Skip to main content

Key Product Details

Validated by

Biological Validation

Species Reactivity

Validated:

Human

Cited:

Human

Applications

Validated:

Immunohistochemistry, Western Blot, Immunocytochemistry

Cited:

Immunohistochemistry-Paraffin, Western Blot, Neutralization

Label

Unconjugated

Antibody Source

Monoclonal Mouse IgG2A Clone # 239029

Product Specifications

Immunogen

E. coli-derived recombinant human SCGF/CLEC11a
Gly19-Phe245
Accession # BAA21499

Specificity

Detects human SCGF/CLEC11a in direct ELISAs and Western blots. In direct ELISAs and Western blots, approximately 50% cross-reactivity with recombinant mouse SCGF-beta is observed.

Clonality

Monoclonal

Host

Mouse

Isotype

IgG2A

Scientific Data Images for Human SCGF/CLEC11a Antibody

SCGF/CLEC11a antibody in Human Spleen by Immunohistochemistry (IHC-P).

SCGF/CLEC11a in Human Spleen.

SCGF/CLEC11a was detected in immersion fixed paraffin-embedded sections of human spleen using 25 µg/mL Mouse Anti-Human SCGF/CLEC11a Monoclonal Antibody (Catalog # MAB1904) overnight at 4 °C. Tissue was stained with the Anti-Mouse HRP-DAB Cell & Tissue Staining Kit (brown; Catalog # CTS002) and counterstained with hematoxylin (blue). View our protocol for Fluorescent ICC Staining of Cells on Coverslips.
SCGF/CLEC11a antibody in THP-1 Human Cell Line by Immunocytochemistry (ICC).

SCGF/CLEC11a in THP-1 Human Cell Line.

SCGF/CLEC11a was detected in immersion fixed IFN gamma activated THP-1 human acute monocytic leukemia cell line using 10 µg/mL Mouse Anti-Human SCGF/CLEC11a Monoclonal Antibody (Catalog # MAB1904) for 3 hours at room temperature. Cells were stained with the NorthernLights™ 557-conjugated Anti-Mouse IgG Secondary Antibody (red; Catalog # NL007) and counter-stained with DAPI (blue). View our protocol for Chromogenic IHC Staining of Paraffin-embedded Tissue Sections.
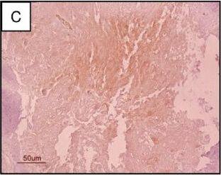
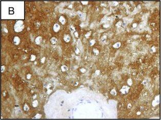
Detection of Human SCGF/CLEC11a by Immunohistochemistry

Detection of Human SCGF/CLEC11a by Immunohistochemistry

Immunohistochemistry of SCGF expression in GIST samples. A) Hematoxylin-eosin section of one representative slide from GIST 5. B) SCGF staining; strong SCGF positivity, consistent with western blotting, was restricted to the stroma compartment. C) CD117 staining; cells retained weak cytoplasmic KIT reactivity. The rare viable tumoral cells present in the responding area were SCGF-negative in the cytoplasm and the nucleus. D) Hematoxylin-eosin section of one representative slide from GIST 2. Highly cellulated areas indicating the absence of pathological response are visible. Only two areas showing rare tumoral cells are present. E) CD117 staining; all cellulated areas exhibit strong KIT expression not observed in the acellulated areas mostly composed of stroma. F) SCGF staining; strong SCGF expression is restricted to the non-cellulated areas, in contrast to CD117 staining. Image collected and cropped by CiteAb from the following publication (https://translational-medicine.biomedcentral.com/articles/10.1186/1479-5876-9-158), licensed under a CC-BY license. Not internally tested by R&D Systems.

Applications for Human SCGF/CLEC11a Antibody

Application
Recommended Usage

Immunocytochemistry

8-25 µg/mL
Sample: Immersion fixed IFN gamma activated THP-1 human acute monocytic leukemia cell line

Immunohistochemistry

8-25 µg/mL
Sample: Immersion fixed paraffin-embedded sections of human spleen

Western Blot

1 µg/mL
Sample: Recombinant Human SCGF/CLEC11a

Formulation, Preparation, and Storage

Purification

Protein A or G purified from hybridoma culture supernatant

Reconstitution

Reconstitute at 0.5 mg/mL in sterile PBS. For liquid material, refer to CoA for concentration.

Reconstitution Buffer Available:
Size / Price
Qty
Loading...

Formulation

Lyophilized from a 0.2 μm filtered solution in PBS with Trehalose. *Small pack size (SP) is supplied either lyophilized or as a 0.2 µm filtered solution in PBS.

Shipping

Lyophilized product is shipped at ambient temperature. Liquid small pack size (-SP) is shipped with polar packs. Upon receipt, store immediately at the temperature recommended below.

Stability & Storage

Use a manual defrost freezer and avoid repeated freeze-thaw cycles.
  • 12 months from date of receipt, -20 to -70 °C as supplied.
  • 1 month, 2 to 8 °C under sterile conditions after reconstitution.
  • 6 months, -20 to -70 °C under sterile conditions after reconstitution.

Background: SCGF/CLEC11a

Stem Cell Growth Factor (SCGF) is a secreted sulfated glycoprotein that belongs to the C-type lectin superfamily (CLEC11a) and is expressed primarily in hematopoietic tissues. It functions as a growth factor for primitive hematopoietic progenitor cells. SCGF-beta is a truncated variant of SCGF-alpha that has aa 78 amino acid deletion and lacks a functional calcium-dependent carbohydrate-recognition domain.

Long Name

Stem Cell Growth Factor/C-type Lectin Domain Family 11, Member A

Alternate Names

CLEC11a, CLECSF3, LSLCL

Entrez Gene IDs

6320 (Human); 20256 (Mouse); 29313 (Rat)

Gene Symbol

CLEC11A

UniProt

Additional SCGF/CLEC11a Products

Product Documents for Human SCGF/CLEC11a Antibody

Certificate of Analysis

To download a Certificate of Analysis, please enter a lot number in the search box below.

Note: Certificate of Analysis not available for kit components.

Product Specific Notices for Human SCGF/CLEC11a Antibody

For research use only

Loading...
Loading...
Loading...
Loading...