Skip to main content

Human RIPK2/RIP2 Antibody

R&D Systems, part of Bio-Techne | Catalog # MAB103871

R&D Systems, part of Bio-Techne

Key Product Details

Species Reactivity

Human

Applications

Immunohistochemistry, Western Blot, Simple Western

Label

Unconjugated

Antibody Source

Monoclonal Mouse IgG2A Clone # 1018218

Product Specifications

Immunogen

E. coli-derived human RIPK2/RIP2
Met1-Met540
Accession # O43353

Specificity

Detects human RIPK2/RIP2 in direct ELISAs.

Clonality

Monoclonal

Host

Mouse

Isotype

IgG2A

Scientific Data Images for Human RIPK2/RIP2 Antibody

Detection of Human RIPK2/RIP2 antibody by Western Blot.

Detection of Human RIPK2/RIP2 by Western Blot.

Western blot shows lysates of Daudi human Burkitt's lymphoma cell line, MCF-7 human breast cancer cell line, Ramos human Burkitt's lymphoma cell line, and PC-3 human prostate cancer cell line. PVDF membrane was probed with 2 µg/mL of Mouse Anti-Human RIPK2/RIP2 Monoclonal Antibody (Catalog # MAB103871) followed by HRP-conjugated Anti-Mouse IgG Secondary Antibody (Catalog # HAF018). A specific band was detected for RIPK2/RIP2 at approximately 62 kDa (as indicated). This experiment was conducted under reducing conditions and using Immunoblot Buffer Group 1.
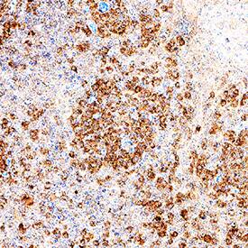
RIPK2/RIP2 antibody in Human Tonsil by Immunohistochemistry (IHC-P).

RIPK2/RIP2 in Human Tonsil.

RIPK2/RIP2 was detected in immersion fixed paraffin-embedded sections of human tonsil using Mouse Anti-Human RIPK2/RIP2 Monoclonal Antibody (Catalog # MAB103871) at 5 µg/mL for 1 hour at room temperature followed by incubation with the Anti-Mouse IgG VisUCyte™ HRP Polymer Antibody (Catalog # VC001). Before incubation with the primary antibody, tissue was subjected to heat-induced epitope retrieval using Antigen Retrieval Reagent-Basic (Catalog # CTS013). Tissue was stained using DAB (brown) and counterstained with hematoxylin (blue). Specific staining was localized to lymphocytes. View our protocol for IHC Staining with VisUCyte HRP Polymer Detection Reagents.
Detection of Human RIPK2/RIP2 antibody by Simple WesternTM.

Detection of Human RIPK2/RIP2 by Simple WesternTM.

Simple Western lane view shows lysates of MCF‑7 human breast cancer cell line, loaded at 0.2 mg/mL. A specific band was detected for RIPK2/RIP2 at approximately 62 kDa (as indicated) using 20 µg/mL of Mouse Anti-Human RIPK2/RIP2 Monoclonal Antibody (Catalog # MAB103871) . This experiment was conducted under reducing conditions and using the 12-230 kDa separation system.

Applications for Human RIPK2/RIP2 Antibody

Application
Recommended Usage

Immunohistochemistry

5-25 µg/mL
Sample: Immersion fixed paraffin-embedded sections of human tonsil

Simple Western

20 µg/mL
Sample: MCF‑7 human breast cancer cell line

Western Blot

2 µg/mL
Sample: Daudi human Burkitt's lymphoma cell line, MCF‑7 human breast cancer cell line, Ramos human Burkitt's lymphoma cell line, and PC‑3 human prostate cancer cell line

Formulation, Preparation, and Storage

Purification

Protein A or G purified from hybridoma culture supernatant

Reconstitution

Reconstitute at 0.5 mg/mL in sterile PBS. For liquid material, refer to CoA for concentration.

Reconstitution Buffer Available:
Size / Price
Qty
Loading...

Formulation

Lyophilized from a 0.2 μm filtered solution in PBS with Trehalose. *Small pack size (SP) is supplied either lyophilized or as a 0.2 µm filtered solution in PBS.

Shipping

Lyophilized product is shipped at ambient temperature. Liquid small pack size (-SP) is shipped with polar packs. Upon receipt, store immediately at the temperature recommended below.

Stability & Storage

Use a manual defrost freezer and avoid repeated freeze-thaw cycles.
  • 12 months from date of receipt, -20 to -70 °C as supplied.
  • 1 month, 2 to 8 °C under sterile conditions after reconstitution.
  • 6 months, -20 to -70 °C under sterile conditions after reconstitution.

Background: RIPK2/RIP2

Receptor-interacting serine/threonine-protein kinase 2, also known as RIPK2 or RIP-2, is a  540 amino acids (aa) Serine/threonine/tyrosine kinase encoded by the RIPK2 gene. RIP-2, a member of the receptor-interacting protein (RIP) family of serine/threonine protein kinases, plays an essential role in modulation of innate and adaptive immune responses. Human RIP2 is an adapter protein necessary for signal propagation of the Nucleotide-binding-oligomerization-domain-containing proteins 1/2 (NOD1 and NOD2). Upon stimulation by bacterial peptidoglycans, NOD1 and NOD2 are activated, oligomerize, and recruit RIPK2 through the C-terminal caspase recruitment domain (CARD). Human and mouse RIPK2 aa sequences are 84% identical .

Long Name

Receptor Interacting Serine/Threonine Kinase 2

Alternate Names

CARD3, GIG30, RICK, RIP-2, RIP2

Entrez Gene IDs

8767 (Human); 192656 (Mouse)

Gene Symbol

RIPK2

UniProt

Additional RIPK2/RIP2 Products

Product Documents for Human RIPK2/RIP2 Antibody

Certificate of Analysis

To download a Certificate of Analysis, please enter a lot number in the search box below.

Note: Certificate of Analysis not available for kit components.

Product Specific Notices for Human RIPK2/RIP2 Antibody

For research use only

Loading...
Loading...
Loading...
Loading...