) is typically 10 µg/mL.

Reviewed Applications

Read 1 review rated 4 using AF1786 in the following applications:

Formulation, Preparation, and Storage

Purification

Antigen Affinity-purified

Reconstitution

Reconstitute at 0.2 mg/mL in sterile PBS. For liquid material, refer to CoA for concentration.

Reconstitution Buffer Available:
Size / Price
Qty
Loading...

Formulation

Lyophilized from a 0.2 μm filtered solution in PBS with Trehalose. *Small pack size (SP) is supplied either lyophilized or as a 0.2 µm filtered solution in PBS.

Shipping

Lyophilized product is shipped at ambient temperature. Liquid small pack size (-SP) is shipped with polar packs. Upon receipt, store immediately at the temperature recommended below.

Stability & Storage

Use a manual defrost freezer and avoid repeated freeze-thaw cycles.
  • 12 months from date of receipt, -20 to -70 °C as supplied.
  • 1 month, 2 to 8 °C under sterile conditions after reconstitution.
  • 6 months, -20 to -70 °C under sterile conditions after reconstitution.

Background: Serpin E1/PAI-1

As a member of the Serpin superfamily of serine protease inhibitors, Serpin E1/PAI-1 is the principal inhibitor of urokinase-type plasminogen activator (uPA) and tissue-type PA (1, 2). As important regulators of extracellular matrix remodeling, uPA and PAI-1 play a major role in many processes such as angiogenesis, tumor invasion and obesity (2-4). For example, uPA and PAI-1 are the only tumor prognostic factors validated at the highest level of evidence with regard to their clinical utility in breast cancer (5). The human PAI-1 is initially synthesized as 402 amino acid precursor with a N-terminal signal peptide (6, 7). PAI-1 may exist in one of two possible conformations, designated as active or latent (8). The purified recombinant human (rh) PAI-1 is active against rhuPA. The heterogeneity at the N-terminus of the purified rhPAI-1 has been observed before for both the recombinant and native proteins (9).

References

  1. Silverman, G.A. et al. (2001) J. Biol. Chem. 276:33293.
  2. Stefansson, S. et al. (2003) Curr. Pharm. Des. 9:1545.
  3. Duffy, M.J. (2002) Clin. Chem. 48:1194.
  4. Juhan-Vague, I. et al. (2003) J. Thromb. Haemost. 1:1575.
  5. Harbeck, N. et al. (2002) Clin. Breast Cancer 3:196.
  6. Pannekoek, H. et al. (1986) EMBO J. 5:2539.
  7. Ginsburg, D. et al. (1986) J. Clin. Invest. 78:1673.
  8. Wang, Z. et al. (1996) Biochemistry 35:16443.
  9. Stromqvist, M. et al. (1994) Protein Expr. Purif. 5:309.  

Long Name

Plasminogen Activator Inhibitor

Alternate Names

Nexin, PAI-1, PAI1, PLANH1

Entrez Gene IDs

5054 (Human); 18787 (Mouse)

Gene Symbol

SERPINE1

UniProt

Additional Serpin E1/PAI-1 Products

Product Documents for Human Serpin E1/PAI-1 Antibody

Certificate of Analysis

To download a Certificate of Analysis, please enter a lot number in the search box below.

Note: Certificate of Analysis not available for kit components.

Product Specific Notices for Human Serpin E1/PAI-1 Antibody

For research use only

Loading...
Loading...
Loading...
Loading...