Skip to main content

Key Product Details

Species Reactivity

Validated:

Human

Cited:

Human, Porcine

Applications

Validated:

Immunohistochemistry, Western Blot

Cited:

Immunohistochemistry, Western Blot, Co-Immunoprecipitation

Label

Unconjugated

Antibody Source

Monoclonal Mouse IgG1 Clone # 780115

Product Specifications

Immunogen

E. coli-derived recombinant human RIPK3/RIP3
Met1-Arg218
Accession # Q9Y572

Specificity

Detects human RIPK3/RIP3 in direct ELISAs.

Clonality

Monoclonal

Host

Mouse

Isotype

IgG1

Scientific Data Images for Human RIPK3/RIP3 Antibody

Detection of Human RIPK3/RIP3 antibody by Western Blot.

Detection of Human RIPK3/RIP3 by Western Blot.

Western blot shows lysates of K562 human chronic myelogenous leukemia cell line and HT-29 human colon adenocarcinoma cell line. PVDF membrane was probed with 1 µg/mL of Mouse Anti-Human RIPK3/RIP3 Monoclonal Antibody (Catalog # MAB7604) followed by HRP-conjugated Anti-Mouse IgG Secondary Antibody (Catalog # HAF007). A specific band was detected for RIPK3/RIP3 at approximately 60 kDa (as indicated). This experiment was conducted under reducing conditions and using Immunoblot Buffer Group 1.
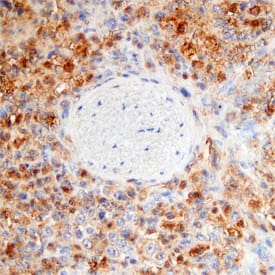
RIPK3/RIP3 antibody in Human Spleen by Immunohistochemistry (IHC-P).

RIPK3/RIP3 in Human Spleen.

RIPK3/RIP3 was detected in immersion fixed paraffin-embedded sections of human spleen using Mouse Anti-Human RIPK3/RIP3 Monoclonal Antibody (Catalog # MAB7604) at 15 µg/mL overnight at 4 °C. Tissue was stained using the Anti-Mouse HRP-DAB Cell & Tissue Staining Kit (brown; Catalog # CTS002) and counterstained with hematoxylin (blue). Specific staining was localized to the cytoplasm of splenocytes. View our protocol for Chromogenic IHC Staining of Paraffin-embedded Tissue Sections.

Applications for Human RIPK3/RIP3 Antibody

Application
Recommended Usage

Immunohistochemistry

8-25 µg/mL
Sample: Immersion fixed paraffin-embedded sections of human spleen

Western Blot

1 µg/mL
Sample: K562 human chronic myelogenous leukemia cell line and HT‑29 human colon adenocarcinoma cell line

Reviewed Applications

Read 2 reviews rated 5 using MAB7604 in the following applications:

Formulation, Preparation, and Storage

Purification

Protein A or G purified from hybridoma culture supernatant

Reconstitution

Sterile PBS to a final concentration of 0.5 mg/mL. For liquid material, refer to CoA for concentration.

Reconstitution Buffer Available:
Size / Price
Qty
Loading...

Formulation

Lyophilized from a 0.2 μm filtered solution in PBS with Trehalose. *Small pack size (SP) is supplied either lyophilized or as a 0.2 µm filtered solution in PBS.

Shipping

Lyophilized product is shipped at ambient temperature. Liquid small pack size (-SP) is shipped with polar packs. Upon receipt, store immediately at the temperature recommended below.

Stability & Storage

Use a manual defrost freezer and avoid repeated freeze-thaw cycles.
  • 12 months from date of receipt, -20 to -70 °C as supplied.
  • 1 month, 2 to 8 °C under sterile conditions after reconstitution.
  • 6 months, -20 to -70 °C under sterile conditions after reconstitution.

Background: RIPK3/RIP3

RIP3 (Receptor-Interacting Protein 3), also known as RIPK3, is a 518 amino acid (aa), 60 kDa phosphoprotein that contains an N-terminal protein kinase domain and a C-terminal interaction motif with which it binds RIP1. It converts cell response to TNF-a from apoptosis (RIP1 via Fas) to programmed necrosis (RIP1/RIP3) by inducing reactive oxygen species production. Human RIP3 (aa 1-218) shares approximately 74% aa sequence identity with mouse and rat RIP3. Alternately spliced human b (252 aa) and g (231 aa) isoforms diverge after aa 219 and 221, respectively, and are found to antagonize RIP3.

Long Name

Receptor (TNFRSF)-Interacting Serine-Threonine Kinase 3

Alternate Names

RIP3

Entrez Gene IDs

11035 (Human); 56532 (Mouse); 246240 (Rat)

Gene Symbol

RIPK3

UniProt

Additional RIPK3/RIP3 Products

Product Documents for Human RIPK3/RIP3 Antibody

Certificate of Analysis

To download a Certificate of Analysis, please enter a lot number in the search box below.

Note: Certificate of Analysis not available for kit components.

Product Specific Notices for Human RIPK3/RIP3 Antibody

For research use only

Loading...
Loading...
Loading...
Loading...